Skip to main navigation menu Skip to main content Skip to site footer

Volume 147, No. 2728

Published July 3, 2017

Review article: Biomedical intelligence

Review article: Medical guidelines

Original article

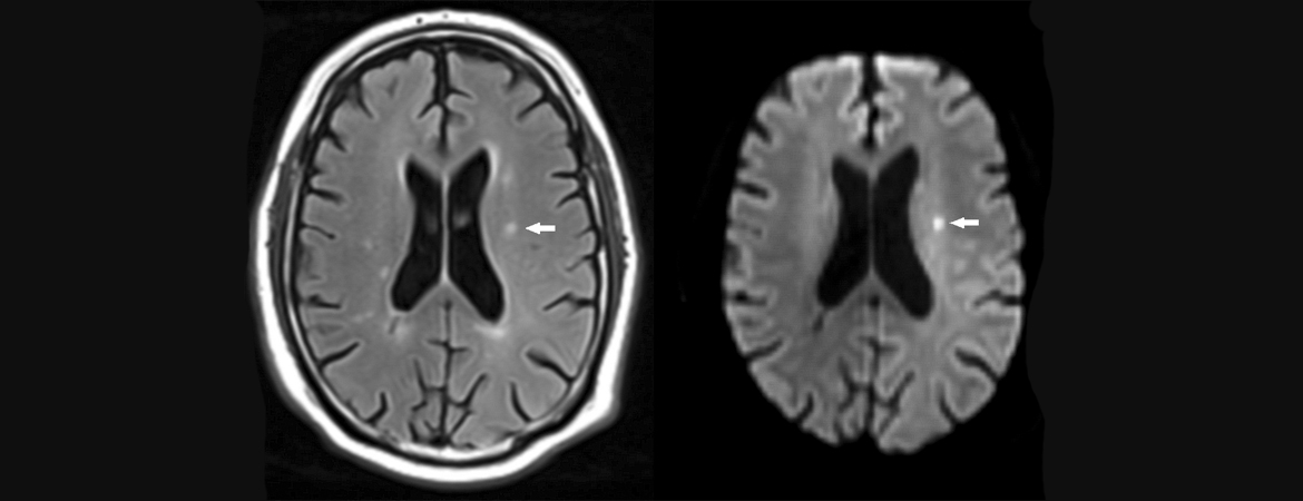
  1. Design of the Swiss Atrial Fibrillation Cohort Study (Swiss-AF): structural brain damage and cognitive decline among patients with atrial fibrillation

  2. Cohort profile: The Kilombero and Ulanga Antiretroviral Cohort (KIULARCO): A prospective HIV cohort in rural Tanzania