DOI: https://doi.org/https://doi.org/10.57187/s.4541
serum amyloid A-cardiac amyloidosis
amyloid light chain-cardiac amyloidosis
amyloid transthyretin-cardiac amyloidosis
variant form of amyloid transthyretin
wild-type amyloid transthyretin
cardiac amyloidosis
European Society of Cardiology
Cardiac amyloidosis (CA) is a storage disease characterised by extracellular deposition of insoluble misfolded amyloidogenic proteins [1, 2]. Clinically, it is frequently identified at a late stage, particularly ATTR amyloidosis. As a progressive disorder, it carries a poor outcome if left untreated [3]. Currently, more than 40 proteins are known to be capable of aggregating as amyloid in vivo, of which nine have been detected in the heart so far [4]. The most frequent forms are amyloid transthyretin-cardiac amyloidosis (ATTR-CA) and amyloid light chain-cardiac amyloidosis (AL-CA) [5–7]. The early identification of ATTR and AL amyloidoses is of paramount importance in view of the availability of disease-modifying drugs such as tafamidis for ATTR-CA and the anti-CD38 monoclonal antibody daratumumab for AL-CA [5, 8].
ATTR-CA, predominantly acquired wild-type amyloid transthyretin (ATTRwt), is closely linked to ageing, invariably affects the heart and has a median survival of 57 months from diagnosis [9]. Conversely, hereditary forms of transthyretin amyloidosis (ATTRv) represent a less common and heterogeneous group, which frequently exhibits extracardiac manifestations, and a variable penetrance and prognosis based on the specific mutation involved [10–13]. Studies indicate that ATTR amyloidosis is a frequently overlooked cause of increased left ventricular wall thickness (LVWT), particularly in individuals aged 65 or older, including those with hypertrophic cardiomyopathy (5%), heart failure with preserved ejection fraction (HFpEF) (13%) or severe aortic stenosis undergoing transcatheter aortic valve implantation (TAVR) (16%) [14–17].
AL amyloidosis is caused by a B cell clone producing an amyloidogenic light chain and can affect all organs except for the central nervous system. The heart is affected in up to 70% of AL amyloidosis cases [1, 18]. The overall median survival is 24 months from diagnosis, dropping to 6 months if untreated heart failure is present at diagnosis [19, 20]. Acquired AA amyloidosis is a less common form of amyloidosis caused by the overproduction and accumulation of the acute-phase protein serum amyloid A that can be highly expressed in patients with chronic inflammation, cancers or (auto)inflammatory diseases [21]. Cardiac involvement was found in 5% of cases diagnosed with AA amyloidosis and was associated with a median survival of 133 months [1, 21].
In a recent study, our research group looked at the frequency of undiagnosed diseases in autopsies and we found that up to 8% of all autopsies conducted at our institution had cardiac amyloidosis that was clinically undiagnosed prior to death in patients older than 18 years at death [22]. The true epidemiology of cardiac amyloidosis remains uncertain as not all deceased patients undergo postmortem examination [23, 24]. Various studies indicate that cardiac amyloidosis is more prevalent than previously assumed, particularly among elderly patients [23, 25–27]. In fact, postmortem investigations have reported cardiac amyloidosis in 22–25% of patients aged over 80 years [25] and in 14–32% of those aged over 75 years [26]. A single-centre study from Italy has recently reported a 43% incidence of cardiac amyloidosis (50% ATTR and 50% AL) in hearts from patients aged 75 years or over [27]. The presence of cardiac amyloidosis significantly correlated with age, hypertension, chronic kidney disease, coronary artery disease and hypertensive cardiomyopathy in our previous study [22].
While previous studies in Japanese and Italian populations have explored select clinicopathological correlations, none has specifically assessed the association between ante mortem clinical detection and the extent of interstitial or vascular amyloid deposition [27–29]. The aim of the present study was to characterise the frequency of amyloid subtypes in a Swiss autopsy cohort and to investigate the histological burden of cardiac amyloidosis in patients with a missed diagnosis during life, focusing on potential links with clinical recognition. To our knowledge, this is the first study to examine an autopsy-confirmed cardiac amyloidosis cohort in Switzerland, offering new insights into diagnostic gaps and their pathological correlates.
We conducted a retrospective review of 1972 reports of unselected consecutive whole-body autopsies of adults performed at the Department of Pathology and Molecular Pathology of the University Hospital of Zurich, Switzerland, between 1 January 2014 and 31 December 2023. Autopsy reports were screened to identify patients with cardiac amyloidosis. Each autopsy had been performed by a pathology resident under the supervision of a board-certified pathologist according to a standardised protocol as previously described [22, 30]. This protocol also includes the heart autopsy and the routine histological analysis of four samples of myocardial tissue from various anatomical regions (anterior and posterior cardiac wall, septum and right ventricle). Presence of amyloidosis was identified on routine Haematoxylin & Eosin and Elastin-van Gieson staining and verified by Congo Red staining. On Haematoxylin & Eosin staining, it appears as an amorphous eosinophilic substance within the interstitium and stained with Congo Red shows a yellow-green birefringence under polarised light [31]. All cases with evidence of cardiac amyloidosis underwent additional staining with a standard immunohistochemical panel (ATTR, AL and AA) to classify the type of amyloidosis, following the recommendations of Linke [32].
Consent for the autopsy (either by the relatives or in a few cases by the deceased patient’s will) was obtained for all cases. The study was conducted in compliance with Swiss federal research regulations and received approval from the institutional review board and Cantonal Ethics Committee Zurich (Identifier BASEC-Nr. 2024-01760).
Amyloid immunohistochemistry was performed using amYmed (ATTR, AL) and Dako (AA) antibodies (see appendix table S1). Signal amplification and visualisation were done with the OptiView DAB IHC Detection Kit (Ventana Medical Systems) for ATTR and AL and with the IHC Refine Kit (Biosystems) for AA, following the manufacturers’ protocol. Slides were counterstained with haematoxylin, sequentially dehydrated and coverslipped for microscopic evaluation. AL was only considered detected if both antibodies (HAR and ULI/LAT) appeared positive.
Clinical data were obtained from referral documents for autopsies and electronic medical records. Patients were classified as having been diagnosed or suspected of cardiac amyloidosis ante mortem based on the available clinical information. For patients who died at our institution, full electronic medical records – including cardiology notes and imaging reports – were reviewed. In patients for whom no electronic medical records were available (i.e. externally referred cases), classification was based solely on the referral documents submitted for autopsy. The classification terminology reflects the wording used in the original clinical documentation: patients in whom amyloidosis was discussed as a differential diagnosis or was under investigation and explicitly phrased as “suspected” were categorised as suspected, while those in whom the diagnosis was documented as established were categorised as diagnosed. This approach was chosen to reflect how patients were clinically classified ante mortem.
Patients with available cardiological documentation within one year prior to death were included in a subgroup analysis of clinical manifestations.
Descriptive statistics were used to analyse the frequency of cardiac amyloidosis. The prevalence of cardiac amyloidosis was calculated as the proportion of cases with amyloid deposits. The causes of death were determined from the autopsy reports. The categories were based on their primary affected system or pathological process in relation to the clinical context. Cases in which the amyloidosis was directly related to the cause of death were additionally noted.
We developed a semi-quantitative scoring system to assess the extent of amyloidosis in the myocardial tissue of the left and right ventricles, as well as in the myocardial vessels of the left and right ventricles. On Haematoxylin & Eosin and immunohistochemistry slides, the percentage of amyloid deposition was quantified in relation to the surface area of the tissue sample resulting in myocardial scores from 1 to 10 (table 1). The affected vessels were quantified in relation to the total number of vessels present on the sample, resulting in vessel scores from 1 to 4 (table 1).
Table 1Scoring system to evaluate the extension of amyloidosis in myocardial tissues and in myocardial vessels.
| Score | Extent of amyloidosis |
| Percentage of myocardium containing amyloid | |
| 0 | 0% |
| 1 | 1–10% |
| 2 | 11–20% |
| 3 | 21–30% |
| 4 | 31–40% |
| 5 | 41–50% |
| 6 | 51–60% |
| 7 | 61–70% |
| 8 | 71–80% |
| 9 | 81–90% |
| 10 | 91–100% |
| Percentage of myocardial vessels containing amyloid | |
| 0 | 0% |
| 1 | 1–10% |
| 2 | 10–50% |
| 3 | 50–90% |
| 4 | 90–100% |
| 5–10 | Not applicable |
Two experienced pathologists (AB and UM) independently evaluated the histology of myocardial tissue from cases with cardiac amyloidosis. The myocardial and vascular scores of the left and right ventricles were assessed for each case, both on Haematoxylin & Eosin and on immunohistochemistry. In the event of any discrepancies, a joint evaluation was conducted in order to reach a consensus on the score.
Statistical analyses were performed using SPSS version 29.0.1.1 (IBM Corp, Armonk, New York, USA). The extent of amyloidosis was correlated with demographic variables (age and sex) and with other clinicopathological variables (presence of systemic vs cardiac-only amyloidosis, amyloidosis type) using Kendall’s tau-b test. The closer the correlation coefficient (τb) is to 1 or −1, the stronger the correlation between the variables is assumed to be [33].
Binary variables were compared with each other using Fisher’s exact test. Given the exploratory nature of these analyses, no adjustment for multiple testing was performed. Assessment for statistical significance in the subgroup analysis for clinical data was evaluated using the independent T-test for normally distributed values and the Mann-Whitney U test for non-normally distributed values. Results were considered statistically significant when the p-value was less than 0.05. Figures were created using GraphPad Prism 10.3.1.
Cardiac amyloidosis was identified in 104 of 1972 autopsies (5.3%). Among these cases, the diagnosis was made at the time of autopsy in 95 of 104 patients (91.3%), while in six patients (5.8%) cardiac amyloidosis had been diagnosed prior to death. Cardiac amyloidosis was suspected prior to death but confirmed only at autopsy in 4 patients (2.9%). Females were slightly older, with a mean ± SD age of 85.8 ± 8.1 years vs 82.0 ± 9.2 years in males.
Table 2 details the types and distribution of cardiac and systemic amyloidoses among the patients. Ninety-eight patients (94.2%) were diagnosed with ATTR amyloidosis, while only 6 (5.8%) had AL amyloidosis. There was no AA amyloidosis. The majority of patients in both subgroups were male (59.2% in ATTR-CA and 66.7% in AL-CA). Among patients with AL-CA, 66.7% (4/6 patients) received an ante mortem diagnosis, with no cases classified as suspected, whereas 5.1% (5/98 patients) of ATTR-CA patients were clinically identified (2 diagnosed, 3 suspected). Relevant imaging findings, including echocardiography and, in two cases, cardiac magnetic resonance imaging (CMR), that contributed to the clinical suspicion or diagnosis are summarised in appendix table S2. One patient had cardiac amyloidosis confirmed histologically through myocardial biopsy performed during emergency surgery. None of the patients underwent 99mTc-DPD scintigraphy. In three patients, classification as diagnosed vs suspected vs undiagnosed was based solely on the referral documents provided with the autopsy request.
Table 2Types and distribution of amyloidosis in patients with cardiac amyloidosis (n = 104).
| Variable | n (%) | |
| Amyloidosis distribution | Only cardiac | 60 (57.7%) |
| Systemic | 44 (42.3%) | |
| Amyloidosis type | ATTR-CA | 98 (94.2%) |
| AL-CA | 6 (5.8%) | |
| Cardiac amyloidosis distribution | Myocardial only | 41 (39.4%) |
| Vascular only | 22 (21.1%) | |
| Combined | 41 (39.4%) | |
AL-CA: amyloid light chain-cardiac amyloidosis; ATTR-CA: amyloid transthyretin-cardiac amyloidosis.
Notably, AL-CA cases demonstrated a significantly stronger association with clinical suspicion or diagnosis compared to ATTR-CA (τb = 0.489, p <0.001, n = 104). A statistically significant correlation was observed between patient age at death and amyloidosis type: patients with AL-CA (mean ± SD age: 73.2 ± 15.3 years) were found to be significantly younger than those with ATTR-CA (84.2 ± 8.1 years), as illustrated in figure 1A.

Figure 1(A): Age distribution of cases classified according to amyloidosis type; whiskers at 2.5 and 97.5 percentiles (p-value calculated with Mann-Whitney U test). (B): Cases classified according to the type and distribution of myocardial amyloid deposits. Percentages of cases by type. AL: amyloid light chain-cardiac amyloidosis; ATTR: amyloid transthyretin-cardiac amyloidosis.
Sixty of 104 patients (57.7%) exhibited solely cardiac amyloidosis, while 44 cases (42.3%) presented with systemic amyloidosis (see table 2), which is defined as amyloidosis involving multiple organ systems [31]. Patients with AL-CA were found to have a higher prevalence of systemic amyloidosis than ATTR-CA patients: 100% in AL (n = 6) vs 38.8% in ATTR (n = 38).
The analysis of clinical information obtained prior to death revealed that the majority of patients had arterial hypertension (86.2%) and coronary heart disease (54.6%), while the “red flag” of hypotension or normotension in previously hypertensive patients was present in 23.6%. The diagnosis of heart failure with a left ventricular ejection fraction (LVEF) below 50% was made in 43.6% of patients and 21.7% of patients were diagnosed with “hypertensive cardiomyopathy” or heart failure with preserved ejection fraction. Chronic kidney disease was found in 49.1%, atrial fibrillation was present in 45.5%, AV conduction disease found in 27.3% and aortic valve stenosis in 29.1%. No statistically significant differences in cardiac manifestations could be detected between ATTR-CA and AL-CA (see table 3). Among the non-cardiac findings (see appendix table S3), macroglossia (p <0.001), monoclonal gammopathy of undetermined significance (MGUS) (p <0.001) and haemorrhagic strokes (p = 0.02) were significantly more frequent in AL-CA than in ATTR-CA. Interestingly, the red flags lumbar spinal stenosis and bilateral carpal tunnel syndrome were only rarely found (7.3% and 3.6%, respectively).
Table 3Patient characteristics and cardiological findings.
| Criteria | ATTR-CA | AL-CA | All | p-value | |
| Total number of patients, n (%) | 98 (94.2%) | 6 (5.8%) | 104 (100%) | ||
| Sex, n (%) | Male | 58 (59.2%) | 4 (66.7%) | 62 (59.6%) | |
| Female | 40 (40.8%) | 2 (33.3%) | 42 (40.4%) | ||
| Cardiovascular risk factors, n (%) | Information available | 83 (84.7%) | 4 (66.7%) | 87 (83.7%) | |
| Arterial hypertension | 73 (88.0%) | 2 (50%) | 75 (86.2%) | 0.06 | |
| Tobacco | 23 (27.7%) | 1 (25%) | 24 (27.6%) | 0.90 | |
| Adiposity | 21 (25.3%) | 2 (50%) | 23 (26.4%) | 0.30 | |
| Dyslipidaemia | 22 (26.5%) | 0 (0%) | 22 (25.3%) | 0.95 | |
| Type 2 diabetes mellitus | 15 (18.1%) | 1 (25%) | 16 (18.4%) | 0.73 | |
| Family history for cardiovascular disease | 6 (7.2%) | 0 (0%) | 6 (6.9%) | 0.06 | |
| Cardiological findings/diagnosis prior to death as stated in the reports, n (%) | Information available | 51 (52.0%) | 4 (66.7%) | 55 (52.9%) | |
| Hypotensive or normotensive (previously hypertensive) | 11 (21.6%) | 2 (50%) | 13 (23.6%) | 0.20 | |
| Hypertrophic cardiomyopathy | 4 (7.8%) | 0 (0%) | 4 (7.3%) | 0.56 | |
| Hypertensive cardiomyopathy / heart failure with preserved ejection fraction | 20 (39.2%) | 2 (50%) | 22 (40.0%) | 0.67 | |
| Heart failure with mildly reduced ejection fraction | 10 (23.3%) | 0 (0%) | 10 (21.7%) | 0.33 | |
| Heart failure with reduced ejection fraction | 12 (27.9%) | 2 (50%) | 14 (30.4%) | 0.25 | |
| Coronary artery disease | 28 (54.9%) | 2 (50%) | 30 (54.6%) | 0.85 | |
| Aortic valve stenosis | 16 (31.4%) | 0 (0%) | 16 (29.1%) | 0.19 | |
| Aortic valve prosthesis (transcatheter aortic valve replacement or surgical replacement) | 11 (21.6%) | 0 (0%) | 11 (20%) | 0.30 | |
| Atrial fibrillation | 23 (45.1%) | 2 (50%) | 25 (45.5%) | 0.85 | |
| Atrioventricular conduction disease | 14 (27.5%) | 1 (25%) | 15 (27.3%) | 0.92 | |
| Pacemaker placement | 11 (21.6%) | 2 (50%) | 13 (23.6%) | 0.20 | |
| Implantable cardioverter-defibrillator or cardiac resynchronisation therapy | 2 (3.9%) | 0 (0%) | 2 (3.6%) | 0.69 | |
AL-CA: amyloid light chain-cardiac amyloidosis; ATTR-CA: amyloid transthyretin-cardiac amyloidosis.
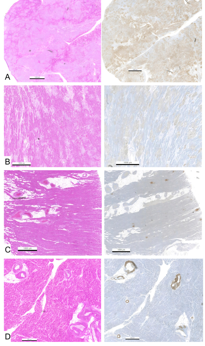
Myocardial samples of the left ventricle were available in all 104 patients and of the right ventricle in 99 patients.At autopsy, 41 patients exhibited interstitial myocardial-only amyloidosis (39.4%), whereas 22 patients had vascular-only amyloidosis (21.2%) and the remaining 41 patients had combined vascular and interstitial myocardial amyloidosis (39.4%) (see table 2 and figure 1B). Figure 2 depicts the distribution of cases based on the extent of interstitial amyloid deposition in the myocardial tissue and the extent of the vascular amyloid deposition. Figure 3 presents examples of varying degrees of interstitial and vascular amyloid deposition.

Figure 2Distribution of cases depending on the location and extent of amyloid depositions. (A and C): Percentage of myocardial vessels with amyloid deposition categorised by vascular score in the left (A) and right (C) ventricle. (B and D): Percentage of interstitial amyloid deposition in relation to the myocardial tissue surface categorised by myocardial interstitial score in the left (B) and right (D) ventricle.

Figure 3Haematoxylin & Eosin slides showing different percentages of interstitial (A–C) and vascular (D) amyloid deposits with respective score and corresponding ATTR immunohistochemistry. (A): Extensive interstitial amyloid deposits in >90% of the myocardial surface, resulting in a myocardial score of 9. (B): Interstitial amyloid deposits in 50–60% of the myocardial surface, resulting in a myocardial score of 5. (C): Interstitial amyloid deposits in under 10% of the myocardial surface, resulting in a myocardial score of 1. (D): Amyloid deposits shown in >90% of myocardial vessels, resulting in a vessel score of 4.
A significant correlation was identified between the vascular score and the presence of systemic amyloidosis in both the left and right ventricles (left: τb = 0.261, p = 0.003, n = 104; right: τb = 0.229, p = 0.013, n = 99). However, when focusing specifically on ATTR-CA, this relationship was evident only in the left ventricle (τb = 0.248, p = 0.007, n = 94), whereas no significant association was observed in the right ventricle (τb = 0.177, p = 0.06, n = 94).
Additionally, clinically confirmed or suspected cardiac amyloidosis was significantly associated with an increased interstitial myocardial score in both the left (τb = 0.239, p = 0.005, n = 104) and right (τb = 0.28, p = 0.001, n = 99) ventricles. Furthermore, a significant association was found between clinically known or suspected cardiac amyloidosis and the vascular score of the right ventricle (τb = 0.181, p = 0.048, n = 99), though no such relationship was detected in the left ventricle (τb = 0.149, p = 0.09, n = 104).
We did not find any direct correlation between myocardial fibrosis (either patchy fibrosis or isolated scars) and the vessel scores of the left (τb = 0.061, p = 0.5, n = 104) or right (τb = −0.038, p = 0.66, n = 104) ventricle. However, in the subgroup analysis, considering only patients without stenotic coronary sclerosis (defined here as no coronary artery showing >50% lumen constriction, as defined in a previous study from our group [34]), we observed a significant correlation between myocardial fibrosis and vessel scores in the right ventricle (τb = 0.333, p = 0.04, n = 34; left ventricle: τb = 0.295, p = 0.06, n = 35).
The main cause of death was cardiovascular (50%, n = 52) followed by infectious and inflammatory causes (25%, see appendix table S4). Cardiac amyloidosis was directly involved in the cause of death in 29 patients (27.9%). Direct cardiac amyloidosis involvement in cause of death correlated with the interstitial myocardial scores of both ventricles (left: τb = 0.392, p <0.001, n = 104; right: τb = 0.334, p <0.001, n = 99) but not the vascular scores.
No correlation was found between the sex of the patient (all n = 104) and amyloidosis type (τb = 0.036, p = 0.72), amyloid distribution (τb = −0.088, p = 0.37), affected compartment (τb = 0.108, p = 0.25), clinical diagnosis (τb = 0.184, p = 0.06) or cause of death (τb = 0.014, p = 0.88).
This autopsy study was designed to determine the prevalence and morphological characteristics of cardiac amyloidosis. Our findings revealed a prevalence of 5.3% for cardiac amyloidosis in a cohort of 1992 autopsies, with 94.2% of cases classified as amyloid transthyretin-cardiac amyloidosis (ATTR-CA) and the remaining 5.8% as amyloid light chain-cardiac amyloidosis (AL-CA). Patients diagnosed with AL-CA were significantly younger and more frequently exhibited systemic amyloidosis compared to those with ATTR-CA. Notably, we did not identify any cases of serum amyloid A-cardiac amyloidosis (AA-CA) in our cohort. This contrasts with a recent study from Japan, which reported a high prevalence of ATTR-CA (54.2%) alongside a substantial prevalence of AA-CA (24.4%), while AL-CA accounted for 6.1% of cases, with the remaining cases being classified as equivocal [28]. These variations may suggest geographical differences in the prevalence of cardiac amyloidosis subtypes. In fact, extensive research from Europe and the USA indicates that ATTR and AL are the predominant forms of cardiac amyloidosis, whereas cardiac involvement in AA amyloidosis is exceedingly rare [1, 2, 24, 35, 36]. Conversely, in AA amyloidosis, the kidneys are the most frequently and severely affected organ [37].
Our data highlight that 94% of cardiac amyloidosis cases were diagnosed only at autopsy, reinforcing the notion that cardiac amyloidosis remains a clinically underdiagnosed condition in clinical practice [38, 39]. ATTR-CA, in particular, is more prone to clinical underdiagnosis, likely due to its higher prevalence in elderly patients [1, 38]. Clinicians may have greater awareness of AL-CA, given its recognised association with multiple myeloma and monoclonal gammopathy of undetermined significance [1]. Notably, even though there was no significant correlation between sex and diagnosis status, in our cohort most patients with ante mortem diagnosis or clinical suspicion of cardiac amyloidosis were male (8 male, i.e. 12.9% of all males vs 1 female, i.e. 2.4% of all females). This sex disparity may further highlight the diagnostic gap and the necessity for increased clinical vigilance, especially in female patients.
The routine sampling of heart tissue of the left and right ventricle at autopsy enabled us to perform a detailed analysis of the cardiac amyloid distribution. We developed a semi-quantitative scoring system to correlate amyloid deposits with clinical findings, revealing that the clinical likelihood of amyloid detection prior to death was significantly associated with interstitial and vascular amyloid burden in the right ventricle. In contrast, there was only a weak correlation with left ventricular interstitial amyloid and no correlation with left ventricular vascular amyloid. Our findings are in line with current research in the field of multimodality cardiac imaging that underscores the diagnostic and prognostic significance of right ventricular involvement in cardiac amyloidosis. Most recently, Datar et al. demonstrated that 18F-florbetapir PET/CT can detect early right ventricular amyloid deposition, correlating with dysfunction and major adverse cardiac events [40]. Similarly, echocardiographic right ventricular strain [41, 42] and CMR-derived right ventricular strain [43] provides a valuable diagnostic marker for cardiac amyloidosis.
While the European Society of Cardiology (ESC) guidelines on cardiomyopathies recommend screening for cardiac amyloidosis in patients with a left ventricular wall thickness of ≥12 mm [3] and at least one additional red flag, our results suggest a higher sensitivity of right ventricular alterations in predicting cardiac amyloidosis. However, it should be acknowledged that right ventricular assessment is inherently more challenging in echocardiography compared to left ventricular assessment and that the left ventricular wall thickness threshold of ≥12mm was chosen to increase the sensitivity for detecting cardiac amyloidosis, compared to the higher threshold of ≥14 mm used in other guidelines such as those from the AHA [44]. Nevertheless, it does not imply that the right ventricle is less affected or that there are no cases of cardiac amyloidosis with a left ventricular wall thickness of <12mm [45]. Given the growing recognition of right ventricular amyloid burden in cardiac amyloidosis, our study adds to the expanding body of evidence highlighting its diagnostic and prognostic value.
Notably, a high vascular amyloid score in both the left and right ventricles was significantly associated with systemic amyloidosis. This finding may suggest that detecting vascular amyloid in a heart biopsy could warrant further screening for systemic amyloidosis. However, in the clinical setting, the distinction between vascular and interstitial amyloid deposition is not emphasised at the moment, which represents an important novel aspect of our study. Given that vascular amyloid deposition may contribute to systemic dysfunction, it is notable that profound vascular dysfunction was recently demonstrated in patients with amyloidosis, including at the retinal level, which could be a consequence of vascular amyloid accumulation [46]. Moreover, since systemic amyloidosis is generally presumed and actively investigated – with approximately 95% of ATTR-CA cases diagnosed via non-biopsy methods such as technetium scintigraphy – and endomyocardial biopsy is now rarely performed, these results should be interpreted with caution, particularly given the limited number of cases with systemic amyloidosis (n = 6). Larger studies are necessary to determine whether vascular amyloid detection in biopsy specimens holds additional diagnostic value for systemic amyloidosis. Interestingly, another finding was the significant association between myocardial fibrosis and vascular amyloidosis in the right ventricle, which, to the best of our knowledge, has not been previously reported in the literature. However, this result is based on a small subgroup analysis that included only patients without significant coronary stenosis. The size of this group is too limited to allow for definitive interpretations or further statistical analyses, and the observed association may be incidental or influenced by biases inherent to an autopsy-based cohort. In this context, larger studies are needed to further investigate and clarify this phenomenon.
The current ESC Guidelines for the management of cardiomyopathies recommend red flags to prompt amyloidosis screening [3]. This includes clinical, echocardiography, ECG, CMR and other categories for initiating early amyloidosis screening. In our study, most patients were diagnosed ante mortem with hypertensive heart disease (40%), heart failure with a left ventricular ejection fraction (LVEF) below 50%, and atrial fibrillation (45.5%). Additionally, common findings in our patient cohort included aortic valve stenosis (29.1%) and AV conduction disease (27.3%). However, no statistically significant differences were observed between ATTR-CA and AL-CA in ante mortem cardiological findings. It is important to note that the number of AL-CA patients in our study was limited (n=6), which may restrict the ability to detect significant differences in ante mortem findings. In contrast, extracardiac findings demonstrated clearer distinctions between the two subtypes. Macroglossia (p = 0.0004), monoclonal gammopathy of undetermined significance (p = 0.0004) and haemorrhagic strokes (p = 0.02) were significantly more frequent in AL-CA than in ATTR-CA, aligning with findings from multiple studies in the literature [1–4, 47]. Notably, macroglossia is a well-recognised feature exclusive to AL-CA and is not observed in ATTR-CA, further reinforcing its diagnostic significance in distinguishing between the two subtypes.
Furthermore, consistent with prior research [48], patients with AL-CA in our cohort were significantly younger and more frequently exhibited systemic amyloidosis than those with ATTR-CA did. These findings highlight key clinical distinctions between the two subtypes, emphasising the importance of extracardiac manifestations in differentiating AL-CA from ATTR-CA and underscoring the need for comprehensive diagnostic evaluation.
Further studies are necessary to assess the clinical relevance of our findings, particularly for cardiac imaging. It remains unclear how many cases of undiagnosed cardiac amyloidosis could have been detected prior to death in a clinical setting using current European guideline-based screening criteria [3]. Additionally, the significance of small amyloid deposits on symptomatology and life expectancy is uncertain. The process of ageing is associated with alterations in protein homeostasis, which in turn leads to an increased prevalence of protein misfolding [49–51]. This complicates determining whether the mere presence of amyloid deposits, particularly in instances with a low amyloid burden, has the potential to significantly affect cardiac health. However, sporadic ATTR-CA has been previously linked to an increased risk of sudden cardiac death even in the early disease stages [52]. Similarly, a recent study on forensic autopsies from Australia over a 20-year period (2003–2022) revealed that cardiac amyloidosis was a contributing factor in 11 deaths, with three being the primary cause of death [53]. Likewise, AL-CA has been implicated in sudden cardiac death [54].
Our study has limitations inherent to retrospective, single-centre autopsy research, including selection bias and a declining autopsy rate [55]. Despite routine sampling of three left myocardial regions (anterior wall, posterior wall and septum) and one right myocardial region in each patient, this approach may not fully represent cardiac amyloidosis distribution of the entire heart. The absence of sinoatrial node and conduction tissue sampling prevents conclusions regarding conduction system involvement. Limited clinical data for some patients also constrained the analysis. Additionally, most cases were diagnosed postmortem, precluding genetic testing for hereditary ATTR amyloidosis.
Finally, it is important to consider the autopsy rate of our institution, which can be calculated as the ratio of adult autopsies to total adult deaths during the study period, yielding a value of 12.6%. This relatively low rate indicates that the cases included in the study represent only a small and specific subset of the overall population – primarily hospitalised patients, often with multiple comorbidities. It is also worth noting that the selection criteria for determining which deceased patients undergo autopsy are not clearly defined. Decisions are made on a case-by-case basis, primarily relying on individual clinical judgement and the request of the attending physician. Typically, autopsies are performed in cases of unexplained or unexpected death, complex clinical scenarios or uncertain diagnoses requiring postmortem confirmation. Consequently, these factors introduce a potential selection bias, limiting the generalisability of the findings to the broader population. In this regard, another potential source of bias is the absence of a control or survivor group, which limits the ability to draw definitive conclusions about risk factors for cardiac amyloidosis and may render such discussions largely speculative.
An additional point to consider is that our study spans a 10-year period (2014–2023) during which clinical awareness and the incentive to diagnose cardiac amyloidosis have substantially increased due to the recent availability and reimbursement of disease-modifying therapies. Therefore, our findings may underestimate current diagnostic rates and reflect clinical practices that have evolved over the course of the study period.
In conclusion, our study provides valuable epidemiological insights into cardiac amyloidosis, highlighting its underdiagnosis. Further investigation is necessary to determine the clinical implications of our findings and their impact on patient management.
The data underlying this study are of a sensitive nature and therefore will not be made publicly available on open data repositories. However, deidentified data may be made available upon reasonable request, subject to approval by the corresponding author and the Director of the Department of Autopsy of our institution.
This study received no funding.
All authors have completed and submitted the International Committee of Medical Journal Editors form for disclosure of potential conflicts of interest. – SE received speaking and consultancy honoraria as well as research funding from Amicus Therapeutics and travel cost support from Alnylam Pharmaceuticals. – FR has not received personal payments by pharmaceutical companies or device manufacturers in the last 3 years (remuneration for the time spent in activities, such as participation as steering committee member of clinical trials and member of the Pfizer Research Award selection committee in Switzerland, were made directly to the University of Zurich). The Department of Cardiology (University Hospital of Zurich/University of Zurich) reports research, educational and/or travel grants from Abbott, Abiomed, Alnylam, Amarin, Amgen, Astra Zeneca, At the Limits Ltd., Bayer, Biotronik, BMS, Boehringer Ingelheim, Boston Scientific, Bracco, CM Microport, Concept Medical, CTI, Daiichi Sankyo, Edwards Lifesciences, FomF GmbH, Hamilton Health Sciences, IHF, Innosuisse, IumiraDX, Kantar, LabPoint, MedAlliance, Medcon International, Medical Education Global Solutions, Medtronic, MicroPort, Monocle, Novartis, Novo Nordisk, OM Pharma, Pfizer, Quintiles Switzerland Sarl, RecorMedical, Roche Diagnostics, Roche Pharma, Sahajanand IN, Sanofi, Sarstedt AG, Servier, Terumo Deutschland, Trama Solutions, V- Wave, Vifor, ZOLL. These grants do not impact on FR’s personal remuneration. – AJF declares fees from Alnylam, Amgen, AstraZeneca, Bayer, Boehringer Ingelheim, Bristol Myers Squibb, Fresenius, Imedos Systems, Medtronic, MSD, Mundipharma, Novartis, Pierre Fabre, Pfizer, Roche, Schwabe Pharma, Vifor, and Zoll, as well as grant support by Novartis, AstraZeneca and Berlin Heart unrelated to this article.
1. Garcia-Pavia P, Rapezzi C, Adler Y, Arad M, Basso C, Brucato A, et al. Diagnosis and treatment of cardiac amyloidosis: a position statement of the ESC Working Group on Myocardial and Pericardial Diseases. Eur Heart J. 2021 Apr;42(16):1554–68. doi: https://doi.org/10.1093/eurheartj/ehab072
2. Bloom MW, Gorevic PD. Cardiac Amyloidosis. Ann Intern Med. 2023 Mar;176(3):ITC33–48. doi: https://doi.org/10.7326/AITC202303210
3. Arbelo E, Protonotarios A, Gimeno JR, Arbustini E, Barriales-Villa R, Basso C, et al.; ESC Scientific Document Group. 2023 ESC Guidelines for the management of cardiomyopathies. Eur Heart J. 2023 Oct;44(37):3503–626. doi: https://doi.org/10.1093/eurheartj/ehad194
4. Buxbaum JN, Eisenberg DS, Fändrich M, McPhail ED, Merlini G, Saraiva MJ, et al. Amyloid nomenclature 2024: update, novel proteins, and recommendations by the International Society of Amyloidosis (ISA) Nomenclature Committee. Amyloid. 2024 Dec;31(4):249–56. doi: https://doi.org/10.1080/13506129.2024.2405948
5. Ruberg FL, Maurer MS. Cardiac Amyloidosis Due to Transthyretin Protein: A Review. JAMA. 2024 Mar;331(9):778–91. doi: https://doi.org/10.1001/jama.2024.0442
6. Martinez-Naharro A, Hawkins PN, Fontana M. Cardiac amyloidosis. Clin Med (Lond). 2018 Apr;18 Suppl 2:s30–5. doi: https://doi.org/10.7861/clinmedicine.18-2-s30
7. Brouwers S, Heimgartner R, Laptseva N, Aguzzi A, Ehl NF, Fehr T, et al. Historic characteristics and mortality of patients in the Swiss Amyloidosis Registry. Swiss Med Wkly. 2024 Feb;154(2):3485. doi: https://doi.org/10.57187/s.3485
8. Palladini G, Kastritis E, Maurer MS, Zonder J, Minnema MC, Wechalekar AD, et al. Daratumumab plus CyBorD for patients with newly diagnosed AL amyloidosis: safety run-in results of ANDROMEDA. Blood. 2020 Jul;136(1):71–80. doi: https://doi.org/10.1182/blood.2019004460
9. Grogan M, Scott CG, Kyle RA, Zeldenrust SR, Gertz MA, Lin G, et al. Natural History of Wild-Type Transthyretin Cardiac Amyloidosis and Risk Stratification Using a Novel Staging System. J Am Coll Cardiol. 2016 Sep;68(10):1014–20. doi: https://doi.org/10.1016/j.jacc.2016.06.033
10. Wechalekar AD, Gillmore JD, Hawkins PN. Systemic amyloidosis. Lancet. 2016 Jun;387(10038):2641–54. doi: https://doi.org/10.1016/S0140-6736(15)01274-X
11. Wang S, Peng W, Pang M, Mao L, Peng D, Yu B, et al. Clinical Profile and Prognosis of Hereditary Transthyretin Amyloid Cardiomyopathy: A Single-Center Study in South China. Front Cardiovasc Med. 2022 Jun;9:900313. doi: https://doi.org/10.3389/fcvm.2022.900313
12. Conceição I, Damy T, Romero M, Galán L, Attarian S, Luigetti M, et al. Early diagnosis of ATTR amyloidosis through targeted follow-up of identified carriers of TTR gene mutations. Amyloid. 2019 Mar;26(1):3–9. doi: https://doi.org/10.1080/13506129.2018.1556156
13. Schwotzer R, Flammer AJ, Gerull S, Pabst T, Arosio P, Averaimo M, et al. Expert recommendation from the Swiss Amyloidosis Network (SAN) for systemic AL-amyloidosis. Swiss Med Wkly. 2020 Dec;150(4950):w20364. doi: https://doi.org/10.4414/smw.2020.20364
14. Castaño A, Narotsky DL, Hamid N, Khalique OK, Morgenstern R, DeLuca A, et al. Unveiling transthyretin cardiac amyloidosis and its predictors among elderly patients with severe aortic stenosis undergoing transcatheter aortic valve replacement. Eur Heart J. 2017 Oct;38(38):2879–87. doi: https://doi.org/10.1093/eurheartj/ehx350
15. Ruberg FL, Grogan M, Hanna M, Kelly JW, Maurer MS. Transthyretin Amyloid Cardiomyopathy: JACC State-of-the-Art Review. J Am Coll Cardiol. 2019 Jun;73(22):2872–91. doi: https://doi.org/10.1016/j.jacc.2019.04.003
16. Dunlay SM, Roger VL, Redfield MM. Epidemiology of heart failure with preserved ejection fraction. Nat Rev Cardiol. 2017 Oct;14(10):591–602. doi: https://doi.org/10.1038/nrcardio.2017.65
17. AbouEzzeddine OF, Davies DR, Scott CG, Fayyaz AU, Askew JW, McKie PM, et al. Prevalence of Transthyretin Amyloid Cardiomyopathy in Heart Failure With Preserved Ejection Fraction. JAMA Cardiol. 2021 Nov;6(11):1267–74. doi: https://doi.org/10.1001/jamacardio.2021.3070
18. Clerc OF, Datar Y, Cuddy SA, Bianchi G, Taylor A, Benz DC, et al. Prognostic Value of Left Ventricular 18F-Florbetapir Uptake in Systemic Light-Chain Amyloidosis. JACC Cardiovasc Imaging. 2024 Aug;17(8):911–22. doi: https://doi.org/10.1016/j.jcmg.2024.05.002
19. Kumar S, Dispenzieri A, Lacy MQ, Hayman SR, Buadi FK, Colby C, et al. Revised prognostic staging system for light chain amyloidosis incorporating cardiac biomarkers and serum free light chain measurements. J Clin Oncol. 2012 Mar;30(9):989–95. doi: https://doi.org/10.1200/JCO.2011.38.5724
20. Palladini G, Milani P. Diagnosis and Treatment of AL Amyloidosis. Drugs. 2023 Feb;83(3):203–16. doi: https://doi.org/10.1007/s40265-022-01830-z
21. Lachmann HJ, Goodman HJ, Gilbertson JA, Gallimore JR, Sabin CA, Gillmore JD, et al. Natural history and outcome in systemic AA amyloidosis. N Engl J Med. 2007 Jun;356(23):2361–71. doi: https://doi.org/10.1056/NEJMoa070265
22. Maccio U, Meier CA, Reinehr M, Ruschitzka F, Schüpbach R, Moch H, et al. Clinically Undiagnosed Diseases in Autopsies: Frequency and Risk Factors. Arch Pathol Lab Med. 2025 Jan;149(1):60–6. doi: https://doi.org/10.5858/arpa.2023-0429-OA
23. Bajwa F, O’Connor R, Ananthasubramaniam K. Epidemiology and clinical manifestations of cardiac amyloidosis. Heart Fail Rev. 2022 Sep;27(5):1471–84. doi: https://doi.org/10.1007/s10741-021-10162-1
24. Aimo A, Merlo M, Porcari A, Georgiopoulos G, Pagura L, Vergaro G, et al. Redefining the epidemiology of cardiac amyloidosis. A systematic review and meta-analysis of screening studies. Eur J Heart Fail. 2022 Dec;24(12):2342–51. doi: https://doi.org/10.1002/ejhf.2532
25. Tanskanen M, Peuralinna T, Polvikoski T, Notkola IL, Sulkava R, Hardy J, et al. Senile systemic amyloidosis affects 25% of the very aged and associates with genetic variation in alpha2-macroglobulin and tau: a population-based autopsy study. Ann Med. 2008;40(3):232–9. doi: https://doi.org/10.1080/07853890701842988
26. Mohammed SF, Mirzoyev SA, Edwards WD, Dogan A, Grogan DR, Dunlay SM, et al. Left ventricular amyloid deposition in patients with heart failure and preserved ejection fraction. JACC Heart Fail. 2014 Apr;2(2):113–22. doi: https://doi.org/10.1016/j.jchf.2013.11.004
27. Porcari A, Bussani R, Merlo M, Varrà GG, Pagura L, Rozze D, et al. Incidence and Characterization of Concealed Cardiac Amyloidosis Among Unselected Elderly Patients Undergoing Post-mortem Examination. Front Cardiovasc Med. 2021 Nov;8:749523. doi: https://doi.org/10.3389/fcvm.2021.749523
28. Tateishi Y, Yamada Y, Katsuki M, Nagata T, Yamamoto H, Kohashi K, et al. Pathological review of cardiac amyloidosis using autopsy cases in a single Japanese institution. Pathol Res Pract. 2021 Nov;227:153635. doi: https://doi.org/10.1016/j.prp.2021.153635
29. Ueda M, Sekijima Y, Koike H, Yamashita T, Yoshinaga T, Ishii T, et al. Monitoring of asymptomatic family members at risk of hereditary transthyretin amyloidosis for early intervention with disease-modifying therapies. J Neurol Sci. 2020 Jul;414:116813. doi: https://doi.org/10.1016/j.jns.2020.116813
30. Maccio U, Wicki A, Ruschitzka F, Beuschlein F, Wolleb S, Varga Z, et al. Frequency and Consequences of Immune Checkpoint Inhibitor-Associated Inflammatory Changes in Different Organs: An Autopsy Study Over 13 -Years. Mod Pathol. 2025 Apr;38(4):100683. doi: https://doi.org/10.1016/j.modpat.2024.100683
31. Maleszewski JJ. Cardiac amyloidosis: pathology, nomenclature, and typing. Cardiovasc Pathol. 2015;24(6):343–50. doi: https://doi.org/10.1016/j.carpath.2015.07.008
32. Linke RP. On typing amyloidosis using immunohistochemistry. Detailled illustrations, review and a note on mass spectrometry. Prog Histochem Cytochem. 2012 Aug;47(2):61–132. doi: https://doi.org/10.1016/j.proghi.2012.03.001
33. Puth MT, Neuhäuser M, Ruxton GD. Effective use of Spearman’s and Kendall’s correlation coefficients for association between two measured traits. Anim Behav. 2015;102:77–84. doi: https://doi.org/10.1016/j.anbehav.2015.01.010
34. Maccio U, Meier CA, Reinehr M, Ruschitzka F, Schupbach R, Moch H, et al. Clinically Undiagnosed Diseases in Autopsies: Frequency and Risk Factors. Arch Pathol Lab Med. 2024.
35. Fontana M, Ćorović A, Scully P, Moon JC. Myocardial Amyloidosis: The Exemplar Interstitial Disease. JACC Cardiovasc Imaging. 2019 Nov;12(11 Pt 2):2345–56. doi: https://doi.org/10.1016/j.jcmg.2019.06.023
36. de Marneffe N, Dulgheru R, Ancion A, Moonen M, Lancellotti P. Cardiac amyloidosis: a review of the literature. Acta Cardiol. 2022 Oct;77(8):683–92. doi: https://doi.org/10.1080/00015385.2021.1992990
37. Mirioglu S, Uludag O, Hurdogan O, Kumru G, Berke I, Doumas SA, et al. AA Amyloidosis: A Contemporary View. Curr Rheumatol Rep. 2024 Jul;26(7):248–59. doi: https://doi.org/10.1007/s11926-024-01147-8
38. Yun S, Palladini G, Anderson LJ, Cariou E, Wang R, Angeli FS, et al. International prevalence of transthyretin amyloid cardiomyopathy in high-risk patients with heart failure and preserved or mildly reduced ejection fraction. Amyloid. 2024 Dec;31(4):291–301. doi: https://doi.org/10.1080/13506129.2024.2398446
39. Rubin J, Maurer MS. Cardiac Amyloidosis: Overlooked, Underappreciated, and Treatable. Annu Rev Med. 2020 Jan;71(1):203–19. doi: https://doi.org/10.1146/annurev-med-052918-020140
40. Datar Y, Clerc OF, Cuddy SA, Kim S, Taylor A, Neri JC, et al. Quantification of right ventricular amyloid burden with 18F-florbetapir positron emission tomography/computed tomography and its association with right ventricular dysfunction and outcomes in light-chain amyloidosis. Eur Heart J Cardiovasc Imaging. 2024 Apr;25(5):687–97. doi: https://doi.org/10.1093/ehjci/jead350
41. Ozbay B, Satyavolu BS, Rearick C, Soman P, Katz WE, Sezer A, et al. Right Ventricular Strain Improves the Echocardiographic Diagnosis and Risk Stratification of Transthyretin Cardiac Amyloidosis Among Other Phenotypes of Left Ventricular Hypertrophy. J Am Soc Echocardiogr. 2024 Oct;37(10):947–59. doi: https://doi.org/10.1016/j.echo.2024.06.006
42. Istratoaie S, Bourg C, Lee KC, Marut B, Antonelli J, L’official G, et al. Right ventricular free wall strain predicts transthyretin amyloidosis prognosis as well as biomarker-based staging systems. Eur Heart J Cardiovasc Imaging. 2025 Jan;26(2):239–48. doi: https://doi.org/10.1093/ehjci/jeae242
43. Eckstein J, Körperich H, Weise Valdés E, Sciacca V, Paluszkiewicz L, Burchert W, et al. CMR-based right ventricular strain analysis in cardiac amyloidosis and its potential as a supportive diagnostic feature. Int J Cardiol Heart Vasc. 2022 Dec;44:101167. doi: https://doi.org/10.1016/j.ijcha.2022.101167
44. Heidenreich PA, Bozkurt B, Aguilar D, Allen LA, Byun JJ, Colvin MM, et al.; ACC/AHA Joint Committee Members. 2022 AHA/ACC/HFSA Guideline for the Management of Heart Failure: A Report of the American College of Cardiology/American Heart Association Joint Committee on Clinical Practice Guidelines. Circulation. 2022 May;145(18):e895–1032. doi: https://doi.org/10.1161/CIR.0000000000001063
45. Nagy D, Révész K, Peskó G, Varga G, Horváth L, Farkas P, et al. Cardiac Amyloidosis with Normal Wall Thickness: Prevalence, Clinical Characteristics and Outcome in a Retrospective Analysis. Biomedicines. 2022 Jul;10(7):1765. doi: https://doi.org/10.3390/biomedicines10071765
46. Zampiccoli E, Barthelmes J, Kreysing L, Nägele MP, Nebunu D, Haider T, et al. Eyes on amyloidosis: microvascular retinal dysfunction in cardiac amyloidosis. ESC Heart Fail. 2022 Apr;9(2):1186–94. doi: https://doi.org/10.1002/ehf2.13792
47. Chen D, Zhang C, Parikh N, Merkler AE, Navi BB, Fink ME, et al. Association Between Systemic Amyloidosis and Intracranial Hemorrhage. Stroke. 2022 Mar;53(3):e92–3. doi: https://doi.org/10.1161/STROKEAHA.121.038451
48. Clerc OF, Cuddy SA, Jerosch-Herold M, Benz DC, Katznelson E, Canseco Neri J, et al. Myocardial Characteristics, Cardiac Structure, and Cardiac Function in Systemic Light-Chain Amyloidosis. JACC Cardiovasc Imaging. 2024 Nov;17(11):1271–86. doi: https://doi.org/10.1016/j.jcmg.2024.05.004
49. Stroo E, Koopman M, Nollen EA, Mata-Cabana A. Cellular Regulation of Amyloid Formation in Aging and Disease. Front Neurosci. 2017 Feb;11:64. doi: https://doi.org/10.3389/fnins.2017.00064
50. Cannata’ A, Merlo M, Artico J, Gentile P, Camparini L, Cristallini J, et al. Cardiovascular aging: the unveiled enigma from bench to bedside. J Cardiovasc Med (Hagerstown). 2018 Oct;19(10):517–26. doi: https://doi.org/10.2459/JCM.0000000000000694
51. Pras A, Nollen EA. Regulation of Age-Related Protein Toxicity. Front Cell Dev Biol. 2021 Mar;9:637084. doi: https://doi.org/10.3389/fcell.2021.637084
52. Ichimata S, Hata Y, Hirono K, Yamaguchi Y, Nishida N. Clinicopathological features of clinically undiagnosed sporadic transthyretin cardiac amyloidosis: a forensic autopsy-based series. Amyloid. 2021 Jun;28(2):125–33. doi: https://doi.org/10.1080/13506129.2021.1882979
53. Tan L, Byard RW. Cardiac amyloid deposition and the forensic autopsy - A review and analysis. J Forensic Leg Med. 2024 Apr;103:102663. doi: https://doi.org/10.1016/j.jflm.2024.102663
54. D’Errico S, Mazzanti A, Baldari B, Maiese A, Frati P, Fineschi V. Sudden death in lambda light chain AL cardiac amyloidosis: a review of literature and update for clinicians and pathologists. Int J Clin Exp Pathol. 2020 Jul;13(7):1474–82.
55. Rodewald AK, Bode P, Cathomas G, Moch H. [Clinical autopsies in Switzerland: A status report]. Pathologe. 2017 Sep;38(5):416–21. doi: https://doi.org/10.1007/s00292-017-0323-8
The appendix is available in the pdf version of the article at https://doi.org/10.57187/s.4145.