DOI: https://doi.org/https://doi.org/10.57187/s.4382
Adrenal insufficiency represents a complex endocrinological disease with multiple causes and clinical manifestations, with the need for lifelong hormone replacement therapy. Symptoms are various, including severe orthostatic hypotension, profound fatigue, muscle pain and gastrointestinal disorders [1]. Laboratory findings include hypoglycaemia, hyponatraemia and hyperkalaemia. Primary adrenal disorder, commonly caused by destructive autoimmunity, is rare, but often associated with other glandular diseases. These patients usually suffer from severe comorbidities, including insulin-dependent diabetes mellitus and thyroid disorders [2]. Replacement therapy with gluco- and mineralocorticoids is essential, with the need for additional dosages in stress situations to prevent adrenal crisis.
Adrenal gland transplantations have been performed since the 1960s as autologous transplantations for the treatment of refractory Cushing’s disease following bilateral adrenalectomy [3]. However, its effects were limited and commonly only short-term [4, 5]. Reports on adrenal gland allotransplantation are limited. Grodstein et al. reported on the first successful intramuscular morcellised adrenal allograft in combination with a kidney allotransplantation in a child with adrenal insufficiency secondary to meningococcal septicaemia [6]. To date, only two case reports exist on whole-organ adrenal gland allotransplantation, one simultaneous kidney-adrenal gland and one pancreas-kidney-adrenal gland transplant [7, 8]. These transplantations were beneficial in terms of surgical feasibility and safety, with varying results however regarding functional activity of the transplanted adrenal grafts.
Here we report on the first case of an adrenal gland allotransplant in Switzerland, performed in combination with a simultaneous pancreas and kidney transplant. This case illustrates the surgical challenges and endocrine complexity associated with diseases of the adrenal gland and related disorders.
Our patient, a 48-year-old woman, suffered from a poly-glandular autoimmune syndrome type II, also known as Schmidt syndrome. This rare disease is associated with a primary adrenal gland insufficiency, type 1 diabetes mellitus and thyroid disease [9]. The patient was on substitution therapy with hydro- and fludrocortisone and thyroid hormones, and had suffered from multiple adrenal crises in the past. Type 1 diabetes mellitus was diagnosed at the age of 20, with unstable glycaemia and repeat severe hypoglycaemia. HbA1c levels were above 10%, causing diabetic nephropathy over time. At time of transplantation, serum creatinine was 234 µmol/l, equal to a glomerular filtration rate (GFR) of 21 ml/min/1.73 m2 according to the Chronic Kidney Disease Epidemiology Collaboration (CKD-EPI) 2009 equation [10, 11].
Diabetes was not well controlled, with recurrent episodes of diabetic ketoacidosis despite her insulin pump, and a gradually deteriorating kidney function. Thus, the patient fulfilled the criteria for simultaneous pancreas and kidney transplantation. Due to the additional severe adrenal insufficiency, the decision was taken for an additional whole-organ adrenal gland transplantation. This was possible since the need for lifelong immunosuppression was justified by the indication for simultaneous pancreas and kidney transplantation. Initial wait-listing was in 2013, but the patient was kept inactive due to stable kidney function until the beginning of 2020. The patient gave informed consent for the transplantation.
At the time of transplantation, the patient was on morning hormone replacement therapy with 25 mg hydrocortisone (Plenadren®), 0.05 mg fludrocortisone (Astonin H®) and 25 mg dehydroepiandrosterone (DHEA).
The three grafts were from a 20-year-old male donor after brain death. The adrenal gland was procured en bloc with the left kidney. We chose the left adrenal gland due to the easier preservation of venous drainage via the suprarenal vein to the left renal vein. We preserved the inferior adrenal artery as a branch from the renal artery, and the middle adrenal artery was obtained on a common aortic patch together with the left renal artery. The pancreas was procured en bloc with the duodenum and spleen, as for the classic pancreas transplantation. Transport was by static cold storage using Institute George Lopez-1 (IGL-1) preservation solution. Backtable preparation was as for standard simultaneous pancreas and kidney transplantation, with preparation of an iliac Y-graft to the superior mesenteric and splenic artery of the pancreas. The kidney and adrenal gland were kept en bloc, with one common aortic patch including the single renal artery and the middle adrenal artery. Venous drainage was by a single renal vein, including the suprarenal vein draining into it. Access in the recipient was through median laparotomy. First, according to our standard for simultaneous pancreas and kidney transplantation, the whole pancreas with the duodenal segment was implanted. Pancreatic venous drainage was via the inferior vena cava, arterial anastomosis via the Y-graft to the common iliac artery. Exocrine drainage was through duodeno-jejunostomy. After successful reperfusion of the pancreas, we implanted the en bloc kidney-adrenal gland graft to the left external iliac artery and vein. Urinary drainage was through a uretero-cystostomy and splinted with a double-J catheter. Kidney and adrenal gland reperfusion was straightforward with a good macroscopic result showing homogeneous pink colouration of both organs. The patient remained haemodynamically stable during the surgery, with immediate normalisation of blood sugar and persistent urinary output.
Surgical time was 231 minutes, without any intraoperative complications. Cold-ischaemic time was 7 hours and 39 min for the pancreas and 9 hours for the kidney-adrenal gland. Anastomotic times were 31 and 32 minutes (both vein and arteries) for the pancreas and the kidney-adrenal gland, respectively.
The immunosuppressive regimen was the same as standardly used for simultaneous pancreas and kidney transplantation, not modified for the additional implant of the adrenal gland. The number of human leukocyte antigen (HLA) mismatches was 6 out of 8. Calculated panel-reactive antibodies (cPRA) were 0% for both class I and II. Transplantation was without any preformed donor-specific antibodies. Induction therapy included anti-thymocyte globulin (Thymoglobulin®) and steroids. For maintenance therapy, we used tacrolimus (Prograf®, 0.1 mg/kg body weight) in combination with mycophenolic acid (Myfortic®, 720 mg/12 h). Rapid 5-day steroid taper consisted of 500 mg methylprednisolone (Solumedrol®) prior to transplantation, followed by Prednison® (100 mg on postoperative days 1 and 2, 50 mg on days 3 and 4, and the last dosage of 25 mg on day 5).
Despite immediate pancreas and kidney graft function, the patient’s clinical recovery was delayed. Reasons for this were episodes of inexplicable rheumatic pain, fatigue and undulating signs of inflammation, without clear focus. After an uneventful first week, the patient developed nonspecific pain of diffuse character. Computed tomography revealed no abdominal pathology and showed an adequate morphological aspect and regular perfusion of all three transplants. With persisting unclear pain and undulating signs of inflammation, we performed relaparotomy two weeks after surgery. Reoperation was inconclusive, without signs of infection and a regular macroscopic aspect of all three grafts. With empirical antibiotic treatment (piperacillin/tazobactam, Tazobac®), inflammation signs normalised fast. In the further course, however, pain characteristics were consistent with a rheumatic disease. Pain peaks were usually in the morning and migrating between joints, from severe left-sided hip pain to thighs and knees on both sides, and improved with physical activity. In addition, a strong swelling and effusion of both knees occurred. From the patient’s perspective, the most disturbing features were fluid retention and a possible nerve compression in the area of the renal graft, with pain radiating to the left thigh. However, repeat magnetic resonance imaging of the hips, spine and knees did not reveal any pathology, especially no signs of infection or gout. Nor didrepeated rheumatological and neurological assessments. A short-time treatment with high-dose steroids (prednisone 50 mg for 3 days) led to some improvement, especially reduction of effusions, but not complete pain relief however. We refrained from joint puncture due to the risk of infection under immunosuppression. Due to the pain situation, the patient remained in the hospital for 57 consecutive days.
Pancreas graft function was excellent from the beginning with immediate and sustained insulin freedom. Levels of HbA1c decreased from 8.4% preoperatively to 4.2%, 5.2%, 5.2% and 5.6% at 6, 12, 24 and 36 months after transplantation. Kidney graft function fluctuated in the early postoperative course, with stabilised values after three months. Kidney function improved to an estimated GFR of 41, 43, 55 and 50 ml/min/1.73 m2 at 6, 12, 24 and 36 months after transplantation.
Adrenal graft function was difficult to assess. The patient’s replacement therapy was stopped at the time of transplantation and the regular 5-day steroid therapy for simultaneous pancreas and kidney transplantation was administered. However, after the 5-day steroid taper, we were forced to restart with hydrocortisone (25 mg/day) due to severe fatigue and orthostatic dysfunction. Fludrocortisone (0.05 mg/day) was added from day 9. Repeated measurements of fasting cortisol levels in the early postoperative period showed sufficient levels, suggesting an initially active production by the adrenal graft. Adrenocorticotropic hormone (ACTH) stimulation (Synacthen® test) showed an appropriate increase in baseline cortisol levels on each of postoperative days 7 and 14 (figure 1).

Figure 1Baseline cortisol levels and responses to adrenocorticotropic hormone (ACTH) stimulation within the first month after transplantation. Prednisone was administered according to the regular 5-day steroid taper after simultaneous pancreas and kidney transplantation. Hydrocortisone and fludrocortisone show the restart of hormone replacement therapy after transplantation.
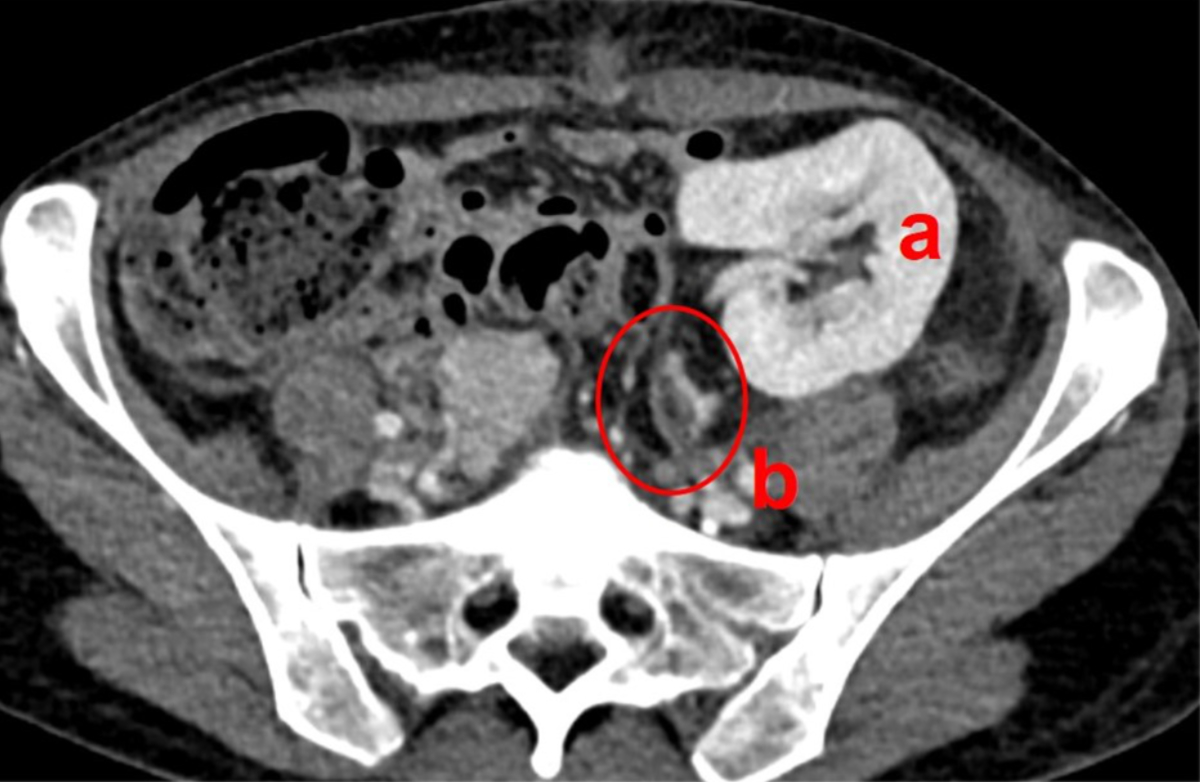
However, due to repeated episodes of diarrhoea and inflammation, the patient’s cortisol turnover was elevated and the replacement therapy had to be continued, and later even increased. Therefore, ACTH levels remained below the minimum at two and three months after transplantation. Aldosterone levels remained low as well. The patient was discharged with a daily dosage of 50 mg hydrocortisone and 0.1 mg fludrocortisone. Repeated contrast-enhanced CT scans confirmed regular perfusion of the adrenal graft (figure 2).

Figure 2Adrenal graft perfusion. Computed tomography on postoperative day 8 shows regular perfusion of the kidney (a) and adrenal graft (b, encircled).
In the following months, the patient suffered from persisting fatigue, joint pain and orthostatic problems, hampering further reduction of replacement therapy. Repeated attempts to lower the dosage were only partially successful due to clinical deterioration. Fasting cortisol levels remained lower than in the immediate posttransplant course. One year after transplantation, a positron emission tomography (PET) (122 MBq Ga-68 DOTATATE) revealed a significantly reduced adrenal Somatostatin Receptor 2 (SSTR-2) positivity (figure 3).

Figure 3Adrenal graft functional activity. Functional imaging (122 MBq Ga-68 DOTATATE positron emission tomography) one year after transplantation shows strong activity in the kidney graft (a), but no signs of activity in the adrenal graft.
At the time of transplantation, no preformed donor-specific antibodies were present and no de novo donor-specific antibodies appeared throughout the entire follow-up. Adrenal gland autoantibodies were verified before transplantation, but were no longer detectable two months after transplantation and suddenly reappeared again seven months later. At the time of writing this manuscript, the patient remains on hormone replacement therapy with a hydrocortisone-equivalent dose of 30 mg with stress dose adjustment as needed and fludrocortisone (Astonin H®) 0.1–0.15 mg daily depending on the blood pressure, electrolytes and laboratory results for renin.
At 1-year posttransplantation, a surveillance kidney allograft biopsy was performed to assess any subclinical rejection in the kidney allograft. The kidney allograft biopsy showed no morphological lesions related to T cell-mediated mechanisms (i0, t1, v0, ti0, i-IFTA0, t-IFTA0). However, morphological lesions related to antibody-mediated mechanisms were present (g1, ptc0, C4d1, cg1a, ptcml0) with microvascular inflammation (MVI) below threshold. The biopsy was further assessed by biopsy-based transcript diagnostics using The Molecular Microscope Diagnostic System (MMDx). The molecular interpretation revealed mild fully-developed antibody-mediated rejection (AMR) with R4, R5, R6 and all AMR scores of 0.21, 0.25, 0.26 and 0.73, respectively. According to the most recent Banff 2022 classification, the biopsy findings suggest a diagnosis of donor-specific antibodies-negative MVI.
In response to this biopsy finding, maintenance immunosuppression was switched to a calcineurin-inhibitor-free regimen with belatacept, mycophenolate and prednisone.
Almost 2.5 years after transplantation, the patient suffered from lower gastrointestinal bleeding. An upper endoscopy showed evidence for variceal bleeding at the level of the graft-duodenal anastomosis. Subsequent angiography revealed an unusual finding of a complete thrombosis of the graft portal vein, with preserved venous outflow via newly formed varicose veins draining into the patient’s own portal venous system (figure 4). Pancreatic graft function remained excellent, with persistent insulin freedom and normal HbA1c. An interdisciplinary panel opted against attempting an interventional venous recanalisation, due to the high risk of complications. The option of a preventive graft removal to exclude the risk of variceal bleeding was considered disproportionately risky and refused by the patient. Within the six months after diagnosis, no further episodes of gastrointestinal bleeding occurred under persistent graft function.

Figure 4Pancreas graft venous outflow. (A) Arterial angiography shows homogeneous arterial perfusion of the pancreas graft with open arterial anastomosis (asterisk: arterial Y-graft). (B) Venous angiography shows no venous outflow via the graft portal vein and vena cava (arrow: gross variceal formations are visible around the graft pancreas head and duodenum). (C) Venous outflow via variceal formation draining into the patient’s own portal vein (small arrowhead: varicose veins around the graft pancreas head and duodenum; large arrowhead: patient’s portal vein).
This is the first report of a simultaneous pancreas and kidney transplant with en bloc whole adrenal gland transplant in Switzerland and the second one worldwide. The triple transplant was technically safe and successful, with good and persistent graft function for the pancreas and kidney. However, independence from hormone replacement therapy was not achieved. Despite detectable adrenal graft activity in the early postoperative period, long-term success was limited, possibly hampered by an elevated cortisol demand caused by unclear rheumatic pain and postoperative stress.
The success of adrenal gland transplantation is generally poorly characterised and controversial. Most existing reports cover autologous transplants, in which adrenals were mainly transplanted to the thigh as an easily accessible implant site [12]. However, most of these reports include small case series and clinical reports, often showing conflicting results especially regarding long-term adrenal function [4, 5]. Almost all patients still required hormone replacement after such transplants, likely because autografts contained insufficient functional adrenal tissue or inadequate blood supply [5]. There are only a few reports on adrenal allotransplantation, of which only two on whole-organ adrenal gland transplantation with varying results [7, 8]. Vouillarmet et al. reported on a simultaneous pancreas and kidney transplant combined with adrenal gland transplant. The authors stated satisfactory graft function one year after transplantation, documented by a normalisation of cortisol and aldosterone baseline levels and regular uptake of [123I]-metaiodobenzylguanidine by the adrenal graft [7]. This patient however suffered from an acute adrenal crisis three years after transplantation, with the need to resume hormone replacement therapy [13]. Dubernard et al. reported on a patient receiving a simultaneous kidney and adrenal gland allograft following bilateral nephrectomy for renal cell cancer [8]. They stated adequate responses to ACTH stimulation early after transplantation. However, steroid-based immunosuppression was maintained after transplantation, possibly causing secondary graft insufficiency with the need for replacement therapy over time. Interestingly, postmortem biopsies showed intact adrenal graft morphology.
The major benefit of en bloc adrenal gland and kidney transplantation, with or without simultaneous pancreas transplantation, is that it does not require major technical changes compared to standard kidney transplantation. We chose the left adrenal gland and kidney, to facilitate vessel preservation at procurement and anastomosis technique during implantation. In doing so, single arterial and venous anastomoses were sufficient for implantation, not complicating the procedure. This is in accordance with Vouillarmet et al. [7] and Dubernard et al. [8], who also used left adrenal glands en bloc with left kidneys. However, procurement of an adrenal gland is technically more demanding and special attention needs to be paid to preservation of adrenal gland perfusion. We preserved the middle and lower suprarenal arteries, whereby we only needed one single aortic patch, including the renal artery and the middle suprarenal artery. This is in contrast to Vouillarmet et al., where only the lower suprarenal artery was preserved. However, there it was sufficient for adrenal perfusion as temporarily full graft function was achieved. To point out, we performed adrenal graft implantation without the need for technical or immunosuppressive modifications to standard simultaneous pancreas and kidney transplantation and without additional surgical morbidity. Reoperation two weeks after surgery was not causally related to the adrenal graft. In general, the rate of reoperation is high after simultaneous pancreas and kidney transplantation, reported up to 32% [14, 15]. In order to minimise technical errors, the same specialised surgical team performed procurement and transplantation.
Graft function of simultaneous pancreas and kidney transplantation was immediately satisfactory, despite initial fluctuations in kidney graft function. However, adrenal graft function was more difficult and complex to assess. In the early postoperative period, adrenal graft activity was measurable by detection of sufficient fasting cortisol levels and even adequate responses to ACTH stimulation. Although, very recently, a guideline on diagnosis and therapy of glucocorticoid-induced adrenal insufficiency has been published [16], no protocols for postoperative steroid treatment exist for this rare type of transplantation. In addition, after many years of steroid supplementation, the effects of dose changes vary widely among patients and are difficult to predict. Complicating this, evidence on tapering steroid substitution in patients with Addison’s disease is lacking. In our patient, after the regular 5-day steroid taper for simultaneous pancreas and kidney transplantation, a complete stop of replacement therapy was impossible due to severe steroid withdrawal symptoms. From the patient’s perspective, the worst symptoms were severe fatigue, joint pain and effusions. Thus, the preoperative replacement therapy with hydrocortisone and fludrocortisone was reestablished and later even increased in dosage due to worsening symptoms. Unfortunately, the initially detectable chemical effect of adrenal graft function never became clinically relevant.
However, the exact reason for adrenal graft insufficiency remained unclear. Most likely, persistent exogenous steroid replacement caused a secondary adrenal gland insufficiency by suppressing ACTH production, thus leading to decreased stimulation of the adrenal graft. Strong and persistent rheumatic-like pain, combined with the postoperative trauma, led to additional physical and mental stress, resulting in an excessive cortisol need early after transplantation. Early adrenal graft function was apparently not sufficient for this increased stress-related demand, making additional cortisol dosages necessary in order to prevent clinical deterioration. This continuous exogenous steroid intake might have caused a secondary graft insufficiency. Similarly, maintained long-term steroid immunosuppression probably hampered Dubernard et al.’s success after combined kidney and adrenal gland transplantation [8]. However, it is also unclear whether or not and how long it takes for the hypothalamus-pituitary axis to recover after discontinuation of such long-term steroid treatment. It is known that the recovery of the hypothalamus-pituitary axis might take several months to years in some cases after glucocorticoid-induced adrenal insufficiency [16]. Nevertheless, in those cases, other differential diagnoses should be taken into account.
One possibility to avoid such secondary adrenal graft insufficiency could be a steroid-free protocol. Omitting steroids is interesting for pancreas transplantations due to the steroids’ extensive side effects, including elevated insulin resistance, hyperlipidaemia and osteonecrosis [17]. Steroid-free regimes for simultaneous pancreas and kidney transplantation have shown similar patient and graft survival rates and only minimal early rejection rates compared to steroid-containing protocols [18]. In addition, promising results have been obtained in islet cell transplantation without steroids, with no apparent problems with rejection [19]. However, the complexity of our patient’s primary disease and her already longstanding replacement therapy caused severe steroid withdrawal symptoms, making it impossible to taper steroids.
The histopathological and molecular results of the kidney allograft biopsy, however, raised suspicions of a possible alloimmune mechanism. Despite the lack of complete concordance of the histopathological findings in combined kidney and pancreas transplantation, an alloimmune injury must be considered as a possible reason for the loss of function of the adrenal gland, even if the findings for the kidney are to be regarded as subclinical. However, in the absence of preformed and de novo donor-specific antibodies, this histopathological finding must be interpreted cautiously, even if biopsy-based transcript diagnostics suggest an antibody-mediated mechanism.
In addition, we observed a reappearance of adrenal autoantibodies after transplantation. Such an autoimmune recurrence could possibly have caused, or at least influenced, adrenal graft loss. Adrenal gland autoantibodies were well detectable before transplantation, together with anti-islet cell autoantibodies. However, they became undetectable early after transplantation, but reappeared again a few months later. Such autoimmune recurrence has been shown to be predictive of graft failure after pancreas transplantation [20, 21]. However, data on autoimmune graft adrenalitis is lacking. Despite this, Vouillarmet et al. reported autoimmune recurrence as a possible cause of late adrenal graft loss after their initially successful adrenal graft allotransplant [13]. In their case, autoantibodies were first detected one year after transplantation; graft loss, however, did not occur until after two more years. Nevertheless, one cannot prove autoantibodies were the cause of graft loss, as no biopsy was taken. Our case is similar and the reappearance of autoantibodies is indeed suggestive, but we do not have histological evidence either. Due to the lack of therapeutic benefit and the increased risk for the patient, we also decided against a biopsy. Moreover, there was no temporal relationship between reappearance of autoantibodies and graft loss. Graft function was already hampered before, at a time when autoantibodies were still undetectable.
A less likely reason for the loss of function could have been a calcineurin inhibitor-associated adrenocortical toxicity. Adverse effects of calcineurin inhibitors on the adrenal cortex have been documented in animal models and in patients after kidney transplantation [22], leading to chronic suppression of the adrenal cortex, thus hampering further steroid reduction [23]. However, calcineurin inhibitors remain the backbone of simultaneous pancreas and kidney transplantation maintenance regimens and calcineurin inhibitors-withdrawal has been associated with increased rates of pancreas rejection [24]. A technical graft failure due to thrombosis is also very unlikely, as postoperative CT repeatedly confirmed adequate graft perfusion and the graft appeared macroscopically normal during reoperation.
The exact cause of adrenal graft failure thus remains unclear and difficult to assess. However, most importantly, pancreas and kidney graft functions were persistently excellent, and adrenal gland transplantation did not pose any additional risks for the patient. Importantly, the function of the pancreas graft is persistent, despite the thrombosis of the graft portal vein. Fortunately, this occlusion was chronic and slow, allowing sufficient time for the formation of new venous bypass circuits. The venous outflow of the pancreas graft is via the patient’s portal venous system. Any intervention to recanalise the graft portal vein seems too risky and, as long as pancreas graft function is preserved and venous drainage is unproblematic, all the more unnecessary. However, the risk of variceal bleeding must be taken into account, although there has only been one single relevant episode in the past. If bleeding recurs, we would aim for interventional therapy as a first measure and reserve graft pancreatectomy only for an extreme, uncontrollable case.
In the future, we will discuss the option of a second, autologous, adrenal gland transplantation with the patient. This would be a second attempt to treat the patient’s severe adrenal insufficiency or to help reduce dosages of hormone replacement therapy. Different techniques for autologous adrenal gland transplantation have been described, but the literature on this subject is generally sparse and mainly consists of small case series and autotransplantations [5, 6]. In our patient, we would try to limit the surgical trauma of a reoperation, thus possibly preferring an intramuscular implantation of a morcellised adrenal allograft, as initially described by Grodstein et al. [6]. Their case showed excellent long-term function, with stop of hormone replacement therapy and a graft responding well to ACTH stimulation. If another allograft is transplanted, the current and well-tolerated immunosuppression does not need to be adjusted or increased, but the risk of reimmunisation must be considered. Another option would be the transplantation of a whole vascularised adrenal graft to the epigastric artery and saphenous vein, as described for autotransplantations in a small series by Dong et al. [5]. However, we would not recommend this due to concerns about technical difficulties in procurement of an isolated adrenal gland without a kidney graft in deceased donors and the subsequent high risk for complications due to the small vessels.
En bloc adrenal allotransplantation with a left kidney or combined as simultaneous pancreas and kidney transplantation is technically safe and feasible. While procurement requires special attention in relation to preserving vascular supply, implantation does not require technical modifications and poses no further risk for the patient. However, adrenal allotransplantation should only be considered in special clinical settings, when adrenal insufficiency is combined with end-stage kidney failure requiring transplantation, and thus justifying the need for lifelong immunosuppression. Success is probably limited by the complex fine-tuning of hormone replacement therapy and immunological factors, rather than technical considerations. Patients should be followed in an interdisciplinary setting involving endocrinologists, nephrologists and transplant surgeons.
The datasets presented in this article are not readily available because of local restrictions. Requests to access the datasets should be directed to the corresponding author (FR). According to local policies, data must remain on controlled access due to patient protection and ethical laws in Switzerland.
Written informed consent was obtained from the patient for the publication of this article.
All authors have completed and submitted the International Committee of Medical Journal Editors form for disclosure of potential conflicts of interest. No potential conflict of interest related to the content of this manuscript was disclosed.
1. Husebye ES, Pearce SH, Krone NP, Kämpe O. Adrenal insufficiency. Lancet. 2021 Feb;397(10274):613–29.
2. Husebye ES, Anderson MS, Kämpe O. Autoimmune Polyendocrine Syndromes. N Engl J Med. 2018 Mar;378(12):1132–41.
3. Barzilai D, Dickstein G, Kanter Y, Plavnick Y, Schramek A. Complete remission of Cushing’s disease by total bilateral adrenalectomy and adrenal autotransplantation. J Clin Endocrinol Metab. 1980 May;50(5):853–6.
4. Hardy JD, Moore DO, Langford HG. Cushing’s disease today. Late follow-up of 17 adrenalectomy patients with emphasis on eight with adrenal autotransplants. Ann Surg. 1985 May;201(5):595–603.
5. Dong D, Ji Z, Li H. Autologous Adrenal Transplantation for the Treatment of Refractory Cushing’s Disease. Urol Int. 2019;103(3):344–9.
6. Grodstein E, Hardy MA, Goldstein MJ. A case of human intramuscular adrenal gland transplantation as a cure for chronic adrenal insufficiency. Am J Transplant. 2010 Feb;10(2):431–3.
7. Vouillarmet J, Buron F, Houzard C, Carlier MC, Chauvet C, Brunet M, et al. The first simultaneous kidney-adrenal gland-pancreas transplantation: outcome at 1 year. Am J Transplant. 2013 Jul;13(7):1905–9.
8. Dubernard JM, Cloix P, Tajra LC, Alduglihan W, Borson F, Lefrançois N, et al. Simultaneous adrenal gland and kidney allotransplantation after synchronous bilateral renal cell carcinoma: a case report. Transplant Proc. 1995 Feb;27(1):1320–1.
9. Siniscalchi C, Moretti V, Cataldo S, Rocci A, Basaglia M, Tassoni MI, et al. The Schmidt Syndrome. Acta Biomed. 2018 Jan;88(4):499–501.
10. Levey AS, Coresh J, Greene T, Stevens LA, Zhang YL, Hendriksen S, et al.; Chronic Kidney Disease Epidemiology Collaboration. Using standardized serum creatinine values in the modification of diet in renal disease study equation for estimating glomerular filtration rate. Ann Intern Med. 2006 Aug;145(4):247–54.
11. Levey AS, Stevens LA, Schmid CH, Zhang YL, Castro AF 3rd, Feldman HI, et al.; CKD-EPI (Chronic Kidney Disease Epidemiology Collaboration). A new equation to estimate glomerular filtration rate. Ann Intern Med. 2009 May;150(9):604–12.
12. Hardy JD, Langford HG. Adrenal Autotransplantation in Cushing’s disease. Ann N Y Acad Sci. 1964 Nov;120(1):667–8.
13. Buron F, Vouillarmet J, Thaunat O, Thivolet C, Badet L, Morelon E. Autoimmune Recurrence as a Cause of Adrenal Gland Graft Loss? Am J Transplant. 2016 Jul;16(7):2235–6.
14. Gilabert R, Fernández-Cruz L, Real MI, Ricart MJ, Astudillo E, Montaña X. Treatment and outcome of pancreatic venous graft thrombosis after kidney—pancreas transplantation. Br J Surg. 2002 Mar;89(3):355–60.
15. Troppmann C. Complications after pancreas transplantation. Curr Opin Organ Transplant. 2010 Feb;15(1):112–8.
16. Beuschlein F, Else T, Bancos I, Hahner S, Hamidi O, van Hulsteijn L, et al. European Society of Endocrinology and Endocrine Society Joint Clinical Guideline: Diagnosis and Therapy of Glucocorticoid-induced Adrenal Insufficiency. J Clin Endocrinol Metab. 2024 Jun;109(7):1657–83.
17. Citterio F. Steroid side effects and their impact on transplantation outcome. Transplantation. 2001 Dec;72(12 Suppl):S75–80.
18. Freise CE, Kang SM, Feng S, Posselt A, Hirose K, Hirose R, et al. Experience with steroid-free maintenance immunosuppression in simultaneous pancreas-kidney transplantation. Transplant Proc. 2004 May;36(4):1067–8.
19. Shapiro AM, Lakey JR, Ryan EA, Korbutt GS, Toth E, Warnock GL, et al. Islet transplantation in seven patients with type 1 diabetes mellitus using a glucocorticoid-free immunosuppressive regimen. N Engl J Med. 2000 Jul;343(4):230–8. doi: https://doi.org/10.1056/NEJM200007273430401
20. Occhipinti M, Lampasona V, Vistoli F, Bazzigaluppi E, Scavini M, Boggi U, et al. Zinc transporter 8 autoantibodies increase the predictive value of islet autoantibodies for function loss of technically successful solitary pancreas transplant. Transplantation. 2011 Sep;92(6):674–7.
21. Vendrame F, Pileggi A, Laughlin E, Allende G, Martin-Pagola A, Molano RD, et al. Recurrence of type 1 diabetes after simultaneous pancreas-kidney transplantation, despite immunosuppression, is associated with autoantibodies and pathogenic autoreactive CD4 T-cells. Diabetes. 2010 Apr;59(4):947–57.
22. Nankivell BJ, Borrows RJ, Fung CL, O’Connell PJ, Allen RD, Chapman JR. The natural history of chronic allograft nephropathy. N Engl J Med. 2003 Dec;349(24):2326–33.
23. Oka K, Shimodaira H, Hirano T, Sakurai E, Tamaki T, Kozaki M. Comparison of adrenal functions in kidney transplant recipients with different long-term immunosuppressive treatments—prednisolone and azathioprine versus prednisolone and cyclosporine. Transplantation. 1993 Sep;56(3):603–9.
24. Stock PG, Mannon RB, Armstrong B, Watson N, Ikle D, Robien MA, et al. Challenges of calcineurin inhibitor withdrawal following combined pancreas and kidney transplantation: results of a prospective, randomized clinical trial. Am J Transplant. 2020 Jun;20(6):1668–78.