DOI: https://doi.org/https://doi.org/10.57187/s.4221
adoptive cell therapy
tumour-infiltrating lymphocyte
tumour-infiltrating lymphocyte adoptive cell therapy
Adoptive cell therapy (ACT) with tumour-infiltrating lymphocytes (TIL) is a personalised immunotherapy based on the infusion of autologous CD4+ and CD8+ T lymphocytes that have been collected from tumour material and expanded ex vivo in the presence of interleukin-2 (IL-2). Preconditioning lymphodepleting chemotherapy is an integral part of current tumour-infiltrating lymphocyte protocols. In vivo tumour-infiltrating lymphocyte activation is generally supported by the administration of high-dose IL-2. TIL-ACT therapy was developed and pioneered by Steven A. Rosenberg and colleagues at the National Cancer Institute (Maryland, US) several years ago (1986) [1, 2]. Objective response rates up to 72% were achieved with TIL-ACT in several consecutive clinical trials, including 10–20% complete remissions and 40% durable clinical responses [3]. Recently, a large phase III clinical trial has demonstrated superiority of TIL-ACT in terms of progression-free survival and overall response rate compared to the immune checkpoint inhibitor (ICI) ipilimumab in pretreated melanoma patients [4]. Although TIL-ACT is an effective treatment, there is still a substantial need to enhance the anti-tumour potential. Furthermore, lymphodepletion and IL-2 treatment are associated with significant toxicities, restricting TIL-ACT to medically fit patients only. New treatment combinations aim at increasing the efficacy of TIL-ACT, while reducing toxicity. We therefore designed a phase I clinical trial (BaseTIL-03M, NCT05869539) that investigates in vivo tumour-infiltrating lymphocyte activation with the novel IL-2Rβγ binding agonist ANV419 in patients with advanced melanoma. ANV419 is an antibody-cytokine fusion protein consisting of IL-2 fused to an anti-IL-2 monoclonal antibody that sterically hinders binding of IL-2 to IL-2Rα, retaining affinity for the receptor β- and γ-subunits and thus limiting signalling through the α subunit on regulatory T cells. The safety of ANV419 has previously been evaluated in a multicentre phase I clinical trial in patients with advanced solid tumours [5]. The study intervention consists of multiple steps, starting with a surgical intervention to collect tumour material for tumour-infiltrating lymphocyte expansion. Tumour-infiltrating lymphocyte expansion is performed at University Hospital Basel’s Good Manufacturing Practice (GMP) Facility for Advanced Therapies (duration: approximately 26 days). Patients undergo preparative lymphodepleting chemotherapy with cyclophosphamide (dose: 60 mg/kg i.v., 1× daily, for two consecutive days) and fludarabine (dose: 25 mg/m2 body surface area i.v., max. dose of 50 mg, 1× daily, for five consecutive days) before receiving the expanded tumour-infiltrating lymphocytes (variable cell number between 5 × 109 and 2 × 1011 tumour-infiltrating lymphocytes) in a single infusion. For in vivo tumour-infiltrating lymphocyte stimulation, patients receive two doses of ANV419 (dose: 243 µg/kg i.v.): the first dose directly after and the second dose two weeks after tumour-infiltrating lymphocyte transfer. Here we report the case of an adult patient with chronic inflammatory demyelinating polyneuropathy who developed a severe exacerbation of chronic inflammatory demyelinating polyneuropathy following TIL-ACT with ANV419.
An adult patient with secondary metastatic cutaneous melanoma experienced disease progression during his 4th line of treatment and was enrolled in the BaseTIL-03M trial. The patient was diagnosed with UICC stage IIIC melanoma localised on the back in 2008. He then underwent resection of the melanoma including sentinel lymph node biopsy followed by adjuvant treatment with interferon. The diagnosis of chronic inflammatory demyelinating polyneuropathy was made in November 2020 concomitantly with the diagnosis of axillary lymph node metastases (October 2020). The patient experienced progressive neurological symptoms three months before the diagnosis of melanoma recurrence. Ganglioside antibodies were negative. However, magnetic resonance imaging revealed a pathological contrast finding suggestive of chronic inflammatory demyelinating polyneuropathy at the level of the cauda equina. Further investigations using electroneurography and somatosensory evoked potential confirmed the presence of a demyelinating polyneuropathy, as well as cyto-albumin dissociation in the spinal fluid. In the light of the results of the various diagnostic investigations, the diagnosis of chronic inflammatory demyelinating polyneuropathy was confirmed. The melanoma recurrence was treated with right axillary lymphadenectomy. No additional immunotherapy (immune checkpoint inhibitor) was given due to chronic inflammatory demyelinating polyneuropathy. For chronic inflammatory demyelinating polyneuropathy, a full-dose treatment with intravenous immunoglobulin was administered between December 2020 and January 2021, resulting in marked improvement of chronic inflammatory demyelinating polyneuropathy-related symptoms. Due to simultaneous occurrence of melanoma recurrence and symptoms of chronic inflammatory demyelinating polyneuropathy, the absence of other possible exacerbating triggers and data from literature where chronic inflammatory demyelinating polyneuropathy occurred prior to the diagnosis of melanoma [6–8], chronic inflammatory demyelinating polyneuropathy was interpreted as melanoma-related. Adjuvant radiotherapy of the right axillary region was started in the beginning of 2021 but discontinued prematurely due to the occurrence of a new cervical lymph node metastasis. Subsequently, three cycles of combined immunotherapy with the CTLA-4 inhibitor ipilimumab and the PD-1 inhibitor nivolumab were administered. The treatment was discontinued due to the emergence of immune-related hepatitis. Interestingly, no exacerbations of chronic inflammatory demyelinating polyneuropathy or other neurological symptoms were observed. The patient experienced disease progression in June 2021 and received experimental treatment with nivolumab and an anti-IL-8 monoclonal antibody from October 2021 to June 2022. Upon further progression, the patient received an experimental study treatment including thermal ablation of (cervical) lymph node metastases and a novel (systemic) immunotherapy (IP-001). Bridging therapy for the planned inclusion in the BaseTIL-03M study included chemotherapy with paclitaxel and carboplatin from May to June 2023.
The patient was enrolled into the BaseTIL-03M trial in July 2023 (figure 1). He received the study treatment as planned, including the scheduled preparative lymphodepletion with cyclophosphamide and fludarabine, followed by the transfer of the expanded tumour-infiltrating lymphocytes (cell number: 59.25 × 109 tumour-infiltrating lymphocytes) and received the first dose of ANV419 (243 μg/kg, absolute dose: 19 mg). Treatment-associated haematological toxicities included grade 3 (G3) anaemia, G4 lymphopenia, G4 neutropenia including febrile neutropenia and G4 thrombocytopenia, expected due to the preparative chemotherapy. No erythrocyte or thrombocyte transfusions were required. For the treatment of neutropenia, filgrastim 30 million international units (MIU) was administered according to the study schedule (G-CSF filgrastim at a dose of 30 MIU equivalent to 300 micrograms for a body weight <100 kg; or 48 MIU equivalent to 480 μg for a body weight ≥100 kg, administered subcutaneously, starting on day +1, until neutrophil count >1.0 × 109/l), starting after tumour-infiltrating lymphocyte transfer. The patient experienced fever already before the infusion of the tumour-infiltrating lymphocyte product and received empirical broad-spectrum antibiotic therapy, which was continued during the subsequent phase of neutropenia, including the administration of tumour-infiltrating lymphocytes and the first dose of ANV419. During this period, different episodes of fever were recorded, and antibiotic treatment was changed multiple times (cefepime, piperacillin/tazobactam, meropenem). In addition, the patient received the standard antimicrobial treatment with trimethoprim/sulfamethoxazole, valaciclovir and fungal prophylaxis with fluconazole. Recurrent sampling did not evidence any infectious cause. Imaging findings suggested possible pulmonary infection focus. An additional non-haematological side effect of G2 or higher was an increase in INR.

Figure 1Timeline of events. CIDP: chronic inflammatory demyelinating polyneuropathy; IVIG: intravenous immunoglobulin; TIL: tumour-infiltrating lymphocyte. (*) ENMG 6 October 2023: Sensorimotor mixed polyneuropathy, primarily demyelinating and secondarily axonal, with absent motor nerve conduction in the lower extremities (bilateral peroneal nerve and left tibial nerve), as well as absent sensory nerve action potentials of the right median and ulnar nerves (not measured on the left) and absent right sural nerve conduction, with the left sural nerve showing at most very low amplitude potentials.
The second dose of ANV419 was given as planned and at the same dose two weeks after tumour-infiltrating lymphocyte transfer. Subsequently, the patient reported an increasing worsening of the previously present sensory polyneuropathy of the hands and feet, as well as new distal muscle weakness. Muscle weakening was measurable as a new distal paresis of both feet: foot elevation: 3/5, foot drop: 4/5, big toe elevation: 3/5, toe elevation: 3/5, according to the Medical Research Council (MRC) Scale (Grade 5: normal, Grade 4: movement against gravity and resistance, Grade 3: movement against gravity over the full range, Grade 2: movement of the limb but not against gravity, Grade 1: visible contraction without movement of the limb, Grade 0: no visible contraction). The patient developed an increasingly ataxic gait. Heel and toe gait was not possible. Both feet showed pall-hypoaesthesia, tested with 128 Hz-Diapason with result 4/8 (scale for assessment of disorders of vibratory sensitivity, range 0 to 8, with 8 being intact vibratory sensitivity). Furthermore, the muscle reflexes were absent bilaterally. A brain and spine MRI excluded the presence of central nervous system metastases but revealed a diffuse pathological contrast enhancement of the intraspinal nerves from cervical to sacrum including the cauda equina as well as a symmetrical pathological contrast enhancement of several cranial nerves on both sides. This finding was primarily compatible with the established diagnosis of chronic inflammatory demyelinating polyneuropathy (figures 2 and 3).

Figure 2Spine MRI (T1 TSE with gadolinium): smooth, non-nodular and diffuse pathological contrast enhancement of the intraspinal nerves and the entire cauda equina primarily compatible with the diagnosis of chronic inflammatory demyelinating polyneuropathy (CIDP).

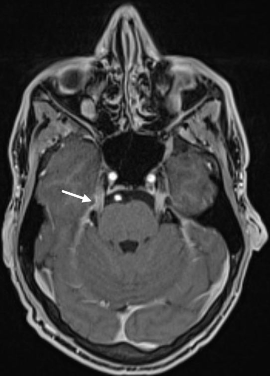
Figure 3Brain MRI (T1 VIBE with gadolinium): symmetrical pathological contrast enhancement of several cranial nerves on both sides (N. trigeminus in the picture, N. oculomotorius, N. facialis) primarily compatible with the diagnosis of chronic inflammatory demyelinating polyneuropathy (CIDP).
In a brain MRI performed before any study interventions, enhancement of some cranial nerves was already present. Neurographic examination with electroneurography and electromyography revealed a severe sensorimotor mixed polyneuropathy in all four extremities. CT of the chest and cervical region did not evidence progression of melanoma. In an interdisciplinary evaluation, the progressing sensorimotor polyneuropathy was interpreted as probable exacerbation of the preexisting chronic inflammatory demyelinating polyneuropathy. Accordingly, treatment with intravenous immunoglobulin was started (0.5 g/kg, absolute dose: 40 g, for 4 consecutive days), with another cycle (0.4 g/kg, absolute dose: 30 g, for 5 consecutive days) after 6 days. Despite intravenous immunoglobulin treatment, there was a rapid deterioration of the tetraparesis to a full plegia of the legs, dysphagia and eventually respiratory muscle involvement with subsequent aspiration and respiratory failure. The patient was transferred to the intensive care unit and required respiratory support including mechanical ventilation. Lumbar puncture revealed a normal cell count with cyto-albumin dissociation (a combination of elevated protein level and normal cell counts in the cerebrospinal fluid), no evidence of an infectious cause and interestingly negative results for autoantibodies (including anti-gangliosides IgM/IgG) in the cerebrospinal fluid or serum (table 1). The clinical presentation was at this point resembling an acute inflammatory demyelinating polyneuropathy of Guillain-Barré syndrome. Due to the initial lack of response to intravenous immunoglobulin, we decided to add high-dose methylprednisolone intravenously (500 mg, for 7 consecutive days). Given the positive response to treatment, it was subsequently administered orally and gradually tapered. In addition, antibiotic therapy was administered in the context of nosocomial pneumonia. Despite the patient undergoing multiple bronchoscopies due to massive secretions, no microbial pathogen (viral, bacterial, fungal or parasitic) was identified. Antibiotic therapy was terminated six days later in the context of clinical improvement and a reduction in inflammatory indices.
Table 1Cerebrospinal fluid and serum results.
| Value | Normal range | |
| Liquor | ||
| Leucocytes | 4 ×106/l | <5 ×106/l |
| Mononuclear cells | 4 ×106/l | <5 ×106/l |
| Polymorphonuclear cells | 0 | |
| Erythrocytes | 0 | |
| Lactate | 2.24 mmol/l | 1.1–1.9 mmol/l |
| Glucose | 4.3 mmol/l | 2.2–4.2 mmol/l |
| Lactate quotient liquor/plasma | 1.9 | |
| Glucose quotient liquor/plasma | 0.6 | >0.5 |
| Ferritin | 13 µg/l | 15 µg/l |
| Protein | 2850 mg/l | 150–500 mg/l |
| Albumin quotient liquor/serum | 46.3 ×10-3 | <6.5 ×10-3 |
| IgG index liquor-serum | 0.53 | <0.70 |
| IgG liquor (Reiber diagram) | <5% | <10% |
| IgA liquor (Reiber diagram) | <5% | <10 |
| IgM liquor (Reiber diagram) | <5% | <10% |
| Oligoclonal IgG bands | 0 | <1 |
| Syphilis | Negative | Negative |
| Mycoplasma pneumoniae | Negative | Negative |
| Meningoencephalitis panel PCR | Negative | Negative |
| Liquor culture | Negative | Negative |
| Liquor TBC culture | Negative | Negative |
| Autoantibodies panel* | Negative | Negative |
| Malignancy | Negative | Negative |
| Immunophenotyping | No evidence of CNS lymphoma | |
| Serum | ||
| Anti-ganglioside GM1 IgG/IgM | <50% | <50 |
| Anti-ganglioside GM2 IgG/IgM | <50% | <50% |
| Anti-ganglioside GD1a IgG/IgM | <50% | <50% |
| Anti-ganglioside GD1b IgG/IgM | <50% | <50% |
| Anti-ganglioside GQ1b IgG/IgM | <50% | <50% |
* Anti-Hu (ANNA-1) IgG, Anti-Yo (PCA-1) IgG, Anti-Ri (ANNA-2) IgG, Anti-CV2 (CRMP5) IgG, Anti-Ma1 (PNMA1) IgG, Anti- Ma2/Ta (PNMA2) IgG, Anti-Amphiphysin IgG, Anti-SOX1 IgG, Anti-Tr(DNER) IgG, Anti-Zic4 IgG, Anti-GAD65, Anti-LGI1 IgG, Anti-CASPR2 IgG, Anti-NMDA-Rezeptor IgG, Anti-AMPA-Rezeptor (GluR1/2) IgG, Anti-mGluR5-Rezeptor IgG, Anti- GABA(B)-Rezeptor IgG, Anti-IgLON5 IgG, Anti-Glycin-Rezeptor IgG Anti-DPPX IgG
With the high-dose steroid treatment ongoing, we observed a gradual improvement in respiratory and neurological symptoms. Respiratory weaning was possible, and the patient extubated. On transfer to the internal medicine unit, the patient benefited from physiotherapy and ergotherapy until discharge. At that time, the patient was able to walk with the help of a walker and outpatient physiotherapy was continued.
We presented the case of a patient with pre-existing chronic inflammatory demyelinating polyneuropathy who developed an acute polyneuropathy resembling Guillain-Barré syndrome in an acute inflammatory demyelinating polyneuropathy variant form after receiving adoptive cell therapy with tumour-infiltrating lymphocytes and the IL-2Rβγ binding agonist ANV419 within a phase I clinical study. The patient received the entire treatment as scheduled in the study protocol and developed a progressive polyneuropathy after the second dose of ANV419 (i.e. two weeks after tumour-infiltrating lymphocyte transfer and the first dose of ANV419). Due to the initial assumption of an exacerbated chronic inflammatory demyelinating polyneuropathy, a course of intravenous immunoglobulin was administered, which, however, showed no effect – contrary to the benefit of this therapy at initial diagnosis of chronic inflammatory demyelinating polyneuropathy in the patient and, importantly, contrary to the expected benefit of intravenous immunoglobulin treatment in classic Guillain-Barré syndrome. Only after the initiation of high-dose steroid treatment did the patient’s symptoms gradually improve.
To the best of our knowledge, there are only a few patient cases that describe acute inflammatory demyelinating polyneuropathy / Guillain-Barré syndrome after adoptive cell therapy. Orcurto et al. presented the case of a patient with melanoma who developed Guillain-Barré syndrome after TIL-ACT [10]. The patient was treated with intravenous immunoglobulin resulting in progressive and full recovery. A cytomegalovirus reactivation was detected in this patient and deemed to be the cause of Guillain-Barré syndrome. In 2019, two cases of Guillain-Barré syndrome were reported following adoptive transfer of autologous T lymphocytes transduced with a high-affinity NY-ESO-1-reactive T cell receptor [11]. Both patients received intravenous immunoglobulin with prompt response to the treatment. The authors attributed the onset of acute inflammatory demyelinating polyneuropathy to NY-ESO-1-targeting T cell therapy. In the cases described, there was a rapid and sustained response to intravenous immunoglobulin, whereas in our case there was an unexpected response to steroid treatment, suggesting a different pathophysiology. An antibody-mediated event as a possible cause of the described acute polyneuropathy is possible, but we were not able to identify any antibodies in our assessments. Importantly, we did not test for all possible autoantibodies, e.g. paranodal autoantibodies. A respiratory infection during the immunosuppressive phase of the tumour-infiltrating lymphocyte therapy may have triggered the development of acute inflammatory demyelinating polyneuropathy / Guillain-Barré syndrome as a respiratory infection/pneumonia was diagnosed following the lymphodepleting chemotherapy, although no pathogen was identified. An antecedent gastrointestinal or other infection was not present or could not be determined as the cause. No prior vaccination occurred. No other triggering events were identified; in particular, there was no disease progression in the imaging assessments, although disease progression eventually occurred in the weeks following TIL-ACT. Other causes of acute polyneuropathy must be considered. The electroneurography examination performed in 2022 before study enrolment showed slowed NCV in the peroneal, tibial, median and ulnar nerves with delayed F-wave latencies. Already at that point, the amplitudes of the peroneal and tibial nerves were decreased, which was considered to be consistent with primary demyelination and secondary axonal damage. The electroneurography in the acute setting showed markedly reduced NCV in the right median and ulnar nerves and delayed F-wave latency for the median nerve, whereas no CMAPs were measurable for the right peroneal and left tibial nerve (figure 4). In conjunction with the rapid clinical deterioration, the cerebrospinal fluid findings and the positive response to corticosteroids, the most likely interpretation in our opinion is an inflammatory demyelinating process with secondary axonal damage, rather than axonal damage on top of the pre-existing demyelinating polyneuropathy, although we cannot confirm this based on the available findings.

Figure 4Electroneurography.
Fludarabine-associated neurotoxicity seems implausible given the reversible effect of high-dose steroids on the patient’s symptoms. Fludarabine is known to cause dose-dependent neurological toxicity, usually observed in the central nervous system (cerebellar syndrome, cognitive disturbances, dizziness, depression), but also sensory neuropathy. The predominant axonal damage caused by fludarabine chemotherapy rather than demyelination (as opposed to the results in the patient) also point against a chemotherapy-induced neurotoxicity [13–15]. The novel IL-2Rβγ binding agonist ANV419, which was administered directly after and two weeks after tumour-infiltrating lymphocyte-infusion, cannot be ruled out as the possible trigger of acute inflammatory demyelinating polyneuropathy. However, the temporal correlation with the onset of symptoms after the second administration of ANV419 (and not immediately after the first administration) does not support this hypothesis. Furthermore, no comparable events were documented in the phase I ANV419-001 study, which tested ANV419 in patients with various solid tumours [5]. Finally, it must also be considered that an auto-reactive T cell clone may have been expanded in the tumour-infiltrating lymphocyte product, cross-reacting with epitopes on nerves and resulting in an autoimmune reaction. Again, the time interval to tumour-infiltrating lymphocyte therapy does not seem quite appropriate. On the other hand, the rapid response of the symptoms to steroid therapy may support this hypothesis.
In summary, the exact trigger of the described acute inflammatory demyelinating polyneuropathy / Guillain-Barré syndrome cannot be determined. Due to the expected increased implementation of adoptive cellular therapies in clinical practice, especially tumour-infiltrating lymphocyte-based therapies, it is important for clinicians to be aware of the potential treatment-related adverse effects and complications associated with this new treatment option, given the need for a rapid and effective treatment.
Written informed consent was obtained from the patient for the publication of this article.
This work was supported by a grant for TIL therapy from Fond’Action Switzerland, and by the Innovation Focus Cell Therapy, University Hospital Basel, Switzerland..
JL’s institution has received research grants from Novartis, Biogen and Innosuisse – Swiss Innovation Agency, and honoraria for advisory boards and/or speaking fees from Novartis, Roche and Teva. He received conference travel support from Novartis and Bristol Myers Squibb. – HL received consulting fees from Immunocore, Palleon Pharmaceuticals, InterVenn, GlycoEra and Anaveon. He sits on the Board of Directors of Glycocalyx Therapeutics. – DK received consulting fees from AstraZeneca, Merck, MSD, Novartis and PharmaMar and fees or honoraria for lectures, presentations, speakers bureaus, manuscript writing or educational events from Amgen, BMS, Mirati, Sanofi and Swiss Oncology in Motion.
1. Rosenberg SA, Spiess P, Lafreniere R. A new approach to the adoptive immunotherapy of cancer with tumor-infiltrating lymphocytes. Science. 1986 Sep;233(4770):1318–21. doi: https://doi.org/10.1126/science.3489291
2. Rosenberg SA, Packard BS, Aebersold PM, Solomon D, Topalian SL, Toy ST, et al. Use of tumor-infiltrating lymphocytes and interleukin-2 in the immunotherapy of patients with metastatic melanoma. A preliminary report. N Engl J Med. 1988 Dec;319(25):1676–80. doi: https://doi.org/10.1056/NEJM198812223192527
3. Rosenberg SA, Yannelli JR, Yang JC, Topalian SL, Schwartzentruber DJ, Weber JS, et al. Treatment of patients with metastatic melanoma with autologous tumor-infiltrating lymphocytes and interleukin 2. J Natl Cancer Inst. 1994 Aug;86(15):1159–66. doi: https://doi.org/10.1093/jnci/86.15.1159
4. Rohaan MW, Borch TH, van den Berg JH, Met Ö, Kessels R, Geukes Foppen MH, et al. Tumor-Infiltrating Lymphocyte Therapy or Ipilimumab in Advanced Melanoma. N Engl J Med. 2022 Dec;387(23):2113–25. doi: https://doi.org/10.1056/NEJMoa2210233
5. Joerger M, Calvo E, Laubli H, Lopez J, Alonso G, Corral de la Fuente E, et al. Phase 1 first-in-human dose-escalation study of ANV419 in patients with relapsed/refractory advanced solid tumors. J Immunother Cancer. 2023 Nov;11(11):e007784. doi: https://doi.org/10.1136/jitc-2023-007784
6. Rajabally YA, Attarian S. Chronic inflammatory demyelinating polyneuropathy and malignancy: A systematic review. Muscle Nerve. 2018 Jun;57(6):875–83. doi: https://doi.org/10.1002/mus.26028
7. Dbouk MB, Nafissi S, Ghorbani A.Neurosciences (Riyadh). Chronic inflammatory demyelinating polyneuropathy following malignant melanoma. 2012 Apr;17(2):167-70. Review.
8. Rousseau A, Salachas F, Baccard M, Delattre JY, Sanson M.J Neurooncol. Chronic inflammatory polyneuropathy revealing malignant melanoma. 2005 Feb;71(3):335-6
9. van den Berg B, Walgaard C, Drenthen J, Fokke C, Jacobs BC, van Doorn PA. Guillain-Barré syndrome: pathogenesis, diagnosis, treatment and prognosis. Nat Rev Neurol. 2014 Aug;10(8):469–82. doi: https://doi.org/10.1038/nrneurol.2014.121
10. Orcurto A, Hottinger A, Wolf B, Navarro Rodrigo B, Ochoa de Olza M, Auger A, et al. Guillain-Barré syndrome after adoptive cell therapy with tumor-infiltrating lymphocytes. J Immunother Cancer. 2020 Aug;8(2):e001155. doi: https://doi.org/10.1136/jitc-2020-001155
11. Joseph J, Nathenson MJ, Trinh VA, Malik K, Nowell E, Carter K, et al. Guillain-Barre syndrome observed with adoptive transfer of lymphocytes genetically engineered with an NY-ESO-1 reactive T-cell receptor. J Immunother Cancer. 2019 Nov;7(1):296. doi: https://doi.org/10.1186/s40425-019-0759-x
12. Rosenberg SA, Yang JC, Sherry RM, Kammula US, Hughes MS, Phan GQ, et al. Durable complete responses in heavily pretreated patients with metastatic melanoma using T-cell transfer immunotherapy. Clin Cancer Res. 2011 Jul;17(13):4550–7. doi: https://doi.org/10.1158/1078-0432.CCR-11-0116
13. Farook AM, Priyankara D, Aluwihare C, Mendis A. A Rare Case of Paraneoplastic Guillain-Barré Syndrome in a Patient with Endometrial Cancer. Eur J Case Rep Intern Med. 2023 Nov;10(12):004077. doi: https://doi.org/10.12890/2023_004077
14. Koike H, Sobue G. Paraneoplastic neuropathy. Handb Clin Neurol. 2013;115:713–26. doi: https://doi.org/10.1016/B978-0-444-52902-2.00041-2
15. Lehmann HC, Lopez PH, Zhang G, Ngyuen T, Zhang J, Kieseier BC, et al. Passive immunization with anti-ganglioside antibodies directly inhibits axon regeneration in an animal model. J Neurosci. 2007 Jan;27(1):27–34. doi: https://doi.org/10.1523/JNEUROSCI.4017-06.2007
16. Wanschitz J, Maier H, Lassmann H, Budka H, Berger T. Distinct time pattern of complement activation and cytotoxic T cell response in Guillain-Barré syndrome. Brain. 2003 Sep;126(Pt 9):2034–42. doi: https://doi.org/10.1093/brain/awg207