DOI: https://doi.org/https://doi.org/10.57187/smw.2023.40116
Alveolar echinococcosis is an orphan zoonosis caused by the larval stage of Echinococcus multilocularis, the fox tapeworm, which is endemic across large parts of the northern hemisphere [1]. Infection occurs accidentally through ingestion of E. multilocularis eggs, which hatch in the intestine and migrate as oncospheres mainly to the liver [2]. There, the oncospheres transform into metacestodes and cause a silently progressing hepatic disease with infiltrative growth mimicking a malignant tumour [1]. In some patients, the parasitic tumour invades and occludes bile ducts and blood vessels as well as neighbouring organs [1]. Consequently, obstructive jaundice, cholangitis, secondary Budd-Chiari syndrome and portal vein thrombosis with or without portal hypertension and its complications can occur [3]. Staging of the disease is done through the PNM classification, similarly to TNM staging of solid malignancies [4].
Without adequate treatment, 90% of alveolar echinococcosis patients die within 10 years [5]. A cure is only achieved by R0 resection followed by two years of benzimidazole treatment or, rarely, by liver transplantation [6]. However, since patients frequently present at an advanced stage, R0 resection is possible only in 20–50% of cases [6]. Inoperable alveolar echinococcosis requires long-term treatment with benzimidazoles, which is generally well tolerated and has been shown to be highly effective at stopping disease progression [7]. Parameters associated with disease activity are anti-Em18 (formerly called anti-EmII/3-10) antibody levels and perilesional fluorodeoxyglucose (FDG)-uptake on PET/CT imaging [8–9]. Possible drug-related side effects include myelosuppression, hair loss, gastrointestinal symptoms, elevated liver enzymes and in rare cases acute liver injury [5, 8]. Today, therapy discontinuation can be considered in highly selected inoperable patients [10–12].
Alveolar echinococcosis is of increasing concern in Europe and other endemic areas, where incidences have been rising since the turn of the millennium [13–16]. Different explanations for this phenomenon have been discussed elsewhere [17–18]. One possible explanation is a more susceptible population, as an increase in patients with a concomitant immunosuppression-associated condition has been observed since the 2000s decade [14]. However, the impact of these immunosuppression-associated conditions seems insufficient to explain the steady increase in new cases per year when analysed with a linear model over the past two decades [15]. More likely, the habitat expansion of a growing fox population into European cities leads to an increasingly E. multilocularis egg-contaminated environment in densely populated areas and in turn to increasing infections in humans [19–20].
Biliary obstruction in alveolar echinococcosis is common and can range from slightly increased laboratory cholestasis parameters to overtly jaundiced patients, which constitute about 1/10 of all or 1/5 of symptomatic alveolar echinococcosis patients [21–22]. Usually, symptomatic obstruction of the large- and medium-sized bile ducts leading to jaundice and/or pruritus is considered for treatment with a biliary tract intervention, either an endoscopic retrograde cholangiopancreatography (ERCP) with placement of biliary drains or, when retrograde cannulation of the bile duct is not possible, percutaneous transhepatic cholangiography and drainage (PTCD) or EUS-guided intervention. There are no uniform criteria to determine when a biliary tract intervention should or should not be performed, especially in asymptomatic patients with slight hyperbilirubinaemia. Previous studies have shown the feasibility of biliary tract intervention in patients with biliary obstruction due to alveolar echinococcosis, newly diagnosed or under established benzimidazole treatment [23–25]. Yet these interventions are associated with frequent complications including cholangitis, post-ERCP pancreatitis and/or biliary tract or intestinal perforation and often require multiple interventions over an extended period of time [24–25]. Due to similar experience at our departments, a different approach was sought for newly diagnosed, previously untreated alveolar echinococcosis patients and for the past two decades an increasing number of patients were treated with benzimidazole therapy alone, even in the setting of severe cholestasis. The rationale being that treatment would reduce activity of the parasitic lesion, perilesional inflammation and consequently the pressure on the obstructed bile ducts, ultimately restoring bile flow.
The aim of this study was to retrospectively compare interventional and conservative treatment approaches in patients with newly diagnosed alveolar echinococcosis treated at our departments over the past two decades. Of particular interest were the baseline disease characteristics, including alveolar echinococcosis stage, level of biliary obstruction, bilirubin levels and presence of pruritus as well as treatment-associated outcomes, such as decrease in bilirubin levels, early complications due to biliary tract intervention and late recurrence of cholestasis or occurrence of secondary biliary complications.
A retrospective cohort study of patients with alveolar echinococcosis was undertaken at the two participating study centres. All patients treated for alveolar echinococcosis at the University Hospital Zurich since 01/2000 and at the Cantonal Hospital St Gallen since 01/2010 were reviewed for study inclusion. The chosen dates reflect the implementation of electronic hospital information systems at the participating centres allowing easy identification of patients and optimal data quality. Both centres are tertiary referral centres, therefore patients may have presented and initially been treated at another clinic beforehand. All relevant medical data from external sources, including reports of biliary tract interventions and imaging data, were validated and included in this study. All patients presenting at diagnosis with a bilirubin level ≥32 µmol/l (≥1.5 ULN [Upper Limit of Normal]) and suspected biliary obstruction due to alveolar echinococcosis were included. Patients with hyperbilirubinaemia due to a cause other than alveolar echinococcosis, i.e. liver disease including acute viral, alcoholic, autoimmune or drug-induced hepatitis, decompensated cirrhosis, vascular liver disease and inborn errors of bilirubin metabolism were excluded, as were those with an independent indication for ERCP, such as concomitant common bile duct stones, biliary pancreatitis, cholangitis and biliary obstruction due to biliary or pancreatic malignancy. The cohort was then divided into two groups, depending on whether patients received a biliary tract intervention (ERCP/PTCD) within 14 days of starting benzimidazole therapy (group A) or were treated with benzimidazole therapy alone (group B). Treatment initiation was defined as the date of biliary tract intervention or the start of benzimidazole therapy – whichever occurred first. The follow-up period lasted from treatment initiation until surgical resection, last contact or study closure in March 2022.
Analysis parameters included age at diagnosis and sex, parameters of cholestasis including total bilirubin levels, pruritus and evidence of bile duct dilation on cross-sectional imaging, as well as parameters of biliary tract or cyst infection including CRP levels and reported fever. Collected data regarding medical treatment included initiation of benzimidazole therapy, benzimidazole type and initial maintenance dose. Characteristics of the first biliary tract intervention of interest were modality (ERCP vs PTCD), papillotomy (conventional vs precut), biliary tract manipulation by balloon dilation or brush cytology, potential insertion of drains and their size, prophylactic use of antibiotic therapy.
Diagnosis of alveolar echinococcosis was classified according to WHO criteria as ‘possible’, ‘probable’ or ‘definitive’ [4]. To verify the diagnosis, all patients had serological testing for alveolar echinococcosis consisting of a combination of anti-EgP, anti-EgHF, anti-Em2+ and anti-EmG11 enzyme-linked immunosorbent assay (ELISA), as well as anti-AgB Western blot or EITB [26]. Anti-EmII/3-10 or anti-Em18 antibody ELISA results were used in this study as parameters of parasite viability [8, 10–11]. However, only after publication of the initial study in 2004, showing their usefulness in this regard, were these tests routinely used in our departments. Additionally, if available, PET/CT imaging at any time during follow-up was used to determine whether patients had active disease [9, 27].
Baseline cross-sectional images (contrast-enhanced CT, MRI and PET/CT) at the time of the initial diagnosis were reviewed by a board-certified radiologist specialised in abdominal imaging (SG, 7 years of experience in cross-sectional imaging). The alveolar echinococcosis was staged according to the WHO PNM classification system [4]. In addition, the level of the biliary obstruction caused by the lesion was categorised based on imaging as follows: at the level of the common bile duct, at the level of the hepatic hilum, at the level of the right/left hepatic duct, or segmental/at the level of the secondary biliary radicals.
The primary endpoint was defined as normalisation of bilirubin levels within a 6-month period after treatment initiation. Secondary endpoints were the decrease in total bilirubin levels over a 6-month period after treatment initiation; possible discontinuation of benzimidazole therapy due to side effects; number of biliary tract interventions and duration of initial biliary stent placement; occurrence and type of early biliary complications; occurrence and type of late biliary complications during the entire follow-up period, including type of and time to complication; need for biliary tract interventions during follow-up, including time to intervention; the overall duration of hospital stays for treatment initiation and for biliary complications; curative surgical resection during follow-up and time to surgery.
Early biliary complications were defined as the occurrence of any of the following within 30 days after the biliary tract intervention or the start of benzimidazole therapy: cholangitis, pancreatitis, post-papillotomy bleeding, small bowel perforation, stent dysfunction or death. Late biliary complications were defined as the occurrence of any of the following beyond 30 days after biliary tract intervention or start of benzimidazole therapy: recurrent cholestasis with or without cholangitis, secondary sclerosing cholangitis or biliary cirrhosis.
Endpoints were assessed in an intention-to-treat manner, meaning that associations were sought with the treatment groups defined earlier.
The statistical analysis was performed using the appropriate test in Graphpad Prism 8 (GraphPad Software, Inc.; Boston, MA, USA). To compare unpaired, numerical data the Mann-Whitney U-test was used. For unpaired, categorical data the Fisher’s exact or Chi-square test was applied. Missing data were interpreted as “missing completely at random”. A two-tailed p-value <0.05 was regarded as statistically significant. Additionally, a one-phase decay model was used to determine the average half-life of bilirubin after treatment initiation. The plateau was set to lie between 0 and 21 µmol/l, the upper limit of normal for bilirubin.
Ethical approval for this study was obtained from the local ethics committee in Zurich (Kantonale Ethikkomission Zürich, BASEC 2021-01136). Patients followed up at our clinics provided written informed consent either through participation in the Eastern Switzerland Echinococcosis Cohort Study (BASEC: 2020-00495) – which also includes deceased patients for whom written consent was waived – or by providing General Consent.
This study is reported following the Strengthening the Reporting of Observational Studies in Epidemiology (STROBE) Statement Checklist.
Of patients treated for alveolar echinococcosis, 227 at the University Hospital Zurich and 45 patients at the Cantonal Hospital St Gallen, 33 met inclusion criteria by presenting with bilirubin levels of ≥32 µmol/l (≥1.5 ULN) at first presentation (figure 1). Of these 33, 5 were excluded due to other reasons for hyperbilirubinaemia, including common bile duct stones (n = 3), biliary pancreatitis (n = 1) and decompensated liver cirrhosis (n = 1, figure 1). In 11 patients, biliary tract intervention was performed (group A), while 17 patients were managed conservatively with benzimidazole therapy alone (group B, figure 1). In 19 patients, alveolar echinococcosis was diagnosed as ‘probable’ according to WHO criteria by imaging and positive serology, and in 9 patients by histopathology, corresponding to a ‘definitive’ diagnosis according to WHO criteria.

Figure 1Study flowchart. The chart depicts patients who were screened at both centres. 33 patients had hyperbilirubinaemia at initial presentation. 5 of them were excluded due to other reasons of cholestasis or endoscopic retrograde cholangiography (ERC) indication, leaving 28 patients for final analysis. 11 received a biliary tract intervention (group A), while 17 patients were treated with benzimidazole therapy alone (group B).AE: alveolar echinococcosis; ULN: upper limit of normal.
At baseline, there were no significant differences regarding age at diagnosis, sex, PNM classification, alveolar echinococcosis stage (early vs late), level of biliary obstruction and presence of dilated intrahepatic bile ducts on cross-sectional imaging, bilirubin levels, reported pruritus, CRP levels and reported fever. There was a numerical trend for less advanced local liver involvement (‘P’ classification) and early alveolar echinococcosis stage in group A (table 1). Either positive anti-Em18 (-EmII/3-10) serology or increased FDG uptake on PET/CT indicating active alveolar echinococcosis was seen in all but three patients in group A (table 1). In these three patients, serological markers assessing parasite viability were either not assessed (n = 2) or negative (n = 1); none of the three had had PET/CT scanning.
Table 1This table indicates the baseline characteristics of patients of both groups in regard to alveolar echinococcosis disease, biliary obstruction and infectious complication before initiation of any therapy. There were no significant differences between the groups. For the purpose of comparison, level of biliary obstruction was assessed by review of cross-sectional imaging in both groups.
| Group A (intervention): n = 11 | Group B (conservative): n = 17 | p value (univariate) | ||
| Age at diagnosis, median (range) | 54 years (28–74) | 47 years (23–73) | 0.131 | |
| Female sex, n (%) | 4 (36.4) | 11 (64.7) | 0.246 | |
| PNM classification (n, %) | 0.059 | |||
| P2 | 3 (27.3) | – | ||
| P3 | 4 (45.5) | 9 (52.9) | ||
| P4 | 3 (18.2) | 8 (47.1) | ||
| Missing | 1 (9.1)* | |||
| Alveolar echinococcosis stage (n, %) | 0.055 | |||
| I–II | 2 (18.2) | 0 (0) | ||
| III–IV | 8 (90.9) | 17 (100) | ||
| Missing | 1 (9.1)* | |||
| Level of biliary obstruction (n, %) | 0.493 | |||
| Common bile duct | 2 (18.4) | 1 (5.9) | ||
| Hilar/bifurcation | 7 (63.6) | 13 (76.5) | ||
| Right/left hepatic branch | 1 (9.1) | 3 (17.6) | ||
| Missing | 1 (9.1)* | |||
| Intrahepatic bile duct dilation on imaging, n (%) | 10 (90.9) | 16 (94.1) | 0.999 | |
| Missing: 1 (9.1)* | ||||
| Positive serological and/or PET viability parameters, n (%) | 8 (72.7) | 17 (100) | 0.346 | |
| Missing: 2 (18.4) | ||||
| Bilirubin, median (range) | 110 µmol/l (58–456) | 95 µmol/l (32–311) | 0.279 | |
| Pruritus, n (%) | 6 (54.5) | 11 (64.7) | 0.701 | |
| CRP, median (range) | 10 mg/l (5–28) | 10 mg/l (2–31) | 0.961 | |
| Missing: 1 (9.1) | Missing: 5 (29.4) | |||
| Fever, n (%) | 0 (0) | 0 (0) | 0.999 | |
* Original imaging data in this patient was missing, but the written report mentioned a P3N1 (stage IV) involvement of the liver with a biliary obstruction at the common bile duct and dilated intrahepatic bile ducts.
In group A, nine patients initially underwent endoscopic retrograde cholangiography (ERC) and two patients had PTCD a priori (figure 1, table 2). Patients receiving ERC were treated with sphincterotomy and placement of plastic drains (7–11 Fr) or a metal stent (10 mm) in one patient (table 2). Additional endoluminal balloon dilation and/or brush cytology was performed in five of these patients (table 2). The two patients receiving PTCD had no endoluminal manipulation and drain sizes were 8.5 and 12 Fr (table 2). Antibiotic prophylaxis was administered in 6/11 patients (table 2). Antibiotic agents used were amoxicillin/clavulanic acid and ceftriaxone (table 2). Biliary drainage was in situ for a median of 74.5 days and patients required a median of three interventions (table 3). Four patients had a biliary stent in situ until surgical resection of the alveolar echinococcosis lesion (31 days, 48 days, 63 days) or death (20 days). Two patients required prolonged interventional treatment (8 months and 14 months), of which the latter had the biliary stent in place at last follow-up. In all but one patient of group A, benzimidazole therapy was started in addition during follow-up (table 3). The median time delta was 5 days, but in two was as late as 85 and 140 days after biliary tract intervention (table 3).
Table 2Characteristics of the first biliary tract intervention. Shown are the individual characteristics of biliary tract intervention in patients of the group that had early interventional therapy of the biliary obstruction caused by newly diagnosed alveolar echinococcosis.
| ID | Modality | Endoscopic papillotomy | Brush cytology sampling | Balloon dilation of stenosis | Stent material | Stent size | Antibiotic prophylaxis | Early complication(s) | 
| 1 | ERC | Conv. | Yes | 8 mm | Metal | 10 mm | Ceftriaxone | Ascending cholangitis / pancreatitis | 
| 2 | ERC | Conv. | No | 10 mm | Plastic | 10 Fr | Amoxicillin / clavulanic acid | Ascending cholangitis | 
| 3 | ERC | Conv. | No | 15 mm | Plastic | 7 Fr | Ceftriaxone | Ascending cholangitis / pancreatitis | 
| 4 | PTCD | n.a. | No | No | Plastic | 12 Fr | Amoxicillin / clavulanic acid | Ascending cholangitis | 
| 5 | ERC | Conv. | No | No | Plastic | 11 Fr | No | None | 
| 6 | ERC | Precut | No | No | Plastic | 7 Fr | Ceftriaxone | Ascending cholangitis | 
| 7 | ERC | Conv. | No | No | Plastic | 8.5 Fr | No | None | 
| 8 | ERC | Conv. | Yes | No | Plastic | 10 Fr | No | Ascending cholangitis | 
| 9 | ERC | Conv. | Yes | No | Plastic | 10 Fr | No | None | 
| 10 | PTCD | n.a. | No | No | Plastic | 8.5 Fr | Ceftriaxone | None | 
| 11 | ERC | Conv. | No | No | Plastic | 9 Fr | No | Ascending cholangitis | 
ERC: endoscopic retrograde cholangiography; PTCD: percutaneous transhepatic cholangiography and drainage; n.a.: not applicable.
In group B, all patients received benzimidazole therapy (table 3). The drug of first choice was albendazole in both groups and the median initial daily maintenance dose did not differ significantly between groups (group A 600 mg, group B 400 mg; p=0.870). Only one patient in group B experienced side effects from albendazole treatment, requiring a switch to mebendazole. No patient had severe side effects leading to cessation of benzimidazole altogether (table 3).
Table 3Secondary endpoints. Patients in the biliary tract intervention group exhibited significantly more early complications and were hospitalised for a longer duration for initial treatment. In regard to late complications, there were no statistically significant differences between groups; however the number of patients was small in both groups.
| Group A (intervention): n = 11 | Group B (conservative): n = 17 | p value (univariate) | ||
| Follow-up, median (range) in months | 12 (1–122) | 50 (4–211) | 0.179 | |
| Benzimidazole treatment, n (%) | 10 (90.9) | 17 (100) | n.a. | |
| Time delta to biliary tract intervention, median (range) | 5 days (-4–140) | n.a. | ||
| Discontinuation due to adverse drug reaction, n (%) | 0 (0) | 0 (0) | ||
| Initial biliary tract intervention, n (%) | 11 (100) | 0 (0) | n.a. | |
| Duration of stent placement, median (range) | 74.5 days (8–436) | n.a. | ||
| Number of interventions, median (range) | 3 (1–5) | n.a. | ||
| Early complications, n (%) | 7 (63.6) | 1 (5.9) | 0.002* | |
| Cholangitis, n | 7 | 1b | ||
| Pancreatitis, n | 2 | n.a. | ||
| Death, n | 1a | 0 | ||
| Late complications, n (%) | 4 (36.4) | 4 (23.5) | 0.672 | |
| Recurrent cholestasis, n | 2 | 2 | ||
| Cholangitis, n | 2 | 2c | ||
| Secondary sclerosing cholangitis or biliary cirrhosis, n | 0 | 0 | ||
| Death, n | 0 | 0 | ||
| Biliary tract intervention for late complications, n (%) | 4 (36.4) | 3 (17.6) | 0.381 | |
| Time to intervention | 4, 5, 12, 76 months | 7, 65, 95 months | ||
| Duration of stent placement | 113, 333, 455, 1602 days | 3, 158, 249 days | ||
| Number of interventions, n | 4, 5, 12, 14 | 1, 5, 7 | ||
| Hospitalisation days | ||||
| At initial treatment, median (range) | 18 days (7–107), n = 10 | 7 days (2–15), n = 6 | 0.007* | |
| During follow-up, median (range) | 43 days (13–117), n = 3 | 23.5 days (13–26), n = 4 | 0.486 | |
| Surgical resection, n (%) | 3 (27.3) | 3 (17.6) | 0.368 | |
| Time to surgery | 1, 2, 3 months | 4, 5, 7 months | ||
* statistically significant
a The patient refused life support treatment, including dialysis and ventilation.
b This patient and c one of these two patients with cholangitis could be treated with antibiotic therapy alone.
n.a.: not applicable.
All but one patient in each group achieved the primary endpoint, i.e. normalisation of bilirubin levels within a 6-month period after treatment initiation (p = 0.747, figure 2). The one patient in group A had their biliary drain removed after 8 days due to cholangitis and reinserted after 3 months (figure 2). The one patient in group B received PTCD and shortly thereafter surgical resection of the alveolar echinococcosis lesion at seven months of follow-up (table 3).

Figure 2Bilirubin levels during follow-up.
The figure shows bilirubin levels of both groups over a period of six months following treatment initiation. There was no statistically significant difference between the two groups regarding the primary endpoint. Patients in group A (left) exhibited fast resolution of hyperbilirubinaemia with a calculated half-life of 1.3 weeks. * This patient’s biliary drain was removed after eight days due to cholangitis and reinserted after 3 months.
Patients in group B (right) had a slower resolution of hyperbilirubinaemia with a calculated half-life of 3.0 weeks. However, all but one patient in this group achieved the primary endpoint.
The follow-up period at a study centre – as defined for this study – of patients in group A reached a median of 12 months and that of patients in group B a median of 50 months (table 3). In group A, 10/11 patients (91%) showed fast resolution of hyperbilirubinaemia, with a calculated bilirubin half-life of 1.3 weeks ≈ 9 days (figure 2). Early biliary complications were reported in 7/11 patients (64%), seven had cholangitis within 30 days of intervention and in two post-ERCP pancreatitis was additionally reported (tables 2 and 3). Concordantly, 10/11 patients (91%) were hospitalised at treatment initiation and the median duration of hospital stay was significantly longer compared to group B (table 3). The one patient who did not receive benzimidazole therapy at all experienced cholangitis with septic shock and multiorgan failure following ERC and required ICU admission. However, he refused life support with dialysis and mechanical ventilation and ultimately died within one month (table 3).
Patients in group B showed a slower resolution of hyperbilirubinaemia, with a calculated bilirubin half-life of 3.0 weeks ≈ 21 days (figure 2). A significant regression of intrahepatic bile duct dilation could be observed on magnetic resonance cholangiopancreatography (MRCP), when performed (figure 3). In this group, only one early biliary complication was reported (table 3). This patient had cholangitis that resolved with antibiotic therapy alone (table 3). Only 6/17 patients (35%) were hospitalised at treatment initiation and the median duration of the hospital stay was significantly shorter when compared to group B (table 3). Two patients in this group received surgical resection of the alveolar echinococcosis lesion after resolution of hyperbilirubinaemia after four and five months of follow-up (table 3).

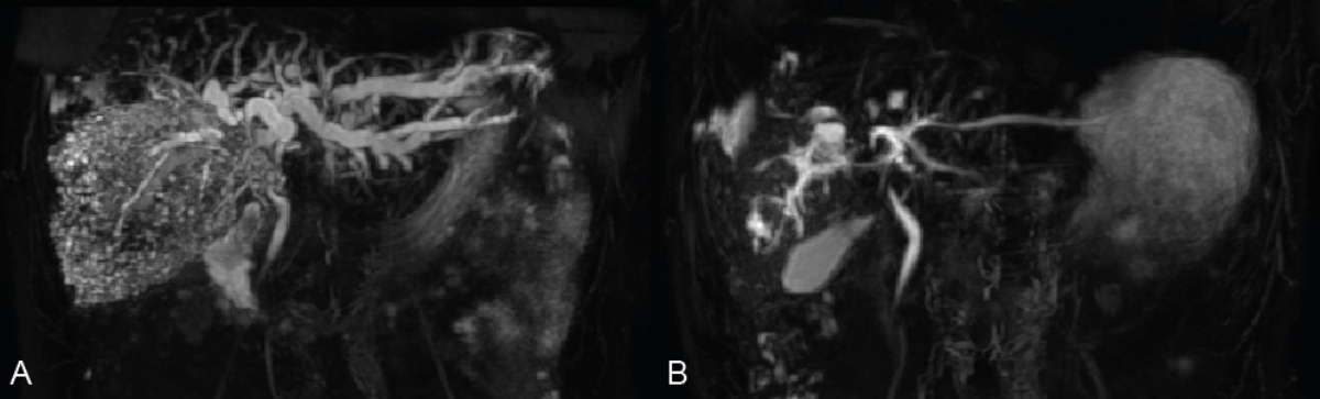
Figure 3Representative magnetic resonance cholangiopancreatography (MRCP) of a patient treated with benzimidazole therapy alone (group B). The left MRCP image indicates the status before benzimidazole initiation (A) while the right panel illustrates the biliary tract following six months of therapy (B). Note the striking decrease in bile duct dilation. Bilirubin levels were 227 µmol/l at initial presentation and had completely resolved (10 µmol/l) by six months.
Late biliary complications, consisting of recurrent cholestasis or cholangitis, occurred in four patients of group A (36%) and four patients of group B (24%, table 3). In group A, three patients received a repeat biliary tract intervention during long-term follow-up and required hospitalisation with a median duration of 43 days (table 3). Three patients in group B (18%) required a biliary tract intervention during follow-up (table 3). In two patients, cholangitis could be treated by antibiotic therapy alone. Four patients required hospitalisation with a median duration of 23.5 days (table 3). In both groups, biliary tract intervention during follow-up required long-term placement of biliary drains (table 3). Secondary sclerosing cholangitis, biliary cirrhosis or death during the defined follow-up period for late biliary complications was not reported in either group (table 3).
The primary aim of the study was to compare two different approaches – conservative vs interventional – for the treatment of biliary obstruction in newly diagnosed alveolar echinococcosis patients. At baseline, the two groups did not show significant differences in disease severity, in particular regarding the extent of cholestasis. In both groups, the primary endpoint – normalisation of the bilirubin level within a 6-month period after treatment initiation – could be achieved in all but one patient each, which was not statistically different. While symptomatic hyperbilirubinaemia resolved faster after biliary tract intervention (t1/2 1.3 vs 3.0 weeks), there was also an association with more early, intervention-associated complications, mainly cholangitis and pancreatitis. Consequently, these patients required longer hospitalisation at treatment initiation (median 18 days) and one patient died due to the resulting septic shock with multiorgan failure. On the other hand, patients treated conservatively (benzimidazole therapy alone) demonstrated slower regression of hyperbilirubinaemia but only a single early biliary complication. Late biliary complications did not occur more frequently compared to the intervention group.
The major limitations of this study include its retrospective design, which entails comparison on the basis of non-uniform decision criteria, as well as the small sample size and long inclusion period. There is also the risk of selection bias in the study’s patient population. While success with conservative management in individual alveolar echinococcosis patients led to abandonment of the interventional approach in most patients who were diagnosed and treated at the two participating tertiary referral hospitals during the last two decades, a substantial number of patients (7) had their initial biliary tract intervention at secondary care hospitals and were referred shortly thereafter. It cannot be excluded that alveolar echinococcosis patients with biliary obstruction at initial presentation and an uneventful course after biliary tract intervention were not referred by these secondary care hospitals. However, this is highly unlikely as the two centres involved in the study are the reference centres for alveolar echinococcosis cases in Eastern Switzerland.
Furthermore, significant changes have been made in patient management during biliary tract intervention over the observed period. In particular, the prophylactic use of NSAIDs for post-ERCP pancreatitis was established [28]. The date of biliary tract intervention, however, was not relevant in group A, as these patients were spread evenly across the observation period with three having had interventions as recently as 2020 and 2021. Unfortunately, the use of NSAID prophylaxis could not be assessed due to inconsistent reporting.
There are only a few studies that have reported the complication rate after biliary intervention in alveolar echinococcosis patients. In a small German series of seven patients treated with ERC, two (29%) developed post-ERC cholangitis [24]. However, only two patients in this group had had no prior ERC [24]. Similarly, in a European survey, complications were reported in 22 of 129 (17%) biliary tract interventions [25]. However, these 129 interventions were carried out in only 38 patients who hence received repeated interventions [25].
Further limitations to the methodology of this study include the lack of assessment of pruritic symptoms during follow-up, especially in the conservative treatment group. This was due to the inconsistent reporting of such symptoms by physicians. Our clinical experience is that patients’ response to these symptoms correlate with the decrease in bilirubin levels seen following treatment initiation, with most patients reporting a substantial improvement of pruritus within 4 weeks. Another limitation is the assessment of the level of biliary obstruction by review of cross-sectional imaging, which may differ slightly compared to retrograde cholangiography. The rationale here was to have a method that allows comparison between the groups. Inherently, radiologists report the level of biliary obstruction according to the antegrade flow of bile, while endoscopists interpret the retrograde filling of the bile ducts with contrast medium during ERC.
In conclusion, the study shows that biliary obstruction in patients with newly diagnosed alveolar echinococcosis can be treated effectively with benzimidazole therapy alone. This approach was associated with fewer early, treatment-associated biliary complications compared to upfront biliary tract intervention, whereas the frequency of late biliary complications did not differ between groups. While true treatment superiority with regard to efficacy and safety can only be assessed in a randomised controlled trial, such data is unlikely to be procured in the near future due to the low incidence of alveolar echinococcosis. Based on our preliminary data, we recommend reserving biliary tract intervention for patients who do not respond sufficiently to benzimidazole therapy alone within six months or develop recurrent cholestasis / cholangitis while already on established benzimidazole therapy.
Data will be made available, if approved by the Ethics Committee Zurich (contact via info.kek[at]kek.zh.ch).
This project was supported by the Fontana Foundation.
Author contributions: AD and BM conceived the study. AD obtained ethical approval, designed and supervised the study. SM and AD retrieved retrospective data, performed data analysis and wrote the manuscript together. SG reviewed cross-sectional imaging of patients. CMzS recruited and consulted alveolar echinococcosis patients for the Zurich Echinococcosis Cohort Study. FG supervised and interpreted alveolar echinococcosis serology. SG, FG, CMzS, FRM, LH, NS, PD, CS, AEK, CG, CSR, DS and BM critically revised the manuscript for important intellectual content. All authors approved the final version of the manuscript.
This project was supported by the Fontana Foundation (fontana-foundation.orgx; no specific grant number; recipient BM), a non-profit organization that supports echinococcosis research in Switzerland. The funders had no role in study design, data collection and analysis, decision to publish, or preparation of the manuscript.
All authors have completed and submitted the International Committee of Medical Journal Editors form for disclosure of potential conflicts of interest. No potential conflict of interest related to the content of this manuscript was disclosed.
1. Eckert J, Deplazes P. Biological, epidemiological, and clinical aspects of echinococcosis, a zoonosis of increasing concern. Clinical microbiology reviews. 2004;17(1):107-35. Epub 2004/01/17. doi: . PubMed PMID: 14726458; PubMed Central PMCID: PMCPMC321468. 10.1128/CMR.17.1.107-135.2004
2. Romig T, Deplazes P, Jenkins D, Giraudoux P, Massolo A, Craig PS, et al. Ecology and Life Cycle Patterns of Echinococcus Species. Adv Parasitol. 2017;95:213-314. Epub 20170106. doi: . PubMed PMID: 28131364.
3. Kern P, Menezes da Silva A, Akhan O, Müllhaupt B, Vizcaychipi KA, Budke C, et al. The Echinococcoses: Diagnosis, Clinical Management and Burden of Disease. Adv Parasitol. 2017;96:259–369.
4. Kern P, Wen H, Sato N, Vuitton DA, Gruener B, Shao Y, et al. WHO classification of alveolar echinococcosis: principles and application. Parasitol Int. 2006;55 Suppl:S283–7.
5. Ammann RW, Hoffmann AF, Eckert J. [Swiss study of chemotherapy of alveolar echinococcosis—review of a 20-year clinical research project]. Schweiz Med Wochenschr. 1999 Feb;129(8):323–32.
6. Brunetti E, Kern P, Vuitton DA; Writing Panel for the WHO-IWGE. Expert consensus for the diagnosis and treatment of cystic and alveolar echinococcosis in humans. Acta Trop. 2010 Apr;114(1):1–16.
7. Torgerson PR, Schweiger A, Deplazes P, Pohar M, Reichen J, Ammann RW, et al. Alveolar echinococcosis: from a deadly disease to a well-controlled infection. Relative survival and economic analysis in Switzerland over the last 35 years. J Hepatol. 2008 Jul;49(1):72–7.
8. Ammann RW, Renner EC, Gottstein B, Grimm F, Eckert J, Renner EL; Swiss Echinococcosis Study Group. Immunosurveillance of alveolar echinococcosis by specific humoral and cellular immune tests: long-term analysis of the Swiss chemotherapy trial (1976-2001). J Hepatol. 2004 Oct;41(4):551–9.
9. Reuter S, Schirrmeister H, Kratzer W, Dreweck C, Reske SN, Kern P. Pericystic metabolic activity in alveolar echinococcosis: assessment and follow-up by positron emission tomography. Clin Infect Dis. 1999 Nov;29(5):1157–63.
10. Ammann RW, Stumpe KD, Grimm F, Deplazes P, Huber S, Bertogg K, et al. Outcome after Discontinuing Long-Term Benzimidazole Treatment in 11 Patients with Non-resectable Alveolar Echinococcosis with Negative FDG-PET/CT and Anti-EmII/3-10 Serology. PLoS neglected tropical diseases. 2015;9(9):e0003964. Epub 2015/09/22. doi: . PubMed PMID: 26389799; PubMed Central PMCID: PMCPMC4577091.
11. Deibel A, Stocker D, Meyer Zu Schwabedissen C, Husmann L, Kronenberg PA, Grimm F, et al. Evaluation of a structured treatment discontinuation in patients with inoperable alveolar echinococcosis on long-term benzimidazole therapy: A retrospective cohort study. PLoS neglected tropical diseases. 2022;16(1):e0010146. Epub 20220128. doi: . PubMed PMID: 35089933; PubMed Central PMCID: PMCPMC8827419.
12. Caoduro C, Porot C, Vuitton DA, Bresson-Hadni S, Grenouillet F, Richou C, et al. The role of delayed 18F-FDG PET imaging in the follow-up of patients with alveolar echinococcosis. Journal of nuclear medicine : official publication, Society of Nuclear Medicine. 2013;54(3):358-63. Epub 2013/01/11. doi: . PubMed PMID: 23303963.
13. Schweiger A, Ammann RW, Candinas D, Clavien PA, Eckert J, Gottstein B, et al. Human alveolar echinococcosis after fox population increase, Switzerland. Emerging infectious diseases. 2007;13(6):878-82. Epub 2007/06/08. doi: . PubMed PMID: 17553227; PubMed Central PMCID: PMCPMC2792858.
14. Chauchet A, Grenouillet F, Knapp J, Richou C, Delabrousse E, Dentan C, et al.; FrancEchino Network. Increased incidence and characteristics of alveolar echinococcosis in patients with immunosuppression-associated conditions. Clin Infect Dis. 2014 Oct;59(8):1095–104.
15. Deibel A, Meyer zu Schwabedissen C, Husmann L, Grimm F, Deplazes P, Reiner CS, et al. Characteristics and Clinical Course of Alveolar Echinococcosis in Patients with Immunosuppression-Associated Conditions: A Retrospective Cohort Study. Pathogens. 2022;11(4):441. PubMed PMID: doi:.
16. Paternoster G, Boo G, Wang C, Minbaeva G, Usubalieva J, Raimkulov KM, et al. Epidemic cystic and alveolar echinococcosis in Kyrgyzstan: an analysis of national surveillance data. Lancet Glob Health. 2020 Apr;8(4):e603–11. 10.1016/S2214-109X(20)30038-3
17. Gottstein B, Deplazes P. Alveolar echinococcosis: what triggers emergence in North America, Central Europe and Asia? Curr Opin Infect Dis. 2021 Oct;34(5):440–6. 10.1097/QCO.0000000000000765
18. Bresson-Hadni S, Spahr L, Chappuis F. Hepatic Alveolar Echinococcosis. Seminars in liver disease. 2021;41(3):393-408. Epub 20210623. doi: . PubMed PMID: 34161992.
19. Deplazes P, Hegglin D, Gloor S, Romig T. Wilderness in the city: the urbanization of Echinococcus multilocularis. Trends Parasitol. 2004 Feb;20(2):77–84.
20. Romig T, Thoma D, Weible AK. Echinococcus multilocularis—a zoonosis of anthropogenic environments? J Helminthol. 2006 Jun;80(2):207–12. 10.1079/JOH2006347
21. Grüner B, Kern P, Mayer B, Gräter T, Hillenbrand A, Barth TE, et al. Comprehensive diagnosis and treatment of alveolar echinococcosis: A single-center, long-term observational study of 312 patients in Germany. GMS infectious diseases. 2017;5:Doc01. Epub 2017/01/06. doi: . PubMed PMID: 30671323; PubMed Central PMCID: PMCPMC6301735.
22. Piarroux M, Piarroux R, Giorgi R, Knapp J, Bardonnet K, Sudre B, et al. Clinical features and evolution of alveolar echinococcosis in France from 1982 to 2007: results of a survey in 387 patients. J Hepatol. 2011 Nov;55(5):1025–33.
23. Ozturk G, Polat KY, Yildirgan MI, Aydinli B, Atamanalp SS, Aydin U. Endoscopic retrograde cholangiopancreatography in hepatic alveolar echinococcosis. J Gastroenterol Hepatol. 2009 Aug;24(8):1365–9.
24. Stojkovic M, Junghanss T, Veeser M, Weber TF, Sauer P. Endoscopic Treatment of Biliary Stenosis in Patients with Alveolar Echinococcosis--Report of 7 Consecutive Patients with Serial ERC Approach. PLoS neglected tropical diseases. 2016;10(2):e0004278. Epub 2016/02/26. doi: . PubMed PMID: 26910822; PubMed Central PMCID: PMCPMC4766234.
25. Ambregna S, Koch S, Sulz MC, Grüner B, Öztürk S, Chevaux JB, et al. A European survey of perendoscopic treatment of biliary complications in patients with alveolar echinococcosis. Expert Rev Anti Infect Ther. 2017 Jan;15(1):79–88.
26. Schweiger A, Grimm F, Tanner I, Müllhaupt B, Bertogg K, Müller N, et al. Serological diagnosis of echinococcosis: the diagnostic potential of native antigens. Infection. 2012 Apr;40(2):139–52.
27. Reuter S, Grüner B, Buck AK, Blumstein N, Kern P, Reske SN. Long-term follow-up of metabolic activity in human alveolar echinococcosis using FDG-PET. Nucl Med (Stuttg). 2008;47(4):147–52. 10.3413/nukmed-0139
28. Dumonceau JM, Tringali A, Papanikolaou IS, Blero D, Mangiavillano B, Schmidt A, et al. Endoscopic biliary stenting: indications, choice of stents, and results: European Society of Gastrointestinal Endoscopy (ESGE) Clinical Guideline - Updated October 2017. Endoscopy. 2018;50(9):910-30. Epub 20180807. doi: . PubMed PMID: 30086596.