DOI: https://doi.org/https://doi.org/10.57187/smw.2023.40099
This document represents the first version of the Swiss Association for the Study of the Liver (SASL) Expert Opinion Statement for the assessment of focal liver lesions in non-cirrhotic liver. Recommendations are based on the results of original studies and selected reviews, the European Association for the Study of the Liver (EASL) Clinical Practice Guidelines on the management of benign liver tumours and cystic liver diseases (www.easl.eu) [1, 2], the European Federation of Societies for Ultrasound in Medicine and Biology (EFSUMB) (http://www.efsumb.org) and the World Federation For Ultrasound in Medicine and Biology (WFUMB) (https://wfumb.info/guidelines) guidelines and good clinical practice recommendations for contrast enhanced ultrasound (CEUS) in the liver [3, 4], as well as the American College of Radiology (ACR) appropriateness criteria for initial liver lesion characterisation [5]. Sonographic evaluation of the liver is an integral part of the training of Swiss gastroenterologists and hepatologists; therefore, this expert opinion statement will emphasise the application of conventional and CEUS in focal liver lesions.
Focal liver lesions are often diagnosed in asymptomatic and symptomatic patients as incidental lesions (incidentaloma) or as suspected liver tumours. Widespread imaging of the liver is performed by ultrasound (US), CEUS, contrast-enhanced computer tomography (CT) and magnetic resonance imaging (MRI). In general, the use of diagnostic imaging has increased significantly and has contributed to rising healthcare costs [6]. These recommendations for the workup of focal liver lesions aim at state-of-the-art and cost-efficient diagnostic work up, as well as reducing non-indicated imaging with ionising radiation and futile biopsies. This document focusses on the evaluation of focal liver lesions in the non-cirrhotic liver. The management of focal liver lesions in cirrhotic liver is not discussed in this document and is covered partially in the SASL expert opinion statement on hepatocellular carcinoma [7].
Focal liver lesions are common, with a prevalence of 5–18% in imaging series [8, 9] and 20% in autopsy series [10]. Most focal liver lesions are of a benign nature (i.e. liver cysts, hepatic haemangioma, focal nodular hyperplasia, focal (non-)steatosis) and do not require biopsy, treatment or follow-up. However, it is crucial to identify pre-malignant as well as malignant focal liver lesions early and reliably to offer appropriate treatment, such as curative resection or ablation. The a priori probability of malignant nature of focal liver lesions is dependent on the clinical context (i.e. presence of chronic liver disease with increased risk of hepatocellular carcinoma and cholangiocarcinoma) and the patient’s medical history (i.e. current or previous malignancy with increased risk of liver metastasis). After obtaining a detailed patient history and a physical examination, patients with focal liver lesions should be assessed for the presence of risk factors associated with malignancy (table 1) [11]. In addition, certain drugs are associated with lesions such as hepatocellular adenoma (e.g. oral contraceptives, androgens) and hepatocellular carcinoma (e.g. androgens). Depending on the clinical context, assessment of serum tumour markers, such as alpha-fetoprotein (AFP) in hepatocellular carcinoma, carcinoembryonic antigen (CEA) in liver metastasis and carbohydrate antigen (CA) 19-9 with CEA in cholangiocarcinoma, can be helpful (i.e. chronic hepatitis B, also non-alcoholic steatohepatitis [MAFLD] / non-alcoholic steatohepatitis [NASH] without cirrhosis or patients with a history of a previous malignancy such as germ-cell tumour).
Table 1Risk factors for potential malignancy of focal liver lesions (modified according to [11]).
| Age >40 years |
| Known current or past malignancy |
| Presence of liver cirrhosis or chronic liver disease (especially in advanced fibrosis (pathological elastography (≥8 kPa) or FIB-4 score ≥1.3), chronic hepatitis B virus infection, MAFLD/NASH, haemochromatosis) |
| Unintentional weight loss, fever or night sweats |
| Newly (especially if not documented on previous imaging) detected focal liver lesion(s) |
| Documented growth of focal liver lesion(s) |
| Current or past use of androgens (e.g. testosterone, oxymetholone, danazol) |
| Increased serum tumour markers (e.g. alpha-fetoprotein, CA19-9, CEA) |
| Family history of malignancy |
CA19-9: carbohydrate antigen 19-9; CEA: carcinoembryonic antigen; MAFLD: metabolic associated fatty liver disease; NASH: non-alcoholic steatohepatitis
Bacterial and parasitic infections also should be considered when evaluating focal liver lesions. The presence of fever, night sweats, leukocytosis or elevated C-reactive protein can be suggestive of a liver abscess. Complex cystic lesions and calcifications can be findings related to echinococcosis, which require serological testing.
In combination with the following imaging characteristics and/or histology, accurate diagnosis is possible in almost all focal liver lesions.
Focal liver lesions should be documented regarding their number, size, shape, localisation and probable mass effect on the surrounding liver parenchyma, vasculature and bile ducts. Depending on the imaging modality and the use of contrast agents, further characteristics of a lesion, such as echogenicity, homogeneous or heterogeneous aspect and perfusion patterns in relation to the surrounding liver parenchyma (i.e. arterial enhancement and venous washout), are crucial for the differential diagnosis and must be documented.
Conventional ultrasound is the most frequently used first imaging modality of the liver. In one of the largest studies performed, the prevalence of benign focal liver lesions in 45,319 hospitalised patients was 15.1%, with 6.3% accounting for focal fatty sparing, 5.8% cysts, 3.3% haemangioma, 0.2% focal nodular hyperplasia and 0.04% hepatocellular adenoma [12]. In patients with focal liver lesions of unclear dignity, particularly in patients with risk factors (table 1), further contrast-enhanced imaging is needed. Conventional ultrasound should always include a Doppler to rule out an intrahepatic or extrahepatic congenital portosystemic shunt. Nodules in an otherwise healthy liver are known to be a common mode of presentation of these vascular malformations [13].
Contrast-enhanced ultrasound (CEUS) is a cost-effective imaging modality that avoids ionising radiation and takes advantage of a non-nephrotoxic contrast agent with an excellent safety profile (table 2).
Table 2Comparison of contrast-enhanced imaging modalities.
| CEUS | CT | MRI | |
| Severe anaphylactoid reactions | 0.01% | 0.04% | 0.01% |
| Paravasation | No complication | Complication | Complication |
| Thyroid affection | No | Rare | No |
| Kidney affection | No | Possible | No |
| Ionising radiation | No | Yes | No |
| Costs | <300 CHF | 700 CHF | 900 CHF |
| Accuracy | CEUS = MRI | CEUS, MRI > CT | MRI = CEUS |
| Diagnostic delay after ultrasound | No | Yes | Yes |
| Examination time (netto) | 5 min. | 4 min. | 35 min. |
| Contrast volume application | 1−2.5 ml | 100−120 ml | 10−20 ml |
| Examination conditions | Variable | Excellent | Excellent |
| Interobserver variation | Strong | Low | Low |
A contrast agent is intravenously injected (i.e. SonoVue®), and the focal liver lesion is studied for contrast enhancement and/or washout in comparison to the surrounding liver parenchyma (figure 1 and 2, table 3). A detailed description of the technical aspects and clinical performance of CEUS has been published [14]. In comparison to CT and MRI the CEUS contrast agent is a pure blood pool agent which remains strictly intravascular whereas the majority of contrast agents for CT and MRI show a late distribution of the contrast agent from the blood pool into the extravascular space. CEUS can evaluate focal liver lesions in real time and in higher temporal resolution than other imaging modalities [3, 15–17]. Appropriate experience of the operator is required for CEUS performance and interpretation.

Figure 1Proposed diagnostic algorithm for work-up of focal liver lesions.
cCT: contrast-enhanced computed tomography; cMRI: contrast-enhanced magnetic resonance imaging; FLL: focal liver lesion; FNH: focal nodular hyperplasia; HCA: hepatocellular adenoma; HCC: hepatocellular carcinoma; CCC: cholangiocellular carcinoma.
1 Including also pathological liver elastography ≥8 kPa or FIB-4 score ≥1.3.
2 CEUS with unclear finding and with risk factors or multiple lesions → cMRI; CEUS with unclear finding and no risk factors → Follow up 3 and/or 6 months or cMRI.
3 cMRI preferred; cCT for patients with claustrophobia, inability to hold breath and MRI contraindications.
4 Abscess (due to inflammation/hyperaemia) and acute hematoma (by compressing portal veins) show peripheral contrast enhancement.
5 Necrotic metastases often have a peripheral contrast enhancement due to vascularisation and can be detected more accurately by CEUS.

Figure 2aSchematic CEUS enhancement patterns of selected benign focal liver lesions.
1. CEUS in regional fatty sparing and focal steatosis of the liver: Homogenous contrast enhancement in all phases similar to the surrounding liver tissue.
2. CEUS in liver cyst: lack of contrast enhancement in all phases.
3. CEUS in echinoccocal cyst: lack of contrast enhancement in all phases and possible additional calcifications.
4. CEUS in hepatic abscess: arterial phase with well delineated avascular/necrotic area with surrounding hyperenhancement (hyperaemia).
5. CEUS in hemangioma: Peripheal nodular arterial contrast enhancement with (slow or fast) centripetal contrast enhancement. Complete or incomplete filing in the portal-venous or late venous phase. Hyper- or isoenhanced in the late venous phase.
6. CEUS in focal nodular hyperplasia: centrifugal rapid arterial contrast enhancement (also called “spoke wheel pattern”) or decentral arterial contrast enhancement. Portal-venous phase and late-venous phase with hyper- or isoenhancement, occasionally with visible central (non-perfused) scar.

Figure 2bSchematic CEUS enhancement patterns of selected malignant focal liver lesions.
7. CEUS in hypervascular, hypovascular and avascular in liver metastases with early wash-out.
8. CEUS in hypervascular or hypovascular hepatocellular carcinoma with late wash-out.
Table 3Contrast enhanced ultrasound: contrast phases after intravenous injection of Sonovue®.
| Contrast phases | Start (seconds p.i.) | End (seconds p.i.) |
| Arterial phase(AP) | 10−20 | 30−40 |
| Portal venous phase (PVP) | 30−45 | 120 |
| Late venous phase (LVP) | >120 | Up to 360−480 |
Obesity, meteorism and subdiaphragmal localisation of focal liver lesions can significantly limit CEUS performance. As an imaging modality in pregnant patients, CEUS has been studied in case control studies [18, 19]. However, the contrast agent Sonovue® is not currently approved in pregnant patients (off label use also in children); thus, MRI without a contrast agent is the preferred imaging modality.
Utilising X-rays, CT is the most commonly used cross-sectional imaging tool. Organs can be depicted without superpositions on multidetector spiral-CT scanners by capturing entire volumes during a single breath hold. When performed for the evaluation of liver lesions, a CT protocol must include at least two phases for assessing the dynamic enhancement pattern. These phases include the hepatic arterial phase (30–40 s post injection) and the portal venous phase (50–90 s post injectionem). In addition, an initial unenhanced scan and a delayed phase (3–10 min post injectionem) can be acquired. The use of iodinated intravenous contrast increases soft tissue contrast and is an essential component of detection and characterisation of focal liver lesions. A disadvantage of CT is the limitation for the use of intravenous contrast in patients with reduced renal function or prior allergic reaction to the contrast agent.
Due to its superior soft-tissue contrast, MRI offers some advantages compared to CT for detection and characterisation of focal liver lesions in particular in patients with liver cirrhosis [20]. Multiphasic dynamic imaging using non-specific (extracellular) or liver-specific (hepatobiliary) gadolinium-based contrast agents allows for a definitive diagnosis in most cases avoiding invasive procedures such as liver biopsy. The liver-specific hepatobiliary contrast agents (e.g. gadobenate dimeglumine, gadolinum-BOPTA, gadoxetic acid, gadolinum-EOB-DTPA), are eliminated through both renal and hepatic excretion pathways and therefore provide both early perfusion information and later hepatocyte-selective information [21]. The major advantage of gadolinum-EOB-DTPA over gadolinum-BOPTA is the earlier time point for imaging the hepatobiliary phase (20 min after injection vs. 90 min to 120 min). However, with gadolinum-BOPTA there is the possibility to analyze delayed phase equilibrium images, while this is not possible with gadolinum-EOB-DTPA due to the rapid uptake by the hepatocytes as early as 2 minutes after injection (transitional phase). Thanks to advances to shorten scan time, reduced breath-holding capacity is becoming less of an issue for MRI. Patients with cardiac pacemakers, neurostimulators or metallic foreign bodies still have limited access to MRI.
The most common focal liver lesions are either areas with increased (focal steatosis) or decreased steatosis (focal non-steatosis). Focal fatty-sparing areas are typically located in the gallbladder fossa, the periportal region and the segment of the ligamentum falciforme (figure 3A). Similar locations are observed for focal infiltrations of steatosis (figure 3D–F) [22, 23]. These lesions have typically a landscape-shaped appearance but can also mimic solid tumours (so-called pseudotumour). The lesions can be diffuse, focal or multifocal and are often located either in the perivascular or subcapsular regions [24]. Conventional ultrasound imaging with typical landscape-shaped findings in typical above-mentioned localisation without mass effect on vessels can easily diagnose these pseudolesions (hypoechoic in fatty-sparing and hyperechoic in the focal infiltration of fat) [23, 24]. In cases of atypical appearance and localisation (figures 3E, 3F), particularly in patients with risk factors (table 1), CEUS is accurate in most cases [3]. Perfusion of such lesions is isoechoic (figure 3C) in comparison to the surrounding liver tissue and neither hyperenhancement nor washout can be documented on CEUS imaging. In unclear situations contrast-enhanced CT or MRI should be used as next non-invasive imaging modality [22–25].

Figure 3Regional fatty sparing and focal steatosis on ultrasound and CEUS. A Focal sparing periportal in a fatty liver on US. B Focal sparing subcapsular on US C without wash-out (= isoenhancing) in the late venous phase. D Focal steatosis in a female patient. E Focal inhomogeneous steatosis in a young patient with cystic fibrosis. F Focal steatosis in a young female patient.
On CT, steatosis will result in decreased (hypodense) attenuation on non-contrast scans, with normal liver attenuation of 50–57 Hounsfield unit (HU) remaining. The attenuation will remain hypodense compared to normal liver and the spleen during the portal venous phase at about 70 seconds. However, MRI should be used as the next non-invasive imaging modality in unclear cases due to its superior ability to detect fat after conventional ultrasound / CEUS (figure 4). MRI can demonstrate microscopic fat content resulting in signal intensity drop from in-phase to opposed-phase imaging. MRI even allows to quantify the fat content [26].

Figure 4Regional fatty sparing and focal steatosis on MRI. A MRI T1 weighted image of a case with focal sparing (arrow) of steatosis in the porta hepatis with B signal drop in the remaining liver on opposed phase images and persisting high signal in the spared area. C On fat only images, the fatty liver shows signal with the spared area appearing dark, while on D the water only image, the spared area is brighter than the steatotic surrounding liver.
The prevalence of liver cysts ranges from 2.5% to 18% with a diameter from <1 cm up to 30 cm. Liver cysts should be differentiated in simple and complex cysts as well as infectious and non-infectious cysts [9, 27].
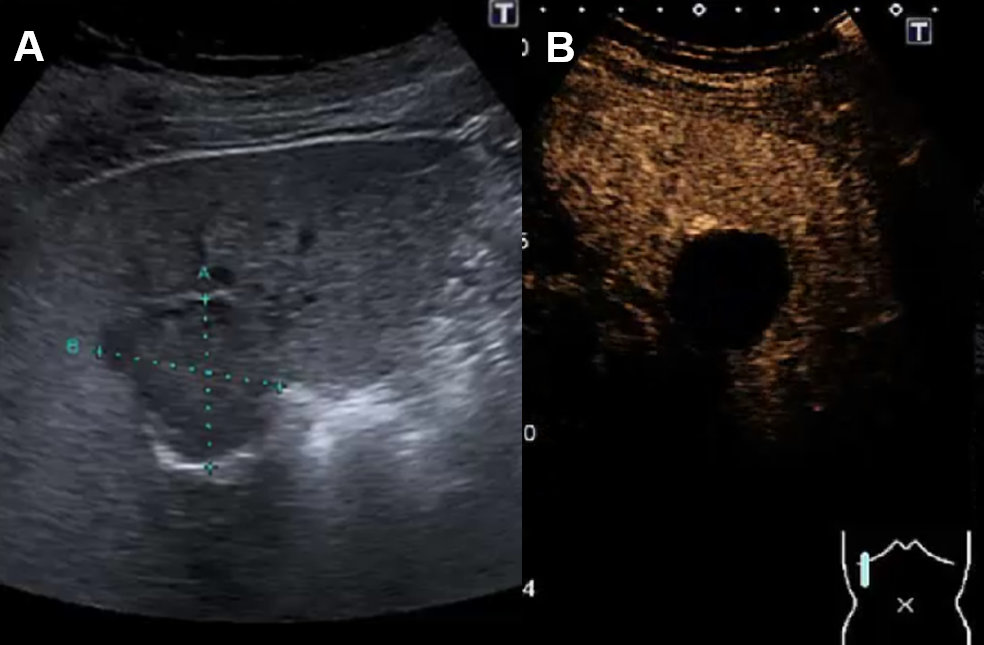
Conventional ultrasound is the first imaging modality to demonstrate fluid-containing lesion with smooth thin wall with a sensitivity and specificity of 90% [2, 9]. Simple liver cysts are non-enhancing on CEUS [3]. Septation, mural irregularity/mural nodularity or echoic internal material define a complex liver cyst needing further investigation. Vascular perfusion with septa or solid enhancing noduli of the liver cyst can be demonstrate or excluded by CEUS (figure 5). Alternatively, CT or MRI are very sensitive imaging modalities in this scenario.

Figure 5Liver cyst on ultrasound and CEUS. A Ultrasound with cystic lesion with echogenic content. B CEUS without contrast-enhancement demasking a complex hepatic cyst.
Hepatic cysts, particularly larger than 1 cm, can generally be characterised on CT by their homogeneous low attenuation (–10 to +20 HU), sharp margination and lack of enhancement. In small lesions, attenuation measurements can be inaccurate. On MRI imaging (figure 6), a hepatic cyst follows the signal intensity of water on all sequences with homogeneous low signal intensity on T1-weighed T(1w) images, increased signal intensity, greater than other T2 hyperintense liver lesions (e.g. haemangiomas) on T2-weighed (T2w) images, and a lack of enhancement after the administration of contrast agents. MRI is superior in detecting and characterising complex cysts. Complex cysts in the liver should be characterized by MRI, particularly when suspected to be haemorrhagic, to differentiate complex liver cysts from mucinous cystic neoplasms. A difficult issue remains to differentiate complex cysts from biliary mucinous cystic neoplasms and cystic metastases (e.g. in ovarian cancer and gastrointestinal stromal tumours). Therefore, a low density on CT is not definitive for a simple cyst in certain patients with underlying malignancy [28]. Rupture, bleeding and superinfection represent rare complications in liver cysts. Definitive diagnosis of simple cysts and complex liver cysts needing interventions can be performed by conventional ultrasound.

Figure 6Liver cyst on MRI and CT. Typical liver cyst in segment III with A hyperintense signal on T2 weighted MR image, B hypointense signal on T1 weighted MR image, and C lack of enhancement on portal venous MR. D On CT the cyst appears sharply demarcated with fluid attenuation and lack of enhancement.
There are two main types of echinococcosis: cystic echinococcosis (CE) caused by Echinococcus granulosus (also known as hydatid disease) and alveolar echinococcosis caused by Echinococcus multilocularis. Echinococcosis of the liver is diagnosed by grey-scale ultrasound as the screening method of choice and in combination with serology. Ultrasound classification for cystic echinococcosis was elaborated by the World Health Organisation-Informed Working Group in Echinococcus (WHO-IWGE) [29, 30]. These cystic lesions vary from a simple anechoic cyst (CE 1) to vesicular multiseptated cysts with a “wheel-like”, “rosette-like” or “honeycomb-like” structure (CE 2) to anechoic content with a detachment of the laminated membrane from the cyst wall visible as a floating membrane or “water-lily” sign (CE 3). Heterogenous hypoechoic or inhomogenous degenerative contents without daughter cysts are seen on conventional ultrasound in type CE 4. A thick, calcified wall is typical in CE 5 and highly suggestive of cystic echinococcosis (figure 7) [31].

Figure 7Systemic comparison of all stages in cystic echinococcosis (CE) by ultrasound, CT and MRI (modified from [29]). CE1: unilocular, simple cysts with liquid content and often with the CE1-specific ‘‘double line sign’’, CE2: multivesicular, multiseptated cysts, CE3a: cysts with liquid content and the CE3a-specific detached endocyst, CE3b: unilocular cysts with daughter cysts inside a mucinous or solid cyst matrix, CE4: heterogenous solid cysts with degenerative CE4-specific canalicular structure of the cyst content and CE5: cysts with degenerative content and heavily calcified wall.
Alveolar echinococcosis is endemic in Switzerland. Most conventional ultrasound findings (70%) are hyper- and hypoechoic areas mimicking a tumour with irregular margins (figure 8) and central necrosis (pseudocyst) surrounded by an irregular hyperechogenic ring [32]. Haemangioma-like hyperechogenic nodules as the initial lesion and small calcified lesions can be found on conventional ultrasound in 30% of cases. In both cases, CEUS can easily demask this pseudotumour as a “simple” cystic lesion without contrast enhancement (figure 8) and demonstrate biliary or vascular infiltration.

Figure 8Hepatic echinococcosis on conventional ultrasound and CEUS. A Echogenic 4 cm hepatic lesion in the right liver lobe in a cystic echinococcosis (E. granulosus) with floating membrane / “water-lily” sign (CE3) in a 39-yea-old female patient from Kosovo. B CEUS without contrast-enhancement. C Echogenic hepatic lesion in the right liver lobe in an alveolar echinococcosis (E. multilocularis) in a 57 year old Swiss patient. D Echogenic hepatic lesion in the left liver lobe in an alveolar echinococcosis (E. multilocularis) in a 50-year-old Swiss male with alveolar echinococcosis. E CEUS without contrast-enhancement.
With conventional ultrasound being the recommended main imaging modality for echinococcosis, CT and MRI are used in cases where conventional ultrasound cannot clearly assess the extent of the disease (e.g. in obese patients, in subdiaphragmatic or extra-abdominal location). These techniques are used to perform staging in newly discovered echinococcosis, assess complications such as cysto-biliary fistulas and for pre-surgical evaluation.
The WHO-IWGE classification for cystic echinococcosis can be applied for CT and MRI, with MRI being superior to CT in reproducing the conventional ultrasound-stages of cystic echinococcosis, and CT being superior to conventional ultrasound and MRI in demonstrating minute calcifications [33]. Cystic echinococcosis fluid on CT demonstrates fluid attenuation (approximately 0 HU). Calcifications are seen as hyperdensities, with faint calcifications potentially being missed after the administration of an intravenous contrast agent, which is the reason why unenhanced images should be acquired. On MRI, theses cysts are hyperintense on T2w images, and daughter cysts or membranes are more easily visible than on CT (figure 9).

Figure 9Hepatic echinococcosis on CT and MRI. A T2w axial MRI, B T1w fs axial image after gadolinium based i.v. contrast and C CT image after iodine based i.v. contrast in a 37-year-old male patient with cystic echinococcosis (E. granulosus) demonstrating two lesions: the anterior with heterogenous signal on T2w, lack of enhancement and coarse calcifications visualized on CT (arrow, CE5). The posterior lesion with hyperintense detached membrane on T2w, lack of enhancement and faint visibility of the membrane on CT (arrowhead, CE3). D T2w axial MRI, E T1w fs axial image after gadolinium based i.v. contrast and F CT image after iodine based i.v. contrast in a 74-year-old male patient with alveolar echinococcosis (E. mulitlocularis) with pathognomonic microcystic features on T2w image and partial necrosis, infiltrative aspect and coarse calcifications seen on CT.
MRI is also the second imaging modality of choice for alveolar echinococcosis after conventional ultrasound. On MRI, microcystic, alveolar structures are a pathognomonic feature of alveolar echinococcosis (figure 9). However, many lesions are atypical and of an infiltrative character. For detection of calcifications and in patients incompatible with MRI, CT usually has a role. On CT images, alveolar echinococcosis presents as mixed hyperdense-hypodense lesions with possible necroses.
MRI with hepatobiliary contrast can increase the detection of cysto-biliary fistulas by adding a contrast-enhanced magnetic resonance cholangiography (MRC) to conventional T2w MRC [34].
Although 18F-fluorodeoxyglucose-positron emission tomography computed tomography (18F-FDG-PET-CT) does not play a diagnostic role in hepatic alveolar echinococcosis, it is the imaging modality of choice for assessing the inflammation surrounding the lesions and is helpful for patient management (i.e. when deciding to stop long term medical treatment).
Abscesses can be diagnosed relatively easy by grey-scale ultrasound, particularly in the context of typical clinical manifestations such as fever, chills, leukocytosis and increased C-reactive protein. However, the demarcation and extension of abscesses with liquid necrosis (anechoic or hypoechoic) in the liver can be underestimated by grey-scale conventional ultrasound. Abscesses in early stages with inflammation but without necrosis can be missed (figure 10). CEUS is helpful in diagnosing pyogenic liver abscesses, including demarcation and extension (figure 10). Regarding the pathogenesis of liver abscess formation with bacterial infection, inflammation, thrombosis of small vessels and ischemia provoking necrosis (inducing vicious circle with bacterial infection), a classification of pyogenic liver abscesses by CEUS has been proposed [35]. With CEUS, necrotic liver (anechoic) tissue can easily be distinguished from ischemic liver tissue, which is crucial information guiding further diagnostic and therapeutic management.

Figure 10Pyogenic liver abscess on conventional ultrasound and CEUS. A 60-year-old male patient with clinical signs of infection with hardly delimitable hepatic lesions on ultrasound. B, C CEUS with confluent well delimitable liver abscess with anechoic (avascular/necrotic) lined by with surrounding hyperenhancement (hyperaemia).
The appearance of liver abscesses on CT is variable, however they generally demonstrate peripheral enhancement and central hypoattenuation due to necrosis and only rarely contain central gas [36]. In early contrast-enhanced CT images, segmental, wedge-shaped or circumferential increased perfusion can be seen. A double target sign is a characteristic finding on contrast-enhanced CT with central low attenuation (fluid) surrounded by a higher attenuation inner rim (abscess membrane) and low attenuation outer ring (oedema of the liver parenchyma) [37].
On MRI, typical imaging features include hypointense signal on T1w, hyperintense signal on T2w, similar enhancement characteristics as seen on CT. Abscesses show restricted diffusion with high signal on diffusion weighted images and low signal on apparent diffusion coefficient maps in the abscess cavity as well as a lack of diffusion restriction in the periphery (figure 11). These imaging feature help to differentiate between abscess and cystic or necrotic tumour with low signal on DWI and high signal on apparent diffusion coefficient [38].

Figure 11Pyogenic liver abscess on CT and MRI. A Axial T2w MRI image with a central hyperintense abscess (arrowhead) in the right liver lobe of a 62-year-old male patient with clinical signs of infection. B On T1w unenhanced MR image the abscess is hypointense. C T1w contrast enhanced MRI revealing the double target sign with a contrast enhancing abscess wall and a narrow peripheral hypointense edematous rim as well as segmental adjacent hyperenhancement. D On diffusion weighted images the abscess is centrally hyperintense due to restricted diffusion with E correlating low signal on the ADC map. F On contrast enhanced CT, the abscess is centrally hypodense with a slightly hyperdense rim and adjacent hyperperfusion.
Note that depending on the infectious origin, patients with liver abscesses may have different clinical presentation and/or imaging patterns, that is, Klebsiella species or fungal infections may not produce liquefactive necrosis [39]. In addition, amoebic liver abscesses caused by Entamoebia histolytica have unique characteristics in terms of risk factors, origin, symptoms and treatment and have recently been reviewed in detail [40].
Hepatic haemangioma is the most common benign liver tumour, with a prevalence up to 20% in autopsy series [1, 41]. Haemangiomas are often solitary and small (<4 cm), though they can reach 20 cm in diameter. Additionally, most haemangiomas are asymptomatic incidental findings. No relationship is seen between the size of haemangiomas and rare complications (for instance, discomfort in the case of large or giant haemangioma, bleeding after trauma) and little relationship is shown between symptoms and size. This benign liver tumour may change in size during long-term follow-up (i.e. reported annual growth rates of 0.3 to 3.4 mm) [1, 41].
Conventional ultrasound is the first imaging modality to detect hepatic haemangioma. Most haemangiomas can be demonstrated as hyperechoic (78%) (figure 12A) but also as hypoechoic (15%) (figure 12D) or isoechoic lesion (7%) [42].

Figure 12Haemangioma on conventional ultrasound and CEUS. A Hyperechogenic haemangioma on ultrasound, B with centripetal contrast enhancement on CEUS in the arterial phase, C with complete contrast enhancement and without wash-out in the late venous phase. D Hypoechogenic hemangioma next to the kidney on ultrasound. E Complete contrast enhancement on CEUS in the arterial phase.
In the presence of risk factors (table 1) a contrast-enhanced imaging modality is mandatory to exclude malignant focal liver lesions (e.g., hyperechoic liver metastasis, figure 20A). CEUS is accurate for the diagnosis of haemangiomas in about 95% of the cases [3]. The peripheral nodular enhancement with gradual centripetal filling (= iris-diaphragm sign) without washout is a highly specific finding for a typical haemangioma [1, 42]. CEUS can classify these lesions as incomplete (22%) or complete (78%) centripetal filling haemangioma [3, 17]. Atypical features include “shunt haemangiomas” with abundant arterio- (porto-)venous shunts (also called high-flow or flash-filling haemangiomas) mostly with a hypoechoic appearance on conventional ultrasound (figure 13A), sclerosing haemangiomas and haemangiomas with regressive changes such as calcifications, thrombosis and phleboliths [42–44]. The findings of CEUS are characterised with similar but faster centripetal contrast-enhancement in high-flow haemangiomas (figure 13).

Figure 13Shunt haemangioma on conventional ultrasound and CEUS. A Hypoechoenic high flow shunt-hemangioma on ultrasound, B with rapid arterial centripetal filling in few seconds on CEUS with C arterioportal shunt (arrows) in the arterial phase.
In the case of slow-filling haemangiomas, the reinjection of contrast agents without scanning the patient during the first minute may better show contrast accumulation within the haemangioma. The diagnostic challenge of some atypical haemangiomas is washout due to the shunts mimicking malignant focal liver lesions such as metastasis or hepatocellular carcinoma. In unclear CEUS findings or the unavailability of CEUS, MRI is the most accurate imaging modality with a sensitivity and specificity of 91–100% [1, 41, 44]. Note that CT has a sensitivity of 98.3% and a specificity of 55% [41].
Hepatic haemangiomas appear isodense to the blood pool on unenhanced CT images. After the administration of contrast material, they demonstrate peripheral, nodular enhancement with progressive centripetal fill-in in later contrast phases [45]. In late phases, hepatic haemangiomas can be iso- to hyperdense to the normal liver. Large haemangiomas may have central cystic degeneration, thrombosis, or fibrosis with a lack of enhancement. Small haemangiomas will uniformly enhance in the arterial phase – described as “flash-filling”. Therefore, it can be challenging to differentiate small haemangiomas from hypervascular neoplasms (e.g. metastases from neuroendocrine tumours or hepatocellular carcinoma) on arterial phase imaging. In contrast to haemangiomas, malignant neoplasms usually become hypodense relative to the normal liver on portal venous and/or delayed phase images [46].
Enhancement characteristics of haemangiomas in MRI (figure 14) are analogous to those on CT. On T2w images, haemangiomas are typically very bright / hyperintense with internal fibrotic areas appearing dark. For patients with incidental liver lesions, multiphase contrast-enhanced CT has a sensitivity of 75.6% to 86.7% (accuracy of 91% to 95%), and MRI has a sensitivity of 86.7% to 97.8% (accuracy of 95% to 99%) for diagnosis of haemangiomas [47].

Figure 14Haemangioma on MRI. Subcapsular haemangioma with hypointense signal on the unenhanced T1w image (left) and after contrast administration peripheral nodular enhancement with filling in over time and hyperintense signal matching the blood pool on delayed phase (right).
For the majority of patients with typical haemangioma without washout on CEUS (see above), a conservative approach is appropriate. Pregnancy and the use of oral contraceptive pills are not contraindicated in the presence of stable asymptomatic haemangioma. Follow-up imaging is unnecessary in typical cases with a low risk profile [1]. A multidisciplinary approach is recommended for growing and/or symptomatic haemangiomas by compression and in the case of Kasabach-Merritt syndrome.
Focal nodular hyperplasia is the second-most common benign hepatic tumour with a prevalence of 0.03% (0.4 to 3% in autopsy series) in predominantly middle-aged (35 to 50 years) female patients (10:1 female ratio) with mostly solitary manifestations smaller than 5 cm (multiple focal nodular hyperplasia in 20–30% of cases) [1]. In most cases, the focal nodular hyperplasia size remains stable over time [48]. On a conventional ultrasound, focal nodular hyperplasia usually appears slightly hypo- or isoechoic (figure 15A), sometimes with a lobulated contour and a pseudocapsule, which is caused by compression of the surrounding liver tissue or vessels and sometimes with a central scar (figure 15C). Central feeding arteries can be demonstrated on colour Doppler with spoke-wheel pattern (figure 15B) with typical arterial flow in the pw-Doppler. However, malignant tumours can also present the spoke-wheel sign, for instance. in fibrolamellar hepatocellular carcinoma [17, 49]. Therefore, contrast-enhanced imaging is mandatory in suspected focal nodular hyperplasia.

Figure 15Focal nodular hyperplasia on conventional ultrasound and CEUS. A Symptomatic focal nodular hyperplasia on ultrasound next to the gallbladder. B CEUS with centrifugal arterial contrast enhancement (“spoke wheel sign”). C Late phase with central scar (hypoenhancing) of the dystrophic central artery (D, blue arrow) shown on the resection sample.
CEUS is an excellent imaging modality to accurately diagnose focal nodular hyperplasia, particularly if the diameter is below 3 cm [1]. The typical finding shows a fast arterial centrifugal uptake of the contrast agent, which becomes hyperechoic in seconds. This fast, dynamic process can be missed by CT or MRI. Hyperenhancing focal liver lesions can be demonstrated in the arterial, portal-venous phase up to the late venous phase (sometime iso-enhancing in the late venous phase), but in most cases without washout (figure 15C) [3, 17]. This vascular malformation can be divided into different groups by CEUS according to the vascular patterns. Atypical variants of focal nodular hyperplasia, that is, without a central scar and/or with decentral contrast enhancement, are reported in about 20% of cases [48, 50]. In general, CEUS is more accurate than MRI in focal nodular hyperplasia smaller than 3 cm, whereas the opposite is true in larger focal nodular hyperplasia lesions [1].
On CT, focal nodular hyperplasia is usually hypo- or isodense relative to the normal liver on unenhanced images, with a hypodense scar seen in one-third of the cases. Focal nodular hyperplasia are avidly enhanced in the arterial phase, becoming isodense in the portal venous phase and later phases. If present, the central scar enhances gradually and can appear hyperdense on delayed-phase images. For patients with incidental liver lesions, multiphase contrast-enhanced CT has an accuracy of 85% to 93% for the diagnosis of focal nodular hyperplasia [51].
Enhancement characteristics of focal nodular hyperplasia on MRI (figure 16) are again similar to those on CT with avid arterial enhancement of the lesion and becoming isointense to the surrounding liver during the portal venous phase. On unenhanced T1w images, focal nodular hyperplasia is isointense relative to the normal liver and on T2w images isointense to slightly hyperintense [45, 46]. The central scar is typically dark on T1w images and bright on T2w images. For patients with incidental liver lesions, multiphase contrast-enhanced MRI has an accuracy of 88% to 99% for the diagnosis of focal nodular hyperplasia [51]. High specificity (close to 100%) of CEUS and MRI in focal nodular hyperplasia avoids biopsy and allows conservative treatment. Follow-up imaging in the vast majority of patients is not necessary.

Figure 16Focal nodular hyperplasia on MRI. MRI of focal nodular hyperplasia in liver segment VI und IVb (arrows) with A slight hyperintense signal on T2w image with hyperintense central scar, B slight hypointense signal on T1w image with hypointense central scar, C avid arterial enhancement and D increased metabolisation of the hepatobiliary contrast agent during the hepatobiliary phase.
To distinguish focal nodular hyperplasia from hepatocellular adenomas, hepatobiliary agents such as gadoxetate disodium are helpful with focal nodular hyperplasias, which unlike hepatocellular adenomas demonstrate high uptake on hepatobiliary phase images [52]. A modified EASL flowchart for the management of focal nodular hyperplasia is shown in figure 17. In asymptomatic patients, no follow-up is needed even during pregnancy, and oral contraceptives do not have to be stopped [1]. However, follow-up is indicated in the case of underlying vascular liver disease (e.g. chronic Budd-Chiari syndrome, Fontan-associated liver disease) as focal nodular hyperplasia and focal nodular hyperplasia-like lesions as well as hepatocellular carcinoma are seen more frequently in vascular liver diseases. The imaging features of these lesions can be less typical [53–55]. Therefore, liver biopsy is advisable in case of uncertain diagnosis or when focal nodular hyperplasia is diagnosed outside of the classical clinical context.

Figure 17Recommended management of a focal nodular hyperplasia (modified flowchart for the management of focal nodular hyperplasia by EASL [1]); imaging modalities may include ultrasound, CEUS and MRI with a hepatobiliary contrast agent. In suspected focal nodular hyperplasia on ultrasound, size of the focal liver lesion is important for choosing contrast-enhanced image modality. For large lesions >3 cm, MRI sensitivity is excellent. CEUS or MRI are recommended for lesions <3 cm. If doubt remains after CEUS and MRI, patients should be referred to a specialist centre where percutaneous biopsy (or resection) may be considered. CEUS: Contrast-enhanced ultrasound; EASL: European Association for the Study of the Liver; FNH: focal nodular hyperplasia; MRI: magnetic resonance imaging; US: conventional ultrasound
Symptomatic focal nodular hyperplasias due to relevant size should be presented at a multidisciplinary board to discuss exceptional resection or transarterial embolisation.
Hepatocellular adenomas are rare, with a prevalence of 0.001–0.004%, and are most commonly found in middle-aged women (10:1 female to male, aged 35 to 40 years) [1]. Hepatocellular adenomas are usually solitary, sometimes pedunculated and of various sizes ranging from several millimetres to 30 cm. Oral contraceptive use increases the incidence of this hormone-sensitive focal liver lesions 30–40-fold. Hepatocellular adenomas are also associated with obesity and metabolic syndrome. In males, androgenic steroids are associated with hepatocellular adenomas. In particular, hepatocellular adenomas ≥5 cm have higher risk of haemorrhage and malignant transformation (particularly β-catenin activated hepatocellular adenomas). The molecular classification of hepatocellular adenomas with associated risk factors, bleeding and malignant transformation has been described in detail [56]. As a result of the sensitivity to hormones, hepatocellular adenomas can also grow in size with an increased risk of bleeding during pregnancy, especially in the last trimester, but also after childbirth (rapid drop in oestrogen levels with a possible massive hepatocellular adenoma regression). On CEUS, hyperenhancement in the arterial phase can be seen in the periphery and in the centre of the lesion, with chaotic, and usually centripetal, behaviour. Washout is usually absent.
On unenhanced CT, the attenuation of hepatocellular adenomas varies depending on recent haemorrhage, which can be hyperdense, or fat content, which will appear hypodense. Generally, hepatocellular adenomas are well marginated and demonstrate homogenous enhancement on arterial phase images, returning to isodensity on portal venous and delayed-phase images.
MRI is superior to all other imaging modalities for the characterisation of hepatocellular adenomas (figure 18). For diagnosing HNF-1a inactivated hepatocellular adenomas, MRI with extracellular contrast agents ranges from 87% to 91% sensitivity and 89% to 100% specificity, and for diagnosing inflammatory hepatocellular adenomas from 85% to 88% sensitivity and 88% to 100% specificity [1]. Meanwhile, the identification of β-catenin-activated hepatocellular adenoma and its distinction with unclassified hepatocellular adenoma and hepatocellular carcinoma is not possible by any imaging technique. Biopsy may be considered in these cases to exclude malignancy (particularly for all adenomas that are not steatotic to inform management decisions; unless in males or >5 cm for which resection/ablation can be recommended, see below). In the case of histologically proven β‑catenin-activated hepatocellular adenoma, curative intervention is advised irrespective of size. Hepatocellular adenomas <5 cm of the HNF-1α subtype, or those that are either inflammatory or β‑catenin non-activated on biopsy, can be managed conservatively. Lifestyle changes such as discontinuation of oral contraceptives as well as weight loss should be recommended. The current management of hepatocellular adenoma relies ever more on the molecular classification. Therefore, the role of biopsy is increasingly important for diagnostic and prognostic purposes. We recommend using a recently published algorithm for guidance [57].

Figure 18Hepatocellular adenoma in MRI. MRI of a HNF-1a-activated hepatocellular adenoma in liver segment II (arrow) with A hyperintense signal on the T2w image, signal drop from B T1 weighted in- to C opposed-phase, D arterial enhancement persisting in E the portal venous phase and F due to lack of contrast metabolisation hypointense signal on hepatobiliary phase images.
On MRI images, inflammatory hepatocellular adenomas are hyperintense on T2w images and isointense or mildly hyperintense on T1w images with minimal or no signal drop-off on opposed-phase images. After the administration of gadolinium-based contrast material, inflammatory hepatocellular adenomas usually demonstrate avid arterial enhancement, which persists in the portal venous and delayed phases [58]. HNF-1α-inactivated hepatocellular adenomas are hyper- or isointense on T1w images, with typical diffuse signal drop-off on opposed phase due to intracellular fat [58].
For the differentiation between adenoma and focal nodular hyperplasia, low signal on hepatobiliary phase images is 100% specific, 92% sensitive and 97% accurate for hepatocellular adenoma [59].
For all presumed hepatocellular adenomas, a reassessment with MRI is advised after 6 months. Hepatocellular adenomas persistently greater than 5 cm or increasing in size (>20% diameter – as per RECIST criteria for solid malignant tumours) should be considered for resection or curative treatment irrespective of their molecular or histological subtype because of the risk of haemorrhage. In women, lesions less than 5 cm should be reassessed at 1 year, and annual imaging adopted thereafter. For lesions stable or reducing in size after 5 years, biannual imaging can be proposed. In men, all hepatocellular adenomas should be resected. In the case of haemodynamic-relevant bleeding, hepatocellular adenomas should be embolised. The management of hepatocellular adenomas recommended by the European Association for the Study of the Liver is shown in figure 19.

Figure 19Recommended management of a presumed hepatocellular adenoma according to the European Association for the Study of the Liver [1]: Baseline MRI is necessary to help to confirm a diagnosis of hepatocellular adenoma and characterise it. In men, resection (or ablation) of hepatocellular adenomas of any size is recommended. In women, an observation period of 6 months after lifestyle changes is appropriate. Resection is indicated in lesions persistently greater than 5 cm, or in case of increasing size on follow-up. In smaller lesions, a conservative approach with interval imaging can be adopted. In specialist centres practising MRI subtyping of hepatocellular adenoma, longer intervals between scans may be preferred for H-HCA. Biopsy is reserved for those cases where the diagnosis of HCA is uncertain on imaging and malignancy must be ruled out. EASL: European Association for the Study of the Liver; HCA: hepatocellular adenoma; MRI: magnetic resonance imaging
Liver metastases are the most common malignant focal liver lesions in a non-cirrhotic liver. The correct diagnosis is crucial for determining the next diagnostic and therapeutic steps or the appropriate follow-up interval. On conventional ultrasound hepatic metastases vary in echogenicity and can be hypoechoic, isoechoic or hyperechoic or cystic. Particularly patients with risk factors and newly documented or increasing focal liver lesions need further contrast-enhanced imaging (because e.g., a hyperechoic focal liver lesions on conventional ultrasound could be a haemangioma or hyperechoic liver metastasis) (figures 12 A and 20 A).
When detecting these focal liver lesions on conventional ultrasound, CEUS could be immediately performed, with appropriate expertise, with an excellent accuracy to differentiate benign focal liver lesions from malignant focal liver lesions. According to the degree of vascularisation in the arterial phase the focal liver lesion can be categorised by CEUS as hyper-, hypo- or avascular (corresponding to necrosis) metastases. Ten to 15% of liver metastases are hypervascular [17] (figure 20, B and E). A common and highly specific feature of metastatic lesions or other malignant focal liver lesions (as hepatocellular carcinoma and cholangiocarcinoma) is the washout of the contrast agent in the portal venous or late phase (figure 20, C, E and G) after initial contrast-enhancement [4, 60].

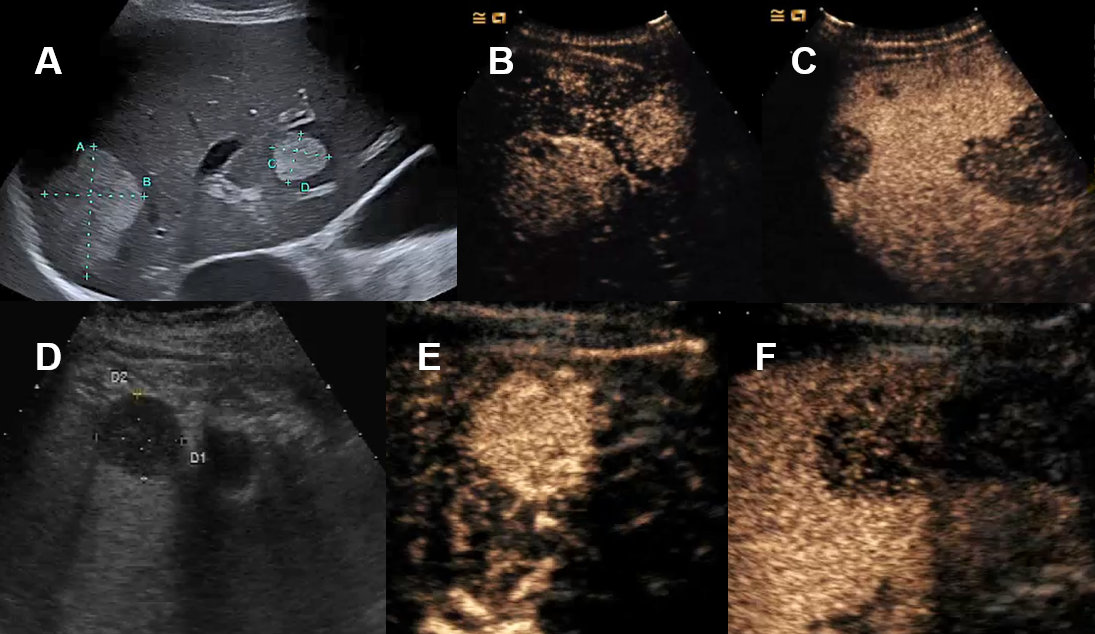
Figure 20Liver metastasis on conventional ultrasound and CEUS. A Hyperechogenic liver metastases on ultrasound. B Hyperenhancement of biopsy proven neuroendocrine tumor-metastasis on CEUS. C Wash-out on CEUS. D Patient with abdominal wall abscess with cystic lesion of unclear dignity on MRI with features of a cystic hepatic lesion on ultrasound. E Complete arterial contrast enhancement of this solid mass on CEUS. F Wash-out CEUS of the biopsy proven primary lymphoma. G CEUS with arterial contrast enhancement of a melanoma metastasis demonstrating necrosis on the non-enhancing areas (which is an important information when planning ultrasound-guided biopsy avoiding biopsy of the necrotic area).
In the largest prospective multicentre trials sensitivity and specificity of CEUS in the differentiation of benign and malignant focal liver lesions was not inferior to CT and MRI even for small focal liver lesions [61–63].
Meta-analyses involving hepatocellular carcinomas, metastatic cancers, cholangiocarcinomas and other malignant focal liver lesions found a comparable sensitivity and specificity of >90% for CEUS, CT and MRI regardless of whether the standard of reference included histology or the studies were blinded or unblinded [64, 65] but with a lower cost for CEUS [15].
In Switzerland, even in clinical practice, CEUS is reported with a sensitivity of 96.0%–97.2% for malignant focal liver lesions and a specificity of 84.2%–90.6% for benign focal liver lesions [66]. CEUS is useful as a first and immediate diagnostic imaging tool after conventional ultrasound to accurately diagnose or exclude malignant focal liver lesions. Unnecessary further imaging or biopsies can be avoided. Nevertheless, CEUS is also helpful in the detection of missed colorectal liver metastases after staging-CT. Moreover, CEUS is particularly useful in colorectal cancer with colorectal tumour stage T3/T4 and in cases with focal liver lesions of uncertain dignity after staging CT with an accuracy of 98.4% for CEUS in determining dignity [67].
However, CEUS cannot replace CT or MRI in these oncological patients. CT is mandatory for tumour staging and MRI is more accurate to evaluate the exact number and localisation of liver metastases, especially in limited conventional ultrasound/CEUS-conditions mentioned above.
Liver metastases are typically hypodense on unenhanced CT, enhancing less than surrounding liver following contrast administration (except metastases from neuroendocrine tumour or renal cell carcinoma). If there is concomitant hepatic steatosis, it can be more difficult to detect metastases due to their isodensity in a steatotic liver. Enhancement of metastases is typically peripheral with washout, helping distinguish them from haemangiomas. The resolution of CT does not allow for a definitive characterisation of lesions <1 cm. Moreover, small hypervascular metastases, for instance from renal cell carcinoma, thyroid carcinoma, and neuroendocrine tumours, may be difficult to distinguish from flash-filling haemangiomas [46]. Wall thickening, peripheral enhancement, mural nodules as well as multiplicity and lesion growth raise the likelihood of malignancy.
The appearance of hepatic metastases on MRI is variable depending on the primary tumour and the size of the metastases. On MRI, hepatic metastases often demonstrate hypointensity on T1w images, hyperintensity on T2w images and restricted diffusion (figure 21). Occasionally, hepatic metastases are difficult to detect on unenhanced images without diffusion-weighted images. In the hepatobiliary phase, metastases appear hypointense due to the lack of metabolisation of the contrast agent.

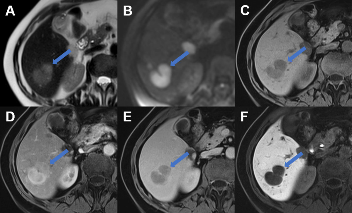
Figure 21Liver metastasis on MRI. Liver metastasis in segment VI laterally (arrow) with A slight hyperintense signal on T2w image, B restricted diffusion with high signal on b800 diffusion weighted image, C hypointense signal on T1w image, D arterial enhancement, E portal venous wash-out and F hypointense signal during the hepatobiliary phase due to lack of contrast metabolisation.
In patients with a history of extrahepatic malignancy, contrast-enhanced CT can differentiate between metastases and benign lesions with an accuracy of 74% and MRI with an accuracy of 83% and 91%, increasing to 94% with the addition of dynamic the hepatobiliary phase [68].
The accuracy of CT, however, strongly depends on the size of liver metastases. The overall accuracy at preoperative CT was 81% but only 55% for detecting colorectal liver metastases measuring 6–10 mm, and only 8% for colorectal liver metastases measuring 1–5 mm in patients undergoing liver resection [69].
Hepatocellular carcinoma can occur in non-cirrhotic liver disease (particularly in chronic hepatitis B and non-alcoholic steatohepatitis with advanced fibrosis). Imaging characteristics of hepatocellular carcinoma in non-cirrhotic and cirrhotic patients are similar except hepatocellular carcinomas in non-cirrhotic livers frequently present as a solitary mass with or without satellite lesions and are much larger in tumour size and often seen with a central scar [70]. In contrast to hepatocellular carcinoma in liver cirrhosis, which can be diagnosed non-invasively based on typical contrast-enhanced MRI and CT features, suspected hepatocellular carcinoma in non-cirrhotic liver requires a biopsy of the focal liver lesion [7].
Biopsy and histological analysis of a focal liver lesion should be performed if the clinical evaluation, tumour markers, serological testing and state-of-the-art imaging do not allow for characterizing the lesion and/or if suspicion of malignancy remains high. Biopsy of a suspected liver metastasis is often helpful in establishing diagnosis by identifying the primary tumour as well as for tumour staging purposes. In addition, hepatocellular adenoma can sometimes be difficult to differentiate from well-differentiated hepatocellular carcinoma. In this scenario, the indication for liver biopsy should be generously made, particularly in the event of ambiguous imaging [71].
A biopsy of focal liver lesions should be performed by experienced physicians to avoid potential tumour cell seeding and post-interventional bleeding [72, 73]. When performing a biopsy of a focal liver lesion, it is mandatory to acquire a second biopsy from the surrounding liver to rule out chronic liver disease, advanced fibrosis or cirrhosis. The biopsy of the adjacent liver is important in diagnosing a focal liver lesion, particularly hepatocellular lesions. Detection of cirrhosis will change the patient’s focal liver lesion management. Imaging of the correct location for sonography-guided biopsy can be enabled by performing CEUS (i.e. for focal liver lesions with insufficient demarcation in conventional ultrasound and for avoiding biopsy of avascular/necrotic tumour area).
In clinical routines, conventional ultrasound is the first imaging modality in patients with focal liver lesions in non-cirrhotic liver. Patient history, physical examination, tumour markers and imaging findings together with risk factors for malignancy or infection determine the need of further investigation. Contrast-based imaging studies such as CEUS, CT or MRI allow for the accurate differentiation of focal liver lesions in most cases. In case CEUS is unavailable, inconclusive or if there is inadequate experience by the operator, MRI is recommended. If a focal liver lesion remains unclear after imaging, a biopsy of the lesion and the surrounding liver should be considered.
Reviewed and approved by: Christine Bernsmeier, Annalisa Berzigotti, Philip Bruggmann, Andreas Cerny, Andrea De Gottardi, Montserrat Fraga, Nicolas Goossens, Beat Helbling, Andreas E. Kremer, Anja Lachenmayer, Valérie McLin, Joachim C. Mertens, Darius Moradpour and Achim Weber as council members of the Swiss Association for the Study of the Liver (SASL) and by Bruno Balsiger, Jan Borovicka, Stephan Brand, Lukas Degen, Tobias Ehmann, Florian Riniker, Kaspar Truninger and Alain Vonlaufen as council members of the Swiss Society of Gastroenterology (SSG) as well as, Pietro Majno, Beat Müllhaupt, Christine Sempoux and Daniel Weiss.
All authors have completed and submitted the International Committee of Medical Journal Editors form for disclosure of potential conflicts of interest. No potential conflict of interest related to the content of this manuscript was disclosed.
1. European Association for the Study of the Liver (EASL). EASL Clinical Practice Guidelines on the management of benign liver tumours. J Hepatol. 2016 Aug;65(2):386–98. 10.1016/j.jhep.2016.04.001
2. European Association for the Study of the Liver. EASL Clinical Practice Guidelines on the management of cystic liver diseases. J Hepatol. 2022 Oct;77(4):1083–108. 10.1016/j.jhep.2022.06.002
3. Claudon M, Dietrich CF, Choi BI, Cosgrove DO, Kudo M, Nolsøe CP, et al. Guidelines and good clinical practice recommendations for contrast enhanced ultrasound (CEUS) in the liver — update 2012: a WFUMB-EFSUMB initiative in cooperation with representatives of AFSUMB, AIUM, ASUM, FLAUS and ICUS. Ultraschall Med. 2013 Feb;34(1):11–29.
4. Dietrich CF, Nolsøe CP, Barr RG, Berzigotti A, Burns PN, Cantisani V, et al. Guidelines and Good Clinical Practice Recommendations for Contrast-Enhanced Ultrasound (CEUS) in the Liver-Update 2020 WFUMB in Cooperation with EFSUMB, AFSUMB, AIUM, and FLAUS. Ultrasound Med Biol. 2020 Oct;46(10):2579–604. 10.1016/j.ultrasmedbio.2020.04.030
5. Chernyak V, Horowitz JM, Kamel IR, Arif-Tiwari H, Bashir MR, Cash BD, et al.; Expert Panel on Gastrointestinal Imaging. ACR Appropriateness Criteria® Liver Lesion-Initial Characterization. J Am Coll Radiol. 2020 Nov;17(11S 11s):S429–46. 10.1016/j.jacr.2020.09.005
6. Smith-Bindman R, Miglioretti DL, Johnson E, Lee C, Feigelson HS, Flynn M, et al. Use of diagnostic imaging studies and associated radiation exposure for patients enrolled in large integrated health care systems, 1996-2010. JAMA. 2012 Jun;307(22):2400–9. 10.1001/jama.2012.5960
7. Goossens N, Toso C, Heim MH. Management of hepatocellular carcinoma: SASL expert opinion statement. Swiss Med Wkly. 2020 Jul;150(3132):w20296. 10.4414/smw.2020.20296
8. Horta G, López M, Dotte A, Cordero J, Chesta C, Castro A, et al. [Benign focal liver lesions detected by computed tomography: review of 1,184 examinations]. Rev Med Chil. 2015 Feb;143(2):197–202. 10.4067/S0034-98872015000200007
9. Rawla P, Sunkara T, Muralidharan P, Raj JP. An updated review of cystic hepatic lesions. Clin Exp Hepatol. 2019 Mar;5(1):22–9. 10.5114/ceh.2019.83153
10. Bahirwani R, Reddy KR. Review article: the evaluation of solitary liver masses. Aliment Pharmacol Ther. 2008 Oct;28(8):953–65. 10.1111/j.1365-2036.2008.03805.x
11. Gore RM, Pickhardt PJ, Mortele KJ, Fishman EK, Horowitz JM, Fimmel CJ, et al. Management of Incidental Liver Lesions on CT: A White Paper of the ACR Incidental Findings Committee. J Am Coll Radiol. 2017 Nov;14(11):1429–37. 10.1016/j.jacr.2017.07.018
12. Kaltenbach TE, Engler P, Kratzer W, Oeztuerk S, Seufferlein T, Haenle MM, et al. Prevalence of benign focal liver lesions: ultrasound investigation of 45,319 hospital patients. Abdom Radiol (NY). 2016 Jan;41(1):25–32. 10.1007/s00261-015-0605-7
13. McLin VA, Franchi Abella S, Debray D, Guérin F, Beghetti M, Savale L, et al.; Members of the International Registry of Congenital Porto-Systemic Shunts. Congenital Portosystemic Shunts: Current Diagnosis and Management. J Pediatr Gastroenterol Nutr. 2019 May;68(5):615–22. 10.1097/MPG.0000000000002263
14. Dietrich CF, Averkiou M, Nielsen MB, Barr RG, Burns PN, Calliada F, et al. How to perform Contrast-Enhanced Ultrasound (CEUS). Ultrasound Int Open. 2018 Jan;4(1):E2–15. 10.1055/s-0043-123931
15. Westwood M, Joore M, Grutters J, Redekop K, Armstrong N, Lee K, et al. Contrast-enhanced ultrasound using SonoVue® (sulphur hexafluoride microbubbles) compared with contrast-enhanced computed tomography and contrast-enhanced magnetic resonance imaging for the characterisation of focal liver lesions and detection of liver metastases: a systematic review and cost-effectiveness analysis. Health Technol Assess. 2013 Apr;17(16):1–243. 10.3310/hta17090
16. Piscaglia F, Bolondi L; Italian Society for Ultrasound in Medicine and Biology (SIUMB) Study Group on Ultrasound Contrast Agents. The safety of Sonovue in abdominal applications: retrospective analysis of 23188 investigations. Ultrasound Med Biol. 2006 Sep;32(9):1369–75. 10.1016/j.ultrasmedbio.2006.05.031
17. Jang JY, Kim MY, Jeong SW, Kim TY, Kim SU, Lee SH, et al. Current consensus and guidelines of contrast enhanced ultrasound for the characterization of focal liver lesions. Clin Mol Hepatol. 2013 Mar;19(1):1–16. 10.3350/cmh.2013.19.1.1
18. Schwarze V, Marschner C, Negrão de Figueiredo G, Rübenthaler J, Clevert DA. Single-Center Study: Evaluating the Diagnostic Performance and Safety of Contrast-Enhanced Ultrasound (CEUS) in Pregnant Women to Assess Hepatic Lesions. Ultraschall Med. 2020 Feb;41(1):29–35. 10.1055/a-0973-8517
19. Schwarze V, Froelich MF, Marschner C, Knösel T, Rübenthaler J, Clevert DA. Safe and pivotal approaches using contrast-enhanced ultrasound for the diagnostic workup of non-obstetric conditions during pregnancy, a single-center experience. Arch Gynecol Obstet. 2021 Jan;303(1):103–12. 10.1007/s00404-020-05735-8
20. Purysko AS, Remer EM, Veniero JC. Focal liver lesion detection and characterization with GD-EOB-DTPA. Clin Radiol. 2011 Jul;66(7):673–84. 10.1016/j.crad.2011.01.014
21. Neri E, Bali MA, Ba-Ssalamah A, Boraschi P, Brancatelli G, Alves FC, et al. ESGAR consensus statement on liver MR imaging and clinical use of liver-specific contrast agents. Eur Radiol. 2016 Apr;26(4):921–31. 10.1007/s00330-015-3900-3
22. Karcaaltincaba M, Akhan O. Imaging of hepatic steatosis and fatty sparing. Eur J Radiol. 2007 Jan;61(1):33–43. 10.1016/j.ejrad.2006.11.005
23. Venkatesh SK, Hennedige T, Johnson GB, Hough DM, Fletcher JG. Imaging patterns and focal lesions in fatty liver: a pictorial review. Abdom Radiol (NY). 2017 May;42(5):1374–92. 10.1007/s00261-016-1002-6
24. Hamer OW, Aguirre DA, Casola G, Lavine JE, Woenckhaus M, Sirlin CB. Fatty liver: imaging patterns and pitfalls. Radiographics. 2006;26(6):1637–53. 10.1148/rg.266065004
25. Dioguardi Burgio M, Bruno O, Agnello F, Torrisi C, Vernuccio F, Cabibbo G, et al. The cheating liver: imaging of focal steatosis and fatty sparing. Expert Rev Gastroenterol Hepatol. 2016 Jun;10(6):671–8. 10.1586/17474124.2016.1169919
26. Lupsor M, Badea R. Imaging diagnosis and quantification of hepatic steatosis: is it an accepted alternative to needle biopsy?. Rom J Gastroenterol. 2005 Dec;14(4):419–25.
27. Vachha B, Sun MR, Siewert B, Eisenberg RL. Cystic lesions of the liver. AJR Am J Roentgenol. 2011 Apr;196(4):W355-66. 10.2214/AJR.10.5292
28. Labib PL, Aroori S, Bowles M, Stell D, Briggs C. Differentiating Simple Hepatic Cysts from Mucinous Cystic Neoplasms: Radiological Features, Cyst Fluid Tumour Marker Analysis and Multidisciplinary Team Outcomes. Dig Surg. 2017;34(1):36–42. 10.1159/000447308
29. Working Group WH; WHO Informal Working Group. International classification of ultrasound images in cystic echinococcosis for application in clinical and field epidemiological settings. Acta Trop. 2003 Feb;85(2):253–61. 10.1016/S0001-706X(02)00223-1
30. Pakala T, Molina M, Wu GY. Hepatic Echinococcal Cysts: A Review. J Clin Transl Hepatol. 2016 Mar;4(1):39–46. 10.14218/JCTH.2015.00036
31. Stojkovic M, Rosenberger K, Kauczor HU, Junghanss T, Hosch W. Diagnosing and staging of cystic echinococcosis: how do CT and MRI perform in comparison to ultrasound?. PLoS Negl Trop Dis. 2012;6(10):e1880. 10.1371/journal.pntd.0001880
32. Brunetti E, Kern P, Vuitton DA; Writing Panel for the WHO-IWGE. Expert consensus for the diagnosis and treatment of cystic and alveolar echinococcosis in humans. Acta Trop. 2010 Apr;114(1):1–16. 10.1016/j.actatropica.2009.11.001
33. Taourel P, Marty-Ane B, Charasset S, Mattei M, Devred P, Bruel JM. Hydatid cyst of the liver: comparison of CT and MRI. J Comput Assist Tomogr. 1993;17(1):80–5. 10.1097/00004728-199301000-00014
34. Kantarci M, Pirimoglu B, Ogul H, Bayraktutan U, Eren S, Aydinli B, et al. Can biliary-cyst communication be predicted by Gd-EOB-DTPA-enhanced MR cholangiography before treatment for hepatic hydatid disease?. Clin Radiol. 2014 Jan;69(1):52–8. 10.1016/j.crad.2013.08.005
35. Kunze G, Staritz M, Köhler M. Contrast-enhanced ultrasound in different stages of pyogenic liver abscess. Ultrasound Med Biol. 2015 Apr;41(4):952–9. 10.1016/j.ultrasmedbio.2014.12.001
36. Lee TY, Wan YL, Tsai CC. Gas-containing liver abscess: radiological findings and clinical significance. Abdom Imaging. 1994;19(1):47–52. 10.1007/BF02165861
37. Bächler P, Baladron MJ, Menias C, Beddings I, Loch R, Zalaquett E, et al. Multimodality Imaging of Liver Infections: Differential Diagnosis and Potential Pitfalls. Radiographics. 2016;36(4):1001–23. 10.1148/rg.2016150196
38. Chan JH, Tsui EY, Luk SH, Fung AS, Yuen MK, Szeto ML, et al. Diffusion-weighted MR imaging of the liver: distinguishing hepatic abscess from cystic or necrotic tumor. Abdom Imaging. 2001;26(2):161–5. 10.1007/s002610000122
39. Rossi B, Gasperini ML, Leflon-Guibout V, Gioanni A, de Lastours V, Rossi G, et al. Hypervirulent Klebsiella pneumoniae in Cryptogenic Liver Abscesses, Paris, France. Emerg Infect Dis. 2018 Feb;24(2):221–9. 10.3201/eid2402.170957
40. Roediger R, Lisker-Melman M. Pyogenic and Amebic Infections of the Liver. Gastroenterol Clin North Am. 2020 Jun;49(2):361–77. 10.1016/j.gtc.2020.01.013
41. Leon M, Chavez L, Surani S. Hepatic hemangioma: what internists need to know. World J Gastroenterol. 2020 Jan;26(1):11–20. 10.3748/wjg.v26.i1.11
42. Dietrich CF, Mertens JC, Braden B, Schuessler G, Ott M, Ignee A. Contrast-enhanced ultrasound of histologically proven liver hemangiomas. Hepatology. 2007 May;45(5):1139–45. 10.1002/hep.21615
43. Kim KW, Kim AY, Kim TK, Kim SY, Kim MJ, Park MS, et al. Hepatic hemangiomas with arterioportal shunt: sonographic appearances with CT and MRI correlation. AJR Am J Roentgenol. 2006 Oct;187(4):W406-14. 10.2214/AJR.05.0611
44. Mamone G, Di Piazza A, Carollo V, Cannataci C, Cortis K, Bartolotta TV, et al. Imaging of hepatic hemangioma: from A to Z. Abdom Radiol (NY). 2020 Mar;45(3):672–91. 10.1007/s00261-019-02294-8
45. Cogley JR, Miller FH. MR imaging of benign focal liver lesions. Radiol Clin North Am. 2014 Jul;52(4):657–82. 10.1016/j.rcl.2014.02.005
46. Kamaya A, Maturen KE, Tye GA, Liu YI, Parti NN, Desser TS. Hypervascular liver lesions. Semin Ultrasound CT MR. 2009 Oct;30(5):387–407. 10.1053/j.sult.2009.06.001
47. Chung YE, Kim MJ, Kim YE, Park MS, Choi JY, Kim KW. Characterization of incidental liver lesions: comparison of multidetector CT versus Gd-EOB-DTPA-enhanced MR imaging. PLoS One. 2013 Jun;8(6):e66141. 10.1371/journal.pone.0066141
48. Bauditz JF, Wermke W. Sonomorphologie, Vaskularisation und Wachstumsverhalten von Fokal Nodulären Hyperplasien der Leber im Langzeitverlauf. Z Gastroenterol. 2007;45(8):45. 10.1055/s-2007-988117
49. Dong Y, Wang WP, Mao F, Zhang Q, Yang D, Tannapfel A, et al. Imaging Features of Fibrolamellar Hepatocellular Carcinoma with Contrast-Enhanced Ultrasound . Ultraschall Med. 2020 .
50. Zarzour JG, Porter KK, Tchelepi H, Robbin ML. Contrast-enhanced ultrasound of benign liver lesions. Abdom Radiol (NY). 2018 Apr;43(4):848–60. 10.1007/s00261-017-1402-2
51. Zech CJ, Grazioli L, Breuer J, Reiser MF, Schoenberg SO. Diagnostic performance and description of morphological features of focal nodular hyperplasia in Gd-EOB-DTPA-enhanced liver magnetic resonance imaging: results of a multicenter trial. Invest Radiol. 2008 Jul;43(7):504–11. 10.1097/RLI.0b013e3181705cd1
52. McInnes MD, Hibbert RM, Inácio JR, Schieda N. Focal Nodular Hyperplasia and Hepatocellular Adenoma: Accuracy of Gadoxetic Acid-enhanced MR Imaging—A Systematic Review. Radiology. 2015 Nov;277(2):413–23. 10.1148/radiol.2015142986
53. Sempoux C, Balabaud C, Paradis V, Bioulac-Sage P. Hepatocellular nodules in vascular liver diseases. Virchows Arch. 2018 Jul;473(1):33–44. 10.1007/s00428-018-2373-6
54. Mamone G, Carollo V, Di Piazza A, Cortis K, Degiorgio S, Miraglia R. Budd-Chiari Syndrome and hepatic regenerative nodules: magnetic resonance findings with emphasis of hepatobiliary phase. Eur J Radiol. 2019 Aug;117:15–25. 10.1016/j.ejrad.2019.05.015
55. Kogiso T, Tokushige K. Fontan-associated liver disease and hepatocellular carcinoma in adults. Sci Rep. 2020 ;10(1):21742. PubMed PMID: 33303924. PMCID: PMC7728791. 10.1038/s41598-020-78840-y
56. Nault JC, Couchy G, Balabaud C, Morcrette G, Caruso S, Blanc JF, et al.; GENTHEP Investigators. Molecular Classification of Hepatocellular Adenoma Associates With Risk Factors, Bleeding, and Malignant Transformation. Gastroenterology. 2017 Mar;152(4):880–894.e6. 10.1053/j.gastro.2016.11.042
57. Romailler É, Schmidt Kobbe S, Moradpour D, Sempoux C. [Hepatocellular adenoma: update 2020]. Rev Med Suisse. 2020 Sep 2;16(704):1554-9. PubMed PMID: 32880111. Epub 2020/09/04. Adénomes hépatocellulaires : update 2020. fre.
58. Katabathina VS, Menias CO, Shanbhogue AK, Jagirdar J, Paspulati RM, Prasad SR. Genetics and imaging of hepatocellular adenomas: 2011 update. Radiographics. 2011 Oct;31(6):1529–43. 10.1148/rg.316115527
59. Purysko AS, Remer EM, Coppa CP, Obuchowski NA, Schneider E, Veniero JC. Characteristics and distinguishing features of hepatocellular adenoma and focal nodular hyperplasia on gadoxetate disodium-enhanced MRI. AJR Am J Roentgenol. 2012 Jan;198(1):115–23. 10.2214/AJR.11.6836
60. Claudon M, Dietrich CF, Choi BI, Cosgrove DO, Kudo M, Nolsøe CP, et al.; World Federation for Ultrasound in Medicine; European Federation of Societies for Ultrasound. Guidelines and good clinical practice recommendations for Contrast Enhanced Ultrasound (CEUS) in the liver - update 2012: A WFUMB-EFSUMB initiative in cooperation with representatives of AFSUMB, AIUM, ASUM, FLAUS and ICUS. Ultrasound Med Biol. 2013 Feb;39(2):187–210. 10.1016/j.ultrasmedbio.2012.09.002
61. Seitz K, Bernatik T, Strobel D, Blank W, Friedrich-Rust M, Strunk H, et al. Contrast-enhanced ultrasound (CEUS) for the characterization of focal liver lesions in clinical practice (DEGUM Multicenter Trial): CEUS vs. MRI—a prospective comparison in 269 patients. Ultraschall Med. 2010 Oct;31(5):492–9. 10.1055/s-0029-1245591
62. Seitz K, Strobel D, Bernatik T, Blank W, Friedrich-Rust M, Herbay A, et al. Contrast-Enhanced Ultrasound (CEUS) for the characterization of focal liver lesions - prospective comparison in clinical practice: CEUS vs. CT (DEGUM multicenter trial). Parts of this manuscript were presented at the Ultrasound Dreiländertreffen 2008, Davos. Ultraschall Med. 2009 Aug;30(4):383–9. 10.1055/s-0028-1109673
63. Strobel D, Bernatik T, Blank W, Schuler A, Greis C, Dietrich CF, et al. Diagnostic accuracy of CEUS in the differential diagnosis of small (≤ 20 mm) and subcentimetric (≤ 10 mm) focal liver lesions in comparison with histology. Results of the DEGUM multicenter trial. Ultraschall Med. 2011 Dec;32(6):593–7. 10.1055/s-0031-1271114
64. Friedrich-Rust M, Klopffleisch T, Nierhoff J, Herrmann E, Vermehren J, Schneider MD, et al. Contrast-Enhanced Ultrasound for the differentiation of benign and malignant focal liver lesions: a meta-analysis. Liver Int. 2013 May;33(5):739–55. 10.1111/liv.12115
65. Zhang L, Zhang L, Wang H, Chen L, Sui G. Diagnostic performance of contrast-enhanced ultrasound and magnetic resonance imaging for detecting colorectal liver metastases: A systematic review and meta-analysis. Dig Liver Dis. 2019 Sep;51(9):1241–8. 10.1016/j.dld.2019.06.004
66. Sawatzki M, Meyenberger C, Brand S, Semela D. Contrast-enhanced ultrasound (CEUS) has excellent diagnostic accuracy in differentiating focal liver lesions: results from a Swiss tertiary gastroenterological centre. Swiss Med Wkly. 2019 Jun;149:w20087. 10.4414/smw.2019.20087
67. Sawatzki M, Güller U, Güsewell S, Husarik DB, Semela D, Brand S. Contrast-enhanced ultrasound can guide the therapeutic strategy by improving the detection of colorectal liver metastases. J Hepatol. 2021 Feb;74(2):419–27. 10.1016/j.jhep.2020.09.036
68. Haimerl M, Wächtler M, Platzek I, Müller-Wille R, Niessen C, Hoffstetter P, et al. Added value of Gd-EOB-DTPA-enhanced Hepatobiliary phase MR imaging in evaluation of focal solid hepatic lesions. BMC Med Imaging. 2013 Dec;13(1):41. 10.1186/1471-2342-13-41
69. Ko Y, Kim J, Park JK, Kim H, Cho JY, Kang SB, et al. Limited detection of small (≤ 10 mm) colorectal liver metastasis at preoperative CT in patients undergoing liver resection. PLoS One. 2017 Dec;12(12):e0189797. 10.1371/journal.pone.0189797
70. Desai A, Sandhu S, Lai JP, Sandhu DS. Hepatocellular carcinoma in non-cirrhotic liver: A comprehensive review. World J Hepatol. 2019 Jan;11(1):1–18. 10.4254/wjh.v11.i1.1
71. Cho SW, Marsh JW, Steel J, Holloway SE, Heckman JT, Ochoa ER, et al. Surgical management of hepatocellular adenoma: take it or leave it?. Ann Surg Oncol. 2008 Oct;15(10):2795–803. 10.1245/s10434-008-0090-0
72. Neuberger J, Patel J, Caldwell H, Davies S, Hebditch V, Hollywood C, et al. Guidelines on the use of liver biopsy in clinical practice from the British Society of Gastroenterology, the Royal College of Radiologists and the Royal College of Pathology. Gut. 2020 Aug;69(8):1382–403. 10.1136/gutjnl-2020-321299
73. Rockey DC, Caldwell SH, Goodman ZD, Nelson RC, Smith AD; American Association for the Study of Liver Diseases. Liver biopsy. Hepatology. 2009 Mar;49(3):1017–44. 10.1002/hep.22742